Перейти к содержанию
Стоматология для всех

Лечение парадонтита, зуб с форфенаном


71_alexey

Рекомендуемые сообщения

Добрый день, уважаемые врачи!

Прошу подсказать мне насчет пульпита и парадонтита.

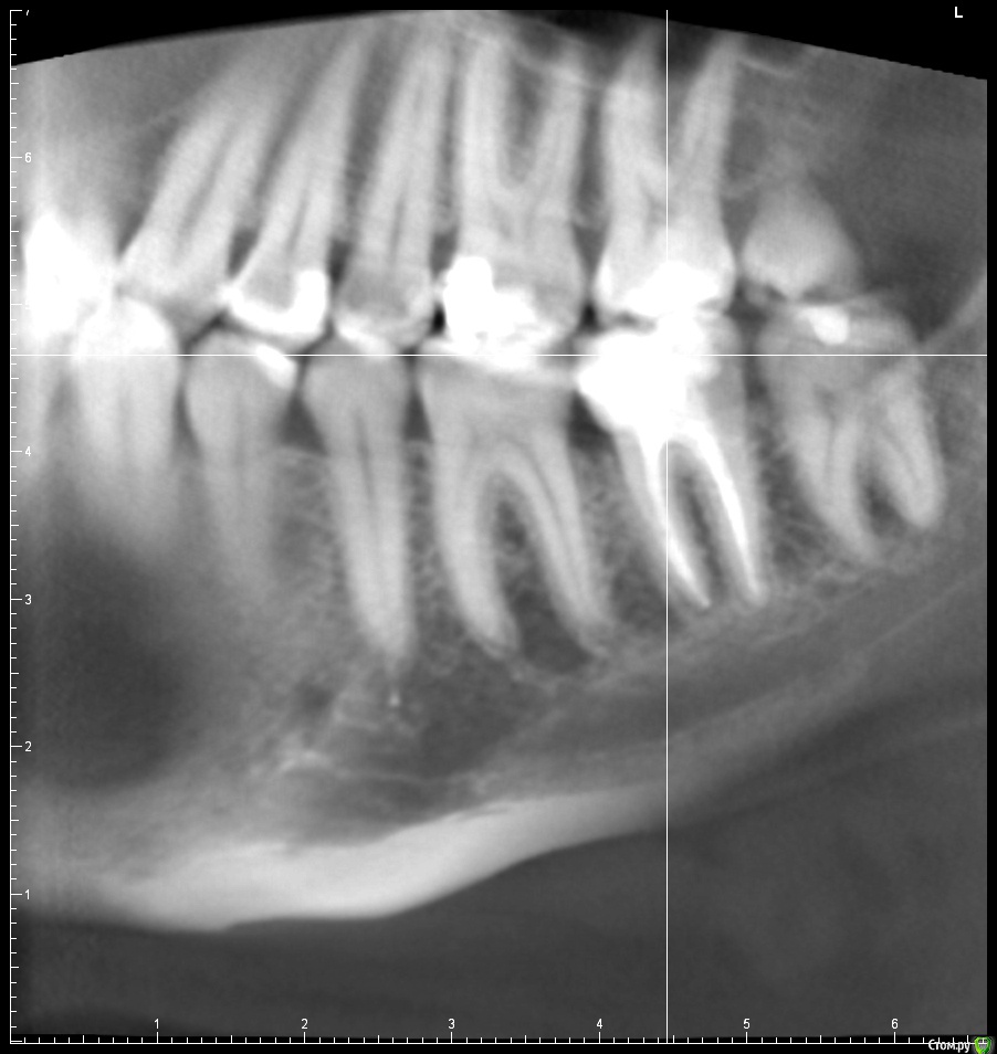
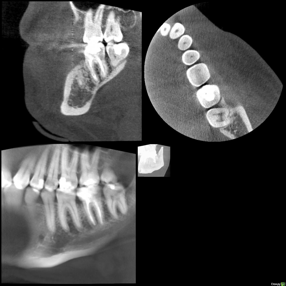
В августе прошлого года у меня начал сильно болеть десны и зуб на фоне обострения поллиноза. Врач обнаружил пульпит в болевшем зубе и еще несколько очагов кариеса по КТ. Очаги кариеса были запломбированы, в пульпитом 37 зубе было проведено депульпирование и пломбировка каналов. При пломбировке каналов врач что-то прижигал нагретой палочкой, раньше я думал, что при пломбировке использовалась гуттаперча. После лечения ощущались боли при надкусывании в 36 зубе несколько недель, на которые я не обращал внимания.

Через месяц после лечения стали беспокоить неприятные выделения из промежутка между 37 и 36 зубом. Врач сказал, что это парадонтит и он был еще до начала лечения. Провели аппаратную чистку зубов, я начал пользоваться ежедневно зубной нитью и промывать карман между зубами. Выделения с неприятным запахом прекратились и более не появлялись.

Периодически стал замечать боль во время еды в районе 36-37 зуба. Она исчезала после промывания кармана. Несколько дней назад начались сильные самопроизвольные ночные боли с реакцией на горячее и облегчением после холодного, дождался, когда заработает клиника и пришел ко врачу. Он определил пульпит в 36 зубе, сейчас стоит временная пломба.

Подскажите пожалуйста:

  1. В чеке от августа на лечение прочитал, что каналы в 37 зубе запломбированы форфенаном. По форуму я понял, что это очень плохой материал. В прайсе клиники так же есть пломбирование латеральной и вертикальной конденсацией, что из них лучше выбрать для 36 зуба?
  2. Как лучше лечить парадонтит – открытый кюретаж, коагуляция десны, лоскутная операция? Либо есть еще какие-то методы?
  3. Что ждать от запломбированного 37 зуба (воспаление, кисты ...), к чему готовится и на что обращать внимание?
  4. Учитывая, что форфенан выделяет канцерогены, стоит ли удалить 37 зуб для предотвращения рака?

Лечусь в коммерческой клинике, она считается лучшей в городе.

Прикладываю срезы с КТ от начала января 2017, скан распечатки прицельного снимка 36 37 зуба от ноября 2016.

 

post-50273-0-38495200-1483984805_thumb.jpgpost-50273-0-92306500-1483986430_thumb.jpg

post-50273-0-37932200-1483984808_thumb.jpg

post-50273-0-94841500-1483984816_thumb.jpg

Ссылка на комментарий

Каналы в 37 оставьте в покое. Проблема с карманом скорее всего из-за обширной пломбы. Качественное протезирование этого зуба создаст более комфортные условия для десны. 

  • Поддерживаю 2
Ссылка на комментарий

 

Учитывая, что форфенан выделяет канцерогены, стоит ли удалить 37 зуб для предотвращения рака?

 

Я не сторонник форфенана,но думаю,что его  канцерогенное действие явно преувеличено.

  • Поддерживаю 2
Ссылка на комментарий

Каналы в 37 оставьте в покое. Проблема с карманом скорее всего из-за обширной пломбы. Качественное протезирование этого зуба создаст более комфортные условия для десны. 

Спасибо большое за ответ! Забыл сказать, в 37 еще и штифт стекловолоконный стоит. Надо было при его лечении насчет коронки задуматься. Пока думаю его как есть оставить...

 

 

Я не сторонник форфенана,но думаю,что его  канцерогенное действие явно преувеличено.

Спасибо! 36-й запломбировали уже латеральной конденсацией.

Ссылка на комментарий

Для публикации сообщений создайте учётную запись или авторизуйтесь

Вы должны быть пользователем, чтобы оставить комментарий

Создать аккаунт

Зарегистрируйте новый аккаунт в нашем сообществе. Это очень просто!

Регистрация нового пользователя

Войти

Уже есть аккаунт? Войти в систему.

Войти
×
×
  • Создать...
Вверх