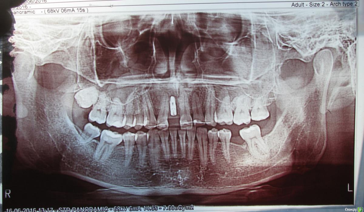
Scander Опубликовано 20 января, 2017 Поделиться Опубликовано 20 января, 2017 Смотрю на снимок и возникает ощущение, что имплант почти касается корня соседнего зуба.Насколько опасно такое близкое соседство? Ссылка на комментарий
колесников Опубликовано 20 января, 2017 Поделиться Опубликовано 20 января, 2017 Здравствуйте! Корни передних зубов обычно имеют наклон в сторону губы,имплант же ставится в нёбном положении. Они не пересекаются и не соприкасаются,это можно увидеть на трёхмерном снимке. ОПТГ снимок плоскостной,на него не стоит ориентироваться. 1 Ссылка на комментарий
4ebstom Опубликовано 21 января, 2017 Поделиться Опубликовано 21 января, 2017 Жалобы есть? 1 1 Ссылка на комментарий
Scander Опубликовано 21 января, 2017 Автор Поделиться Опубликовано 21 января, 2017 Здравствуйте! Корни передних зубов обычно имеют наклон в сторону губы,имплант же ставится в нёбном положении. Они не пересекаются и не соприкасаются,это можно увидеть на трёхмерном снимке. ОПТГ снимок плоскостной,на него не стоит ориентироваться.Спасибо за разъяснение. Ссылка на комментарий
Рекомендуемые сообщения
Для публикации сообщений создайте учётную запись или авторизуйтесь
Вы должны быть пользователем, чтобы оставить комментарий
Создать аккаунт
Зарегистрируйте новый аккаунт в нашем сообществе. Это очень просто!
Регистрация нового пользователяВойти
Уже есть аккаунт? Войти в систему.
Войти