rex11 Опубликовано 11 января, 2017 Поделиться Опубликовано 11 января, 2017 Здравствуйте, уважаемые врачи.Скажите, пожалуйста, что вы видите на этом срезе КТ?На мой взгляд, здесь в зубе 2\7 средний кариес, а в зубе 3\7 маленький кариес под пломбой. Права ли я и насколько срочное лечение требуется в этих случаях? Заранее больое спасибо! Ссылка на комментарий
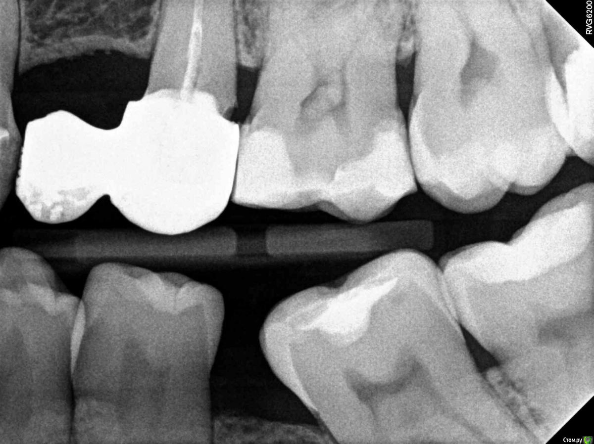
anvladd Опубликовано 11 января, 2017 Поделиться Опубликовано 11 января, 2017 2.5,2.6 кариес. 2.7 ?медиально. 3.7 возможно под пломбой Ссылка на комментарий
rex11 Опубликовано 12 января, 2017 Автор Поделиться Опубликовано 12 января, 2017 2.5,2.6 кариес.2.7 ?медиально.3.7 возможно под пломбой Спасибо за ответ.25 - под коронкой?26 - где именно? 27 - медиально - что именно обозначает это слово в данном случае? средний кариес? посередине зуба? Ссылка на комментарий
IvanK Опубликовано 12 января, 2017 Поделиться Опубликовано 12 января, 2017 По Вашим срезам кт понять что-то сложно.. Я бы советовал диагностику оставить Врачу) Ссылка на комментарий
red_butler Опубликовано 12 января, 2017 Поделиться Опубликовано 12 января, 2017 Спасибо за ответ.25 - под коронкой?26 - где именно? 27 - медиально - что именно обозначает это слово в данном случае? средний кариес? посередине зуба?Вы себя сами лечить собираетесь? Ссылка на комментарий
IvanK Опубликовано 12 января, 2017 Поделиться Опубликовано 12 января, 2017 Вы себя сами лечить собираетесь?есть же видео с самостоятельным удалением зубов..) 1 Ссылка на комментарий
rex11 Опубликовано 12 января, 2017 Автор Поделиться Опубликовано 12 января, 2017 По Вашим срезам кт понять что-то сложно.. Я бы советовал диагностику оставить Врачу) А рентгентовский снимок для Вас также неинформативен? Ссылка на комментарий
rex11 Опубликовано 12 января, 2017 Автор Поделиться Опубликовано 12 января, 2017 Вы себя сами лечить собираетесь? Вы удивитесь, насколько интересные здесь дантисты. КТ они толком не понимают, на свищи не обращают внимания. Поэтому да, приходится по форумам узнавать хоть какую-то информацию о состоянии своих зубов и уже с этими знаниями идти к врачам. Смешно, конечно... Ссылка на комментарий
St. Опубликовано 12 января, 2017 Поделиться Опубликовано 12 января, 2017 Зачем идти к доктору, которому Вы не доверяете? Если КТ они толком не понимают, на свищи не обращают внимания. Ищите хорошего доктора, возможно по рекомендациям или здесь на форуме. 1 Ссылка на комментарий
anvladd Опубликовано 12 января, 2017 Поделиться Опубликовано 12 января, 2017 25 под коронкой на задней поверхности26 на передней поверхности под пломбой рядом с 2527 медиально тоесть передн п-овть,средн кариес,но по снимку не всегда понятно нужно зондировать 1 Ссылка на комментарий
rex11 Опубликовано 13 января, 2017 Автор Поделиться Опубликовано 13 января, 2017 25 под коронкой на задней поверхности26 на передней поверхности под пломбой рядом с 2527 медиально тоесть передн п-овть,средн кариес,но по снимку не всегда понятно нужно зондировать Спасибо огромное! Ссылка на комментарий
rex11 Опубликовано 13 января, 2017 Автор Поделиться Опубликовано 13 января, 2017 Зачем идти к доктору, которому Вы не доверяете? Если Ищите хорошего доктора, возможно по рекомендациям или здесь на форуме.Я этим занимаюсь всю свою сознательную жизнь. К сожалению, еще ни одного не встретила, чтобы во всем устраивал. Иногда уже благодарен за то, что доктор мог испортить зуб, но не стал этого делать. Кстати, передний зуб 21ый мне испортил доктор, которого мне горячо рекомендовали и который до этого отлично отремонтировал мой нижний зуб мудрости. Никто ни от чего не застрахован, но соломки подстелить никогда не помешает, поэтому я здесь и хочу знать о состоянии своих зубов до похода к доктору. Спасибо за Ваши ответы. Ссылка на комментарий
rex11 Опубликовано 13 января, 2017 Автор Поделиться Опубликовано 13 января, 2017 Всем большое спасибо за помощь! Очень благодарна!Тему можно закрыть. 1 Ссылка на комментарий
Рекомендуемые сообщения