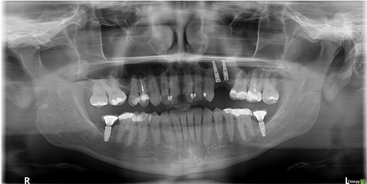
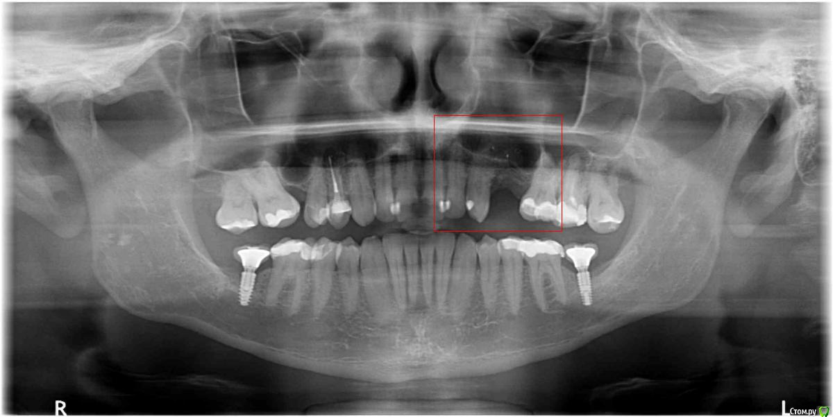
tonkin Опубликовано 9 января, 2017 Поделиться Опубликовано 9 января, 2017 Помогите определиться с числом имплантов. Отсутствуют 2 верхних зуба (в красном квадрате на пано). Расстояние между корнями ~ 16.5 мм. Вопрос следующий, какой вариант лучше (оба после планируемого синус лифтинга): 1) поставить 1 толстый имплант по центру с двойной коронкой, чтобы изобразить 2 зуба под улыбку. Тут смущает то, что в прошлом году уже такой вариант делали. Имплант расшатался за 3 месяца, и выпал (снимок импланта был сделан за 2 месяца до паноромного, где импланта уже нет). Вероятно, что имплант был коротковат для такой нагрузки (да и кости мало), и если сделать лучше, то будет держать двойную коронку нормально. 2) второй вариант - 2 тонких импланта с индивидуальными коронками, но места маловато (4 мм + 3 мм + 4 мм + 3 мм + 4 мм = 18 мм < 16.5 ). То есть все очень впритык. Смущает значительная добавочная стоимость, но с другой стороны, шатающегося импланта как в первом случае уж очень хочеться избежать. Мнения? И если стоимость - не вопрос, то будут ли 2 импланта лучше 1-го ? Дополнительный вопрос - как выглядят 2 нижних импланта на предмет качеста кости. Имплантам - 13 месяцев, коронкам - 7. Эти вроде пока держатся (тфу-тфу). Заранее благодарю за консультацию! Ссылка на комментарий
Jurai Опубликовано 9 января, 2017 Поделиться Опубликовано 9 января, 2017 Если стоимость не вопрос - лучше будет пройти ортодонтическое лечение до имплантации.Расстояние между зубами как вы измеряли? 3 Ссылка на комментарий
Bier Опубликовано 9 января, 2017 Поделиться Опубликовано 9 января, 2017 лучше 1 имплантатпроблема не в нагрузке, а в том, что недостаточная остеоинтеграция произошла. 2 Ссылка на комментарий
red_butler Опубликовано 9 января, 2017 Поделиться Опубликовано 9 января, 2017 Без ортодонтии 1 имплант, если создать место то два. 1 Ссылка на комментарий
Доктор Добрых Дел Опубликовано 9 января, 2017 Поделиться Опубликовано 9 января, 2017 (изменено) С точки зрения эстетики десны лучше 1 имплантат с консолью ( не толстый по центру, а именно в позицию пятого зуба с консолью на 4й после ортодонтического лечения) +1 к bier (нагрузка не причём в этом случае) Изменено 9 января, 2017 пользователем Доктор Добрых Дел Ссылка на комментарий
DrNice Опубликовано 9 января, 2017 Поделиться Опубликовано 9 января, 2017 Лучше ортодонтия и 2 импланта. Если без ортодонтии, то один имплант. Ссылка на комментарий
tonkin Опубликовано 10 января, 2017 Автор Поделиться Опубликовано 10 января, 2017 Огромное спасибо всем за ответы, но мнения оказались достаточно разные Если стоимость не вопрос - лучше будет пройти ортодонтическое лечение до имплантации.Расстояние между зубами как вы измеряли? На КТ, взял дистанцию от конца одного корня, до начала другого, или надо как то по другому ? Если ортодонтическое лечение, то нужно весь верхний ряд охватывать, или только зубы вокруг пустоты? И сколько времени это займет все подвинуть куда надо? Без ортодонтии 1 имплант, если создать место то два. Лучше ортодонтия и 2 импланта. Если без ортодонтии, то один имплант. А если таки поставить 2 рядом, с уменьшением рекоммендуемых расстояний ? Или такое вообще смысла не имеет ? С точки зрения эстетики десны лучше 1 имплантат с консолью ( не толстый по центру, а именно в позицию пятого зуба с консолью на 4й после ортодонтического лечения)+1 к bier (нагрузка не причём в этом случае) лучше 1 имплантатпроблема не в нагрузке, а в том, что недостаточная остеоинтеграция произошла. Где-то было 6 месяцев между имплантацией и коронкой. То есть вроде не так уж мало времени. И позиция была та, что надо, на 5м месте. На одиночном рентгене это имплант показан, когда он начал шататься, поэтому и щель уже. Получается, что нужно делать синус лифтинг, чтобы поставить 1 длинный имплант, который сможет консоль держать ? На снимке вроде имплант уже доходил до пазухи, то есть допольнительной кости сейчас нет. И еще десна частично провисла, то есть надо еще делать костную пластику со стороны десны ? Или это можно сделать вместе с установкой импланта ? Интересный момент что консоль действует как ключ, при повороте как бы откручивая имплант. Это то, как он начал шататься, через висячий 4й, и ощущения были поворота всей конструкции. Есть ли гарантия, что такое не повториться если все переделать, опять на 1 имплант ? Ссылка на комментарий
DrNice Опубликовано 10 января, 2017 Поделиться Опубликовано 10 января, 2017 Во 1 рекоммендуемые расстояния не с воздуха брались, во 2 если вопрос не стоит в деньгах, то сделайте один раз и на долго. Пройдите курс ортодонтического лечения и поставьте 2 импланта. Но опять таки, мы видим всего навсего ваши снимки, надо смотреть ситуацию во рту. Ссылка на комментарий
tonkin Опубликовано 23 февраля, 2017 Автор Поделиться Опубликовано 23 февраля, 2017 Возрождая тему, вопрос теперь про синус лифтинг. Какой тут нужен если под 2 импланта, вертикальный, или горизонтальный (Кальдвель-Люк) ? Можно ли вертикальным отделаться только ? Ссылка на комментарий
Bier Опубликовано 23 февраля, 2017 Поделиться Опубликовано 23 февраля, 2017 Лучше все же 1 имплантат, а не 2. Nice, вы заблуждаетесь в своих советах. Колдуэлл-Люк - это не то что вам нужно. Синуслифтинг можно сделать и открытый и закрытый. Зависит от оператора. То что имплантат простоял без нагрузки 6 мес не означает, что с ним было все ок. Повторюсь - причина в недостаточной интеграции. Ссылка на комментарий
DrNice Опубликовано 23 февраля, 2017 Поделиться Опубликовано 23 февраля, 2017 Лучше все же 1 имплантат, а не 2. Nice, вы заблуждаетесь в своих советах.Колдуэлл-Люк - это не то что вам нужно. Синуслифтинг можно сделать и открытый и закрытый. Зависит от оператора.То что имплантат простоял без нагрузки 6 мес не означает, что с ним было все ок.Повторюсь - причина в недостаточной интеграции.Обьясните, почему один, если можно будет создать место для двух? Мягкие ткани? Ссылка на комментарий
Bier Опубликовано 23 февраля, 2017 Поделиться Опубликовано 23 февраля, 2017 Потому что корпусно подвинуть моляр почти не реально, двигать клык со своего места тоже не очень верно. Да и сосочек к 23 без имплантата проще сделать 2 Ссылка на комментарий
DrNice Опубликовано 23 февраля, 2017 Поделиться Опубликовано 23 февраля, 2017 Потому что корпусно подвинуть моляр почти не реально, двигать клык со своего места тоже не очень верно. Да и сосочек к 23 без имплантата проще сделать С сосочком согласен. Я имел ввиду, ЕСЛИ возможно будет создать достаточно места))Спасибо за ответ. Ссылка на комментарий
tonkin Опубликовано 25 февраля, 2017 Автор Поделиться Опубликовано 25 февраля, 2017 То что имплантат простоял без нагрузки 6 мес не означает, что с ним было все ок.Повторюсь - причина в недостаточной интеграции.Ну а сколько нужно было бы ему приростать чтобы нормально было ? По идее, все равно в какой то момент нагрузки могут превысить предел, имплант то был совсем не длинный. Плюс еще угол на выпавшей коронке с имплантом достаточно кривоватый. Ссылка на комментарий
Bier Опубликовано 25 февраля, 2017 Поделиться Опубликовано 25 февраля, 2017 Сроки тут ни при чем. Просто процесс плохо пошел Интеграция никогда не бывает на 100% обычно на 60%, у Вас скорее всего имплантат вообще не прижился, а стоял только за счет первичной механической стабилизации так иногда бывает.Длина имплантата не имеет значения, если он хорошо интегрирован. При повышенных нагрузках может произойти перелом абатмента или его винта, но не дезинтеграция имплантата. 2 Ссылка на комментарий
tonkin Опубликовано 26 февраля, 2017 Автор Поделиться Опубликовано 26 февраля, 2017 (изменено) Сроки тут ни при чем. Просто процесс плохо пошел Интеграция никогда не бывает на 100% обычно на 60%, у Вас скорее всего имплантат вообще не прижился, а стоял только за счет первичной механической стабилизации так иногда бывает.Длина имплантата не имеет значения, если он хорошо интегрирован. При повышенных нагрузках может произойти перелом абатмента или его винта, но не дезинтеграция имплантата.Интересно, и если правда, то как такое можно было определить до того, как была поставлена коронка ? Изменено 26 февраля, 2017 пользователем tonkin Ссылка на комментарий
Bier Опубликовано 26 февраля, 2017 Поделиться Опубликовано 26 февраля, 2017 в природе существуют приборы, периотест, например. Но они мало у кого есть. Хотя я знаю доктора в Киеве, у кого есть. Ссылка на комментарий
tonkin Опубликовано 1 июня, 2018 Автор Поделиться Опубликовано 1 июня, 2018 Обновление. Сделали мне дебелый синус лифтинг, кость наросла глубоко в синус. Гонял я туда-сюда, от имплантолога до протезиста. Оба мялись 1-2, непонятно. Но я, вспоминая ужасы консоли, которая раскручивала как монтировка 1 имплант, не хотел 1. В итоге протезист сделал шаблон, имплантолог загнал туда 2 импланта диаметром по 3.2 мм вроде и хорошей длины, в шахматном расположении, что бы увеличить расстояние между имплантами. Один из имплантов торчал немного не вертикально, в итоге протезист 3 раза делал слепок зубов, чтобы с лабой склепать 2 отдельные коронки. Но в конце концов вроде сделали. Потом он эти коронки долго и нудно подтачивал, и подварил немного материала чтобы между коронками улучшить контакт. В общем таки их приклеели, посмотрим теперь, как они будут держаться, и как обростут десной. Ссылка на комментарий
Nazim_NV86 Опубликовано 1 июня, 2018 Поделиться Опубликовано 1 июня, 2018 Контрольный снимок? Ссылка на комментарий
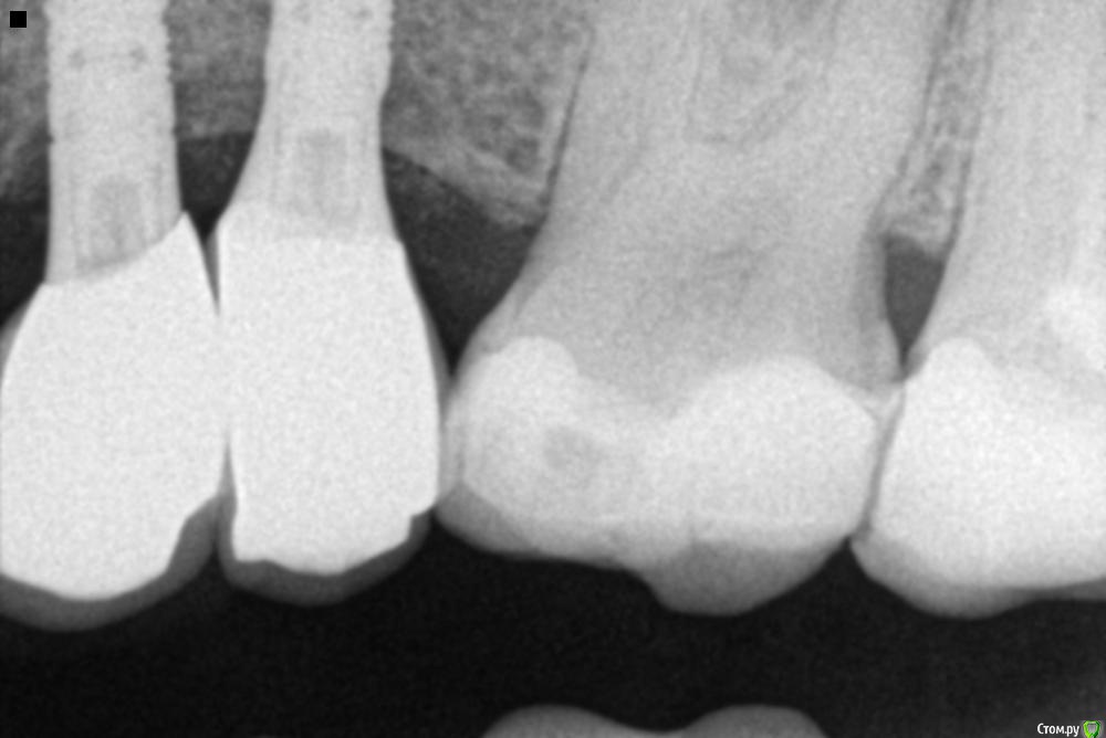
tonkin Опубликовано 5 июня, 2018 Автор Поделиться Опубликовано 5 июня, 2018 Пока такой, проверю, есть ли снимок с глубиной имплантов Ссылка на комментарий
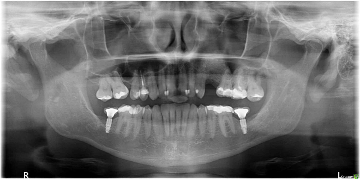
tonkin Опубликовано 6 июня, 2018 Автор Поделиться Опубликовано 6 июня, 2018 Вот еще 2 пано, с наращенной костью до имплантов, и после, когда уже все зажило. Ссылка на комментарий
dok1 Опубликовано 6 июня, 2018 Поделиться Опубликовано 6 июня, 2018 Надо бы срез кт ближнего импланта с клыком. Близковато кажется. А так ничего вроде. Всё по уровню. Ссылка на комментарий
Bier Опубликовано 6 июня, 2018 Поделиться Опубликовано 6 июня, 2018 думаю, что там все ок 1 Ссылка на комментарий
Рекомендуемые сообщения
Для публикации сообщений создайте учётную запись или авторизуйтесь
Вы должны быть пользователем, чтобы оставить комментарий
Создать аккаунт
Зарегистрируйте новый аккаунт в нашем сообществе. Это очень просто!
Регистрация нового пользователяВойти
Уже есть аккаунт? Войти в систему.
Войти