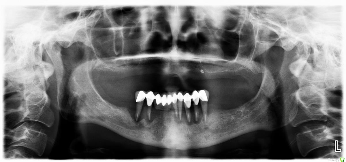
fly_R Опубликовано 15 января, 2017 Поделиться Опубликовано 15 января, 2017 Уважаемые специалисты! почти год изучала сайты по стоматологии, покрывалась мурашками, бросала опять читала и вот теперь понимаю, что ничего не понимаю...нужна помощь!!Схематично: 1. ВЧ- адентия полная - битва проиграна - полностью съемный протез 2. НЧ - подвижность зубов (остатков) нарастает , светит опять съемный протез ?? Мне только 50 будет.ЧТО ДЕЛАТЬ??? Все под снос; 1. Возможна ли имплантация сразу после удаления с немедленной нагрузкой, по типу all 4-6 с балкой ? или на винтики ? а в чем различие ??? обе конструкции очень коротенькие , вынос концов протеза создает плечо . вообщем качельки вырвут импланты на раз-два. больше имплантов -8 ? с костной пластикой, и что на время вростания -опять же съемный протез, как же работать?? можно конечно все крепить на" корегу" это уже мой регулярный завтрак . Да и ещё: я диабетик 1 тип на инсулине, кто же за меня возьмется ?? на стоме это даже озвучивать нельзя !!! шовинизм какой-то, а я ведь даже ребетёнка выносила и родила на инсулине !! Очень хочу услышать совет от "Зеленый"- ого, кажется он один отважился на импланты диабетикам. Как результат, есть ли надежда?? Ссылка на комментарий
Bier Опубликовано 15 января, 2017 Поделиться Опубликовано 15 января, 2017 надежда есть конечно. Надо смотреть КТ, наверху пройдет классическое all-on-four или 2 зигомы + 2 имплантата. Внизу тоже можно что-то придумать. 1 Ссылка на комментарий
fly_R Опубликовано 18 января, 2017 Автор Поделиться Опубликовано 18 января, 2017 мои дорогие ПРОФИ!!!! Выскажитесь, а что по нижней? Т.е челюсти? наверху все ужасно, но привычно, а снизу все качается . просто КАРАУЛ . Можно удалить? И сразу вкрутить импланты? с нагрузкой? Нужна ли костная пластика? Или можно импланты + костный порошок+ антибиотик? И сразу на работу +\- пару дней? Вообще можно ли оформить больничный на время вживления? Ссылка на комментарий
fly_R Опубликовано 18 января, 2017 Автор Поделиться Опубликовано 18 января, 2017 надежда есть конечно. Надо смотреть КТ, наверху пройдет классическое all-on-four или 2 зигомы + 2 имплантата. Внизу тоже можно что-то придумать. КТ ?? верхней или нижней челюсти? Или это делают одновременно ? Сейчас более актуально нижняя , все в раскачку, ( в раскарячку), нужно что-то делать, а что ума не приложу. Базальная имплантация ROOT? перечитала форум-все категорически против, боже , а так завлекательно!! без костной пл, сразу зубы Ссылка на комментарий
fly_R Опубликовано 18 января, 2017 Автор Поделиться Опубликовано 18 января, 2017 надежда есть конечно. Надо смотреть КТ, наверху пройдет классическое all-on-four или 2 зигомы + 2 имплантата. Внизу тоже можно что-то придумать.Если ВЫ в практике, можно ли напроситься к Вам на КТ и консультацию КТ ?? верхней или нижней челюсти? Или это делают одновременно ? Сейчас более актуально нижняя , все в раскачку, ( в раскарячку), нужно что-то делать, а что ума не приложу. Базальная имплантация ROOT? перечитала форум-все категорически против, боже , а так завлекательно!! без костной пл, сразу зубы надежда есть конечно. Надо смотреть КТ, наверху пройдет классическое all-on-four или 2 зигомы + 2 имплантата. Внизу тоже можно что-то придумать.зигота _это в обход пазух?? Думала это система ROOT& на форуме не одобряют? Ссылка на комментарий
red_butler Опубликовано 19 января, 2017 Поделиться Опубликовано 19 января, 2017 мои дорогие ПРОФИ!!!! Выскажитесь, а что по нижней? Т.е челюсти? наверху все ужасно, но привычно, а снизу все качается . просто КАРАУЛ . Можно удалить? И сразу вкрутить импланты? с нагрузкой? Нужна ли костная пластика? Или можно импланты + костный порошок+ антибиотик? И сразу на работу +\- пару дней? Вообще можно ли оформить больничный на время вживления?нужен очный осмотр и анализ Кт Базальная имплантация ROOT? перечитала форум-все категорически против, боже , а так завлекательно!! без костной пл, сразу зубы категорически НЕТ зигота _это в обход пазух?? Думала это система ROOT& на форуме не одобряют? зигома отнюдь не базальные Ссылка на комментарий
red_butler Опубликовано 19 января, 2017 Поделиться Опубликовано 19 января, 2017 Если ВЫ в практике, можно ли напроситься к Вам на КТ и консультацию Постучитесь в личку доктору Ссылка на комментарий
Doc Опубликовано 19 января, 2017 Поделиться Опубликовано 19 января, 2017 Ничего сверхъестественного в Вашем случае нет. Нужно не пытаться изучить стоматологию самой и самой составить себе план протезирования, а сделать КТ и проконсультироваться у нормального врача. 3 Ссылка на комментарий
Большой Зеленый Опубликовано 19 января, 2017 Поделиться Опубликовано 19 января, 2017 Ничего сверхсложного. Все решаемо.Надо КТ. Если за сахаром следить и держать не выше чем 10 ммоль/л то все работает.К гигиене конечно вопрос совсем другой.. Верх все на 4 . Низ я бы сделал в два этапа. Сначала удаление и Нкр ,потом имплантанты. Ссылка на комментарий
fly_R Опубликовано 24 января, 2017 Автор Поделиться Опубликовано 24 января, 2017 Ничего сверхсложного. Все решаемо.Надо КТ. Если за сахаром следить и держать не выше чем 10 ммоль/л то все работает.К гигиене конечно вопрос совсем другой.. Верх все на 4 . Низ я бы сделал в два этапа. Сначала удаление и Нкр ,потом имплантанты.Ничего???? Сверхсложного??? Вся моя жизнь опровержение данного постулата )))) Сахар 10 , на время операции?? (удаление + Нкр), вполне возможно на начало действа, увы , затем организм чудачит : может выдать 20 на стресс, а может гипана-нуть на 1.5-2.0 ммоль,,, Со всеми вытекающими,, Наш организм по-ходу создавал продвинутый IT-ишник , здоровое туловище это все рассчитывает за секунды и нивелирует.... Ссылка на комментарий
fly_R Опубликовано 24 января, 2017 Автор Поделиться Опубликовано 24 января, 2017 Ничего сверхъестественного в Вашем случае нет. Нужно не пытаться изучить стоматологию самой и самой составить себе план протезирования, а сделать КТ и проконсультироваться у нормального врача.ДОК!! Что бы говорить с Вами на общем языке + экономии Вашего времени на консультацию, приходиться изучать КАК minимум термины стоматологов и Ваши вступительные статьи в "форум" ( спасибо очень познавательно), НО!! как Выяснилось перепроверять нужно многое и даже имя "добрый стоматолог" ( а я ведь уже записывалась к "добрый-ому"). Вот как мне определить где ВЫ ,а где эрзац ?? Простите великодушно , мое желание найти хорошего врача Как найти мне списки ваших клиник ?? Вообще существует ли список (лицензируемых и\или подтверждаемых сертифицируемых государством или обществом стоматологов) из чего бы можно было выбрать врача, для себя и семьи ?? Ссылка на комментарий
fly_R Опубликовано 24 января, 2017 Автор Поделиться Опубликовано 24 января, 2017 (изменено) Ничего???? Сверхсложного??? Вся моя жизнь опровержение данного постулата )))) Сахар 10 , на время операции?? (удаление + Нкр), вполне возможно на начало действа, увы , затем организм чудачит : может выдать 20 на стресс, а может гипана-нуть на 1.5-2.0 ммоль,,, Со всеми вытекающими,, Наш организм по-ходу создавал продвинутый IT-ишник , здоровое туловище это все рассчитывает за секунды и нивелирует.... Ничего сверхсложного. Все решаемо.Надо КТ. Если за сахаром следить и держать не выше чем 10 ммоль/л то все работает.К гигиене конечно вопрос совсем другой.. Верх все на 4 . Низ я бы сделал в два этапа. Сначала удаление и Нкр ,потом имплантанты.По гигиене плиз ...Расшифруйте пожалуйста ,что Вы имеете в виду? каке-то нюансы в практике? Изменено 24 января, 2017 пользователем fly_R Ссылка на комментарий
fly_R Опубликовано 24 января, 2017 Автор Поделиться Опубликовано 24 января, 2017 Постучитесь в личку доктору Постучитесь в личку доктору Errare humanum еst .Чего опасаться ??? Я и так в панике !! Конкретизируйте пж-таПостучитесь в личку доктору Ссылка на комментарий
Doc Опубликовано 24 января, 2017 Поделиться Опубликовано 24 января, 2017 ДОК!! Что бы говорить с Вами на общем языке + экономии Вашего времени на консультацию, приходиться изучать КАК minимум термины стоматологов и Ваши вступительные статьи в "форум" ( спасибо очень познавательно), НО!! как Выяснилось перепроверять нужно многое и даже имя "добрый стоматолог" ( а я ведь уже записывалась к "добрый-ому"). Вот как мне определить где ВЫ ,а где эрзац ?? Простите великодушно , мое желание найти хорошего врача Как найти мне списки ваших клиник ?? Вообще существует ли список (лицензируемых и\или подтверждаемых сертифицируемых государством или обществом стоматологов) из чего бы можно было выбрать врача, для себя и семьи ??Любые списки составляются людьми, а значит всегда будут подвержены тем или иным перекосам. Все равно Вы никогда не выучите стоматологию на уровне даже самого посредственного врача, а оценить качество работы любого врача может только врач, уровень работы которого ВЫШЕ уровня этого врача. Так что самообразование вещь хорошая, но ни от чего не гарантирует. И вообще ничто ни от чего не гарантирует, тем более в нашей стране, где врачи давно не лечат, а, согласно законодательству, продают услуги. Ни одного алгоритма поиска хорошего врача не существует. Все на Ваш страх и риск и у Вас не более 32 попыток. Грустно, но правда. Ссылка на комментарий
fly_R Опубликовано 25 января, 2017 Автор Поделиться Опубликовано 25 января, 2017 32 попытки !!! это Вы поглумились?? сильно_ учитываю мою полную адентию. Это не попытка выучить стоматологию, это попытка достойно общаться с окружающими и поесть шашлычок с красным виноом и... вообщем много еще всего .. По поводу риска, гарантий и продажи услуг согласна на все 100%! Я Вас умоляю... я пережила 90 годы, лечилась в новоиспеченых "супер"клиниках (8 кресел в одном зале- звуки бор машин чудесно реззонировали под потолком, от одного вопля подскакивали все на соседних креслах) поточная продажа услуг без гарантий. И кто сейчас поверит , что у меня во рту похоронена машинка класса ""люкс" ??? По поводу Алгоритма поиска врачей- так вот же он-ВАШ ФОРУМ!! Есть вопросы и есть ответы. И не лишайте меня оптимизма , лучше дайте список докторов в Питере! Шучу, шучу . сама поюзаю Ссылка на комментарий
Большой Зеленый Опубликовано 25 января, 2017 Поделиться Опубликовано 25 января, 2017 По гигиене плиз ...Расшифруйте пожалуйста ,что Вы имеете в виду? каке-то нюансы в практике? Гораздо лучше надо будет чистить зубы. Ссылка на комментарий
Doc Опубликовано 25 января, 2017 Поделиться Опубликовано 25 января, 2017 32 попытки !!! это Вы поглумились?? сильно_ учитываю мою полную адентию. Это не попытка выучить стоматологию, это попытка достойно общаться с окружающими и поесть шашлычок с красным виноом и... вообщем много еще всего .. По поводу риска, гарантий и продажи услуг согласна на все 100%! Я Вас умоляю... я пережила 90 годы, лечилась в новоиспеченых "супер"клиниках (8 кресел в одном зале- звуки бор машин чудесно реззонировали под потолком, от одного вопля подскакивали все на соседних креслах) поточная продажа услуг без гарантий. И кто сейчас поверит , что у меня во рту похоронена машинка класса ""люкс" ??? По поводу Алгоритма поиска врачей- так вот же он-ВАШ ФОРУМ!! Есть вопросы и есть ответы. И не лишайте меня оптимизма , лучше дайте список докторов в Питере! Шучу, шучу . сама поюзаюЯ не глумлюсь, это старая грустная шутка. Форум поначалу и задумывался для того. На заре развития форума мы тут коллективным разумом пытались разработать алгоритм поиска хорошего врача. Не помню сколько десятков страниц было исписано врачами с разных городов, стран и континентов, но алгоритм так и не был найден. Найдете - шепните. Обещаю большую скидку на лечение в порыве благодарности. )) Ссылка на комментарий
Рекомендуемые сообщения
Для публикации сообщений создайте учётную запись или авторизуйтесь
Вы должны быть пользователем, чтобы оставить комментарий
Создать аккаунт
Зарегистрируйте новый аккаунт в нашем сообществе. Это очень просто!
Регистрация нового пользователяВойти
Уже есть аккаунт? Войти в систему.
Войти