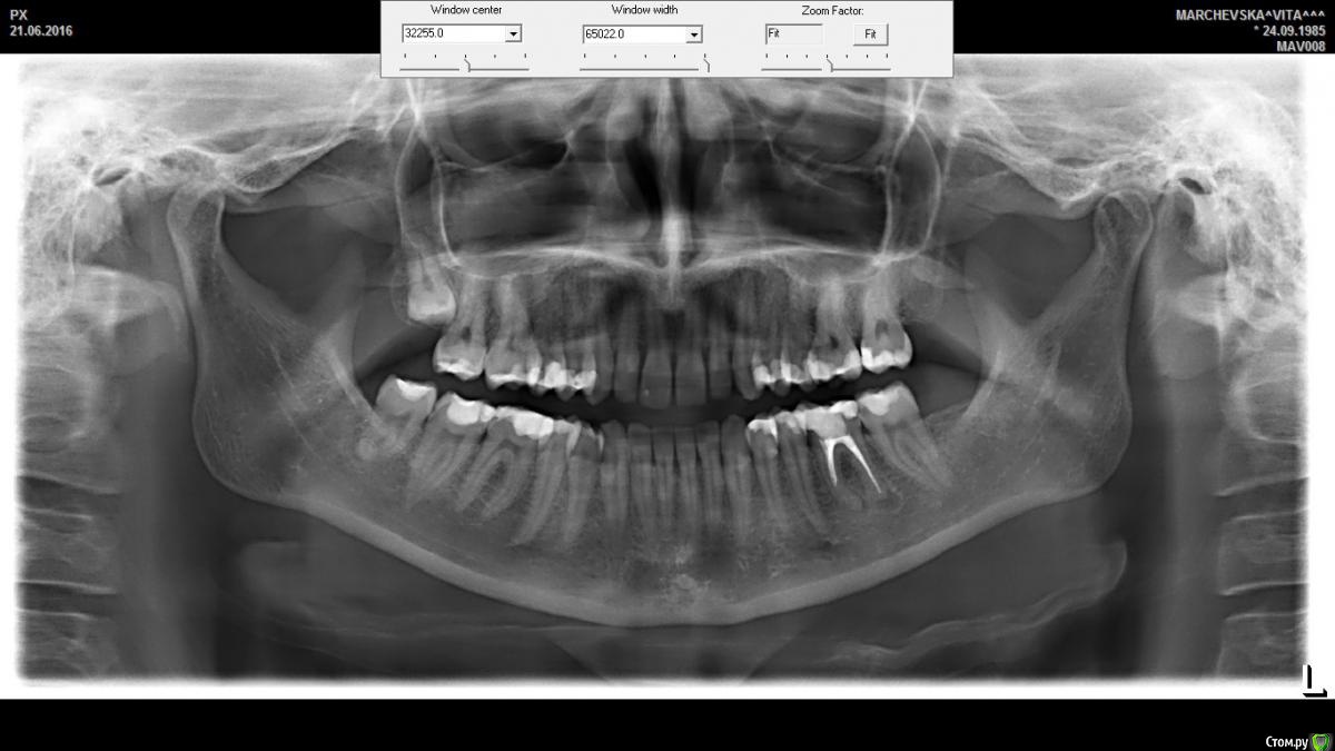
Vita85 Опубликовано 12 января, 2017 Поделиться Опубликовано 12 января, 2017 Добрый день, уважаемые! Помогите разобраться, так как окончательно утратила веру в лечащего врача. Ситуация такова. На консультации был обнаружен хронический периодонтит с образованием гранулемы на корне зуба.Врач объяснил, что необходимо перепломбировать каналы. 1 визит: вскрыли один из каналов, 2-ой врач не смог открыть. Отправил домой. Сказал в случае возникновения сильных болей пить антибиотик и обезбаливающие. Началось сильное воспаление. На 3-й день от боли уже стреляло в висках. Поехала в клинику. 2 визит: вскрыли временную пломбу, промыли каналы; было острое воспаление и много крови. Оставили открытым зуб. сказал, приходить через 4 дня. В этот же период мне становилось плохо от антибиотика. Поменяли на аугментин. 3 визит: снова промыли канал, второй канал так и не открыли. Сказали, что возможно каналы соединяются между собой и по-этому достаточно пролечить один. Назначили визит через неделю. 4 визит: запломбировали канал+ временная пломба.Врач сказал, что в случае болей опять пить антибиотик, а также сказал, что если через 3 месяца гранулема будет уменьшаться, то будем думать о коронке, а если нет - то, скорее всего, удаление. После пломбирования канала 3 дня не могла жевать, потом постепенно боль уходила. По-этому, через неделю я обратилась к другому врачу для консультации. Врач сказал, что нужно проверить через месяц и если не будет улучшений, то нужно пытаться вскрыть другой канал. Если не получится его вскрыть, то тогда уже думать: что делать дальше. А если будут улучшения, то нужно немедленно поставить постоянную пломбу. Вот я и запуталась... Подскажите, пожалуйста, как правильно поступить в данной ситуации?! Достаточно ли пролечить один канал, чтобы вылечить зуб? Что делать, если врач не может распломбировать канал? P.S второе фото спустя 3 дня после пломбирования канал ( извините за качество) Огромное спасибо все, кто откликнется!!! Ссылка на комментарий
St. Опубликовано 12 января, 2017 Поделиться Опубликовано 12 января, 2017 Достаточно ли пролечить один канал, чтобы вылечить зуб? Нет, воспаление есть на обоих корнях, и там где не дошли до конца канала микробы осталось, соответственно воспаление там будет продолжаться.Ситуация осложняется тем, что корень этот достаточно изогнутый, и доктор в поисках канала создал прямолинейную дорожку, не найдя канал.Опять же, оставление зубов открытыми по современным взглядам не есть хорошо.. Вариантов у Вас несколько:1. Ничего не делать пока не болит, поставить условно постоянную пломбу.Из + сейчас ничего не надо решать, финансовых вложений минимумИз - зуб все равно со временем начнет беспокоить, и условия имплантации могут быть хуже2. Пробовать перелечить непройденный каналИз+ пытаться сохранить зуб максимально надолгоИз - негарантированно и непрогнозируемо, возможно что после перелечивания зуб все равно пойдет на удаление.3. Удалить и мостИз - удаление зуба, страдают соседние живые зубы4. Удалить и имплант.Из + максимально прогнозируемоИз - удаление зуба, определенные финансовые вложение. 2 Ссылка на комментарий
Доктор Добрых Дел Опубликовано 12 января, 2017 Поделиться Опубликовано 12 января, 2017 Крови было много потому, что сделана перфорация корня во время распломбировки. Вкладывать деньги в этот зуб считаю не разумным. Я бы предложил удаление и имплантацию. Но если совсем не беспокоит плнаблюдайте пол годика, может и постоит ещё 1 Ссылка на комментарий
inSight Опубликовано 12 января, 2017 Поделиться Опубликовано 12 января, 2017 Сохранить , 3 месяца наблюдать и контроль снимок, в случаи обострения удалить. Если лечили в том же месяце 21.06.16 снимки свежие в студию. 1 Ссылка на комментарий
Vita85 Опубликовано 13 января, 2017 Автор Поделиться Опубликовано 13 января, 2017 Сохранить , 3 месяца наблюдать и контроль снимок, в случаи обострения удалить. Если лечили в том же месяце 21.06.16 снимки свежие в студию.. Спасибо за ответ! Зуб начали лечить в конце ноября, пломбирование канала - 20 декабря. На следующей неделе (получается спустя месяц после плом канала) должна сделать снимок и дальше принять решение. Подскажите,пожалуйста, в данной ситуации возможен положительный исход и спасение зуба?! Хоть я и не врач, но вижу на снимке, что канал не запломбирован до конца... Можно ли оставлять все в таком состоянии? Мне врач говорит, что, возможно, каналы соеденены, хоть этого и не видно на снимке. И , если пролечен один канал, то второй может излечится благодаря моему организму (иммунитету). Это реально? Ссылка на комментарий
Vita85 Опубликовано 13 января, 2017 Автор Поделиться Опубликовано 13 января, 2017 Крови было много потому, что сделана перфорация корня во время распломбировки. Вкладывать деньги в этот зуб считаю не разумным. Я бы предложил удаление и имплантацию. Но если совсем не беспокоит плнаблюдайте пол годика, может и постоит ещё Спасибо за ответ! У меня тоже было подозрение на перфорацию, по-этому и усомнилась в компетенции врач... но врач " бил себя в грудь", что это воспаление и кровь- особенность организма и положительный сигнал, что таким образом организм выбросил что-то там (не помню термин!). Подскажите, пожалуйста, сколько примерно можно протянуть до удаления? Пока не начнёт беспокоить? И касательно импланта... Сколько времени (визитов) необходимо, чтобы установить имплант? Интересует максимально быстрое установление и хорошее качество. Заранее спасибо за консультацию! Ссылка на комментарий
Vita85 Опубликовано 13 января, 2017 Автор Поделиться Опубликовано 13 января, 2017 Спасибо за такой развёрнутый ответ! Нет, воспаление есть на обоих корнях, и там где не дошли до конца канала микробы осталось, соответственно воспаление там будет продолжаться.[/[quote name="St." post="572947" timestamp="1484242014Как я понимаю, если не прочистить второй канал, то исход лечения - однозначно уделение, только отстроченное по времени? Как мне объяснил врач, что, возможно, каналы соединяются, хотя этого и не видно на снимке. И достаточно пролечить один, а дальше все зависит от того, как организм ( иммунитет) справиться с воспалением! Это реально? И, что касается импланта, скажите сколько времени необходимо для установки импланта ( минимально короткий срок)? Спасибо. Ссылка на комментарий
Доктор Добрых Дел Опубликовано 13 января, 2017 Поделиться Опубликовано 13 января, 2017 Сколько протянет неизвестно. Учитывая форму корня удаление может оказаться не самым простым, поэтому я бы скорее всего рекомендовал отсроченную имплантацию. Т.е. удаление, через 2-3мес. имплантация, ещё через 2 мес. протезирование. Теоретически можно имплантировать одновременно с удалением, экономите пару месяцев, но рисков больше. 1 Ссылка на комментарий
St. Опубликовано 13 января, 2017 Поделиться Опубликовано 13 января, 2017 Как я понимаю, если не прочистить второй канал, то исход лечения - однозначно уделение, только отстроченное по времени? Да, правильно. Как мне объяснил врач, что, возможно, каналы соединяются, хотя этого и не видно на снимке. И достаточно пролечить один, а дальше все зависит от того, как организм ( иммунитет) справиться с воспалением! Это реально? В теории словами описано все правильно, но это не про Ваш случай, увы.. У Вас в ближнем корне канал до верхушки не пролечен, поэтому о выздоровлении говорить нельзя. Максимум - может на какое-то время не беспокоить. И, что касается импланта, скажите сколько времени необходимо для установки импланта ( минимально короткий срок)? В зависимость от сложности удаления - или сразу или через 2-3 месяца.Если есть вопросы по имплантации - лучше спросите в хирургическом разделе, так будет максимально приближено к правде. Ссылка на комментарий
Vita85 Опубликовано 13 января, 2017 Автор Поделиться Опубликовано 13 января, 2017 Да, правильно. В теории словами описано все правильно, но это не про Ваш случай, увы.. У Вас в ближнем корне канал до верхушки не пролечен, поэтому о выздоровлении говорить нельзя. Максимум - может на какое-то время не беспокоить. В зависимость от сложности удаления - или сразу или через 2-3 месяца.Если есть вопросы по имплантации - лучше спросите в хирургическом разделе, так будет максимально приближено к правде. Спасибо огромное за консультацию! Теперь мне все предельно ясно. 1 Ссылка на комментарий
St. Опубликовано 14 января, 2017 Поделиться Опубликовано 14 января, 2017 Еще один момент, если пока удаление не будете рассматривать то рентген имеет смысл делать не раньше чем через 3 мес. Ссылка на комментарий
Рекомендуемые сообщения
Для публикации сообщений создайте учётную запись или авторизуйтесь
Вы должны быть пользователем, чтобы оставить комментарий
Создать аккаунт
Зарегистрируйте новый аккаунт в нашем сообществе. Это очень просто!
Регистрация нового пользователяВойти
Уже есть аккаунт? Войти в систему.
Войти