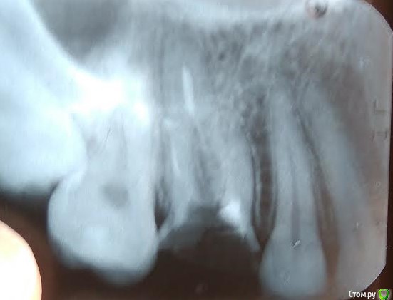
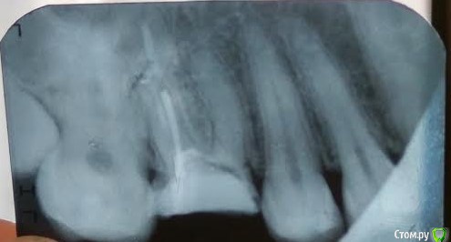
AlenaBeg Опубликовано 12 января, 2017 Поделиться Опубликовано 12 января, 2017 Добрый день.Во время беременности перелечивала зуб верхнюю 6ку (вроде 26 по номеру), коронковая часть была значительно разрушена (не было большей половины одной стенки), врач поставил в канал штифт и нарастил коронковую часть зуба. Снимки после лечения не делали по понятной причине. Через 5 лет часть маленькая часть пломбы откололась, я пошла ставить коронку на зуб к другому врачу (первый врач, у которого был удачно пролечен не один зуб переехал). Врач сказал, что каналы запломбированы не до конца, вскрыл зуб, перепломбировал 2 канала, отметил, что третий канал непроходим и нужно проводить депофорез. Во время чистки каналов сильно кровило, врач сказал, что немного травмировал десну. Предстояло 3 процедуры депофореза с интервалом в 2 недели между ними. После первой процедуры было чувство распирания в зубе и периодическая боль в течение пары дней. После второй распирание и боль усилились, длились около недели. К третей процедуре боли не было, но было болезненно прикасаться к зубу со стороны щеки, ближе к соседнему зубу (5). Было ощущение, что маленький кусочек зуба будто шатается. Очень испугалась, решив, что сломался корень зуба. Рассказав это лечащему врачу, он отправил меня на снимок, сказал, что действительно скололась небольшая часть зуба и перед постановкой вкладки и коронки мне ее просто уберут, с корнем все в порядке. С третьей пломбой я ходила около 4х недель, т.к. врач был на больничном. После снятия временной пломбы оказалось, что сильно воспалена десна, врач сказал, что это реакция на длительное хождение со временной пломбой, и все заживет в течение полу года. В этот же день я была направленна в ортопедическое отделение. Врач, взглянув на снимок, сказала, что зуб под удаление, почему не сказала, только что как минимум есть непроходимый канал. Удивлению не было предела. После разговора с лечащим врачом и заведующей терапевтического отделения меня перенаправили к другому ортопеду. Пришлось снова ходить с временной пломбой дней пять. Вот тут началась ужастная боль со всей стороны наружней стенки зуба (со стороны щеки), невозможно было ничем прикоснуться к ней, сразу появлялась резкая боль, напоминающая боль при гематоме. На приеме ортопеда (по плану была установка вкладки) я обо всем оповестила врача. Он снял пломбу, но болевые ощущения при касании этой стенки зуба были очень сильны. Врач сказал, что от временной пломбы произошло расширение зуба, и нужно немного дать отдохнуть зубу. Врач спилил коронковую часть зуба, поставил фотопломбу и назначил прием через 10 дней. Над самим зубом рядом с соседним (5) нависала ярко красная десна, которая болела, если ее заденешь (посмотреть это мне удалось при помощи стоматологического зеркала). Зуб со стороны щеки также болел, если постучать по нему. Боль странная, сразу проходит, если зуб не трогать, но при постукивании будто чувствуются шевеления зуба. К дате приема я заболела, прием пришлось перенести. Десна, нависающая над зубом, перестала болеть, стала не такой красно, но не исчезла. При постукивании осталась чувствительность в маленьком кусочку зуба рядом с 5кой, не такая ярко выраженная, как раньше. Пока дождусь приема лечащего врача, с ума сойду. Не покидают меня мысли, что с зубом что-то не так.Вопросы:1. Есть снимки зуба до, во время и после лечения. На последних мне мерещится трещина в корне, где был проведен депофорез. Очень прошу посмотреть. Возможно, нет смысла пытаться ставить вкладку и коронку.2. Как десна (или это даже не десна) оказалась на коронковой части зуба? Куда она денется потом? Спасибо! По поводу снимков. Я уже поняла, что фотографировала неправильно. Проблемный зуб с левой стороны. Но так как первых двух снимков (до лечения и перед депофорезом) на руках нет, потерялись у врача, хорошо, что успела сделать фотографии, последние 2 сфотографировала также. Они есть у меня. Ссылка на комментарий
red_butler Опубликовано 12 января, 2017 Поделиться Опубликовано 12 января, 2017 требуется очный осмотр Ссылка на комментарий
AlenaBeg Опубликовано 12 января, 2017 Автор Поделиться Опубликовано 12 января, 2017 На прием ко врачу обязательно пойду после полного выздоровления. А по снимкам совсем ничего не видно? На последнем на корне, где непроходимый канал, как будто трещина. Ссылка на комментарий
red_butler Опубликовано 12 января, 2017 Поделиться Опубликовано 12 января, 2017 А по снимкам совсем ничего не видно? по снимкам зуб требует повторного лечения корневых каналов, депофорез таковым не является. Но главное это объем сохраненных твердых тканей, если его недостаточно, или есть трещина то зуб удалять Ссылка на комментарий
AlenaBeg Опубликовано 12 января, 2017 Автор Поделиться Опубликовано 12 января, 2017 Спасибо за ответ Ссылка на комментарий
IvanK Опубликовано 13 января, 2017 Поделиться Опубликовано 13 января, 2017 согласен, нужен очный осмотр, чем дольше ждете, тем больше шансов на удаление.. Ссылка на комментарий
Рекомендуемые сообщения
Для публикации сообщений создайте учётную запись или авторизуйтесь
Вы должны быть пользователем, чтобы оставить комментарий
Создать аккаунт
Зарегистрируйте новый аккаунт в нашем сообществе. Это очень просто!
Регистрация нового пользователяВойти
Уже есть аккаунт? Войти в систему.
Войти