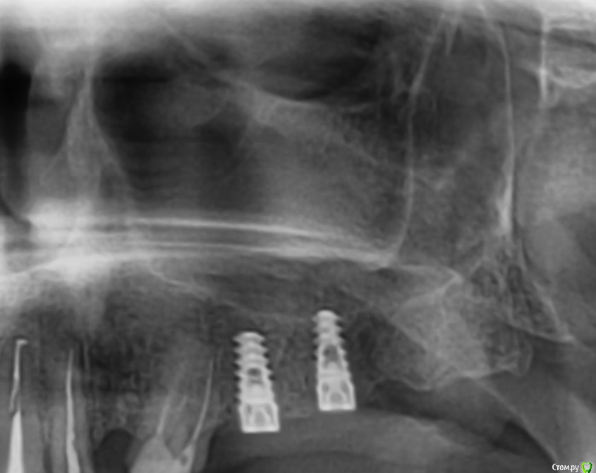
ileanacosanzeana Опубликовано 12 января, 2017 Поделиться Опубликовано 12 января, 2017 Перфорация Гайморовой Пазухи? Ссылка на комментарий
dok1 Опубликовано 12 января, 2017 Поделиться Опубликовано 12 января, 2017 Если речь про имплант, то ничего. Это не проблема. 2 Ссылка на комментарий
kamranchick Опубликовано 12 января, 2017 Поделиться Опубликовано 12 января, 2017 Перфорация Гайморовой Пазухи?даже может ее и нет тут, не волнуйтесь. Ссылка на комментарий
ileanacosanzeana Опубликовано 12 января, 2017 Автор Поделиться Опубликовано 12 января, 2017 cпасибо большое! зубы удалили 4 года назад,потом беременность кормление. Синус лифтинг врач не делал, волнуюсь! Ссылка на комментарий
Bier Опубликовано 15 января, 2017 Поделиться Опубликовано 15 января, 2017 там нет перфорации, над имплантатом видна кость. Т.е. врач прямо кончиком имплантата поднял дно пазухи. Все хорошо у вас. Ссылка на комментарий
Рекомендуемые сообщения
Для публикации сообщений создайте учётную запись или авторизуйтесь
Вы должны быть пользователем, чтобы оставить комментарий
Создать аккаунт
Зарегистрируйте новый аккаунт в нашем сообществе. Это очень просто!
Регистрация нового пользователяВойти
Уже есть аккаунт? Войти в систему.
Войти