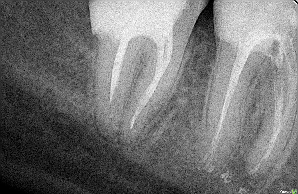
Didi Опубликовано 30 декабря, 2016 Поделиться Опубликовано 30 декабря, 2016 (изменено) После пломбировки 6-го зуба снизу он болел при накусывании один или два месяца.Спустя 6 лет после пломбировки, после регулярной чистки между зубами толстой нитью (раньше там не чистил), на следующий день этот зуб начал снова болеть при накусывании и шатании. Как только прекращаю чистить между зубами толстой нитью, боль при накусывании проходит через 2-3 дня. Наверное происходит давление на зуб при вытаскивании нити, из за которого он начинает болеть на следующий день. В других зубах с запломбироваными каналами после чистки между ними болей нет. Другие зубы в отличии от этого после пломбировки болели максимум неделю.В болящем зубе есть стекловолоконный штифт. (может дело в нём?)Зуб запломбирован жидкой гуттаперчей B-sustem.Пломбировала стоматолог женщина. На снимках болит зуб тот что справа. Посмотрите пожалуйста прямо сейчас.ВопросНормально ли то что зуб болел после пломбировки 1-2 месяца, а спустя 6 лет начинает болеть после чистки толстой нитю между зубами, на следующий день? Если нет то в чём скорей всего причина и что делать?Буду благодарен Вам за помощь Изменено 30 декабря, 2016 пользователем Didi Ссылка на комментарий
dok1 Опубликовано 30 декабря, 2016 Поделиться Опубликовано 30 декабря, 2016 Пломбирование каналов обоих зубов оставляет желать лучшего. Бегом к врачу перелечивать. Ссылка на комментарий
Didi Опубликовано 31 декабря, 2016 Автор Поделиться Опубликовано 31 декабря, 2016 (изменено) С левым зубом всё понятно, там не до конца канал запломбирован.А как понять что правый плохо запломбирован?Слышу об этом впервые. Изменено 31 декабря, 2016 пользователем Didi Ссылка на комментарий
dok1 Опубликовано 31 декабря, 2016 Поделиться Опубликовано 31 декабря, 2016 Там в правом на снимке корне два канала. Приглядитесь. И пористо всё запломбировано. Ссылка на комментарий
Didi Опубликовано 31 декабря, 2016 Автор Поделиться Опубликовано 31 декабря, 2016 (изменено) Спасибо, а почему этот зуб после пломбировки так долго болел, и спустя 6 лет опять болит от чистки ниткой?Какое время боления зуба после пломбировки считается нормальным? Изменено 31 декабря, 2016 пользователем Didi Ссылка на комментарий
shishok Опубликовано 1 января, 2017 Поделиться Опубликовано 1 января, 2017 ВопросНормально ли то что зуб болел после пломбировки 1-2 месяца, а спустя 6 лет начинает болеть после чистки толстой нитю между зубами, на следующий день? Попробуйте для начала самое простое-нить либо потоньше,либо плоскую.Они меньше травмируют десну. Ссылка на комментарий
red_butler Опубликовано 1 января, 2017 Поделиться Опубликовано 1 января, 2017 По снимку похоже нет нормального контактного пункта. Зубы требуют протезирования. Седьмой перелечит. По поводу шестого я не так категоричен. Ссылка на комментарий
Didi Опубликовано 1 января, 2017 Автор Поделиться Опубликовано 1 января, 2017 (изменено) Спасибо за ваши ответы! Попробуйте для начала самое простое-нить либо потоньше,либо плоскую.Они меньше травмируют десну. Десна не болит, болит зуб при надавливании.Но сейчас он у меня болит даже без надавливания, уже 4-й день. Там в правом на снимке корне два канала. Приглядитесь. А там должно быть больше чем 2 канала?Третий канал не запломбирован что-ли? red_butler По поводу шестого я не так категоричен. dok1 Пломбирование каналов обоих зубов оставляет желать лучшего. Бегом к врачу перелечивать. Кого мне слушать? Изменено 1 января, 2017 пользователем Didi Ссылка на комментарий
St. Опубликовано 3 января, 2017 Поделиться Опубликовано 3 января, 2017 red_butler По поводу шестого я не так категоричен. +1. По снимку все приемлемо.Но если выяснится что точно болит этот зуб а не десна, то да - придется переделывать в нем каналы. 1 Ссылка на комментарий
Didi Опубликовано 4 января, 2017 Автор Поделиться Опубликовано 4 января, 2017 (изменено) +1. По снимку все приемлемо.Но если выяснится что точно болит этот зуб а не десна, то да - придется переделывать в нем каналы. То есть он болит из за плохих каналов после бокового надавливания нитью? А сколько времени зуб должен болеть после пломбировки каналов и сколько не должен? Изменено 4 января, 2017 пользователем Didi Ссылка на комментарий
Гарриевич Опубликовано 5 января, 2017 Поделиться Опубликовано 5 января, 2017 вам нужно рациональное протезирование этого участка и в целом. Если хотите более достоверной информации о состоянии этих зубов, то сделайте Кт Ссылка на комментарий
St. Опубликовано 5 января, 2017 Поделиться Опубликовано 5 января, 2017 То есть он болит из за плохих каналов после бокового надавливания нитью? Не исключено. Но чаще так болит вследствие воспаления десны. А сколько времени зуб должен болеть после пломбировки каналов и сколько не должен? Обычно до 2 недель максимум, причем дискомфорт должен со временем уменьшаться. Ссылка на комментарий
Didi Опубликовано 6 января, 2017 Автор Поделиться Опубликовано 6 января, 2017 (изменено) Гриневич Спасибо! Но чаще так болит вследствие воспаления десны. А почему тогда боль чувствуется именно в зубе при надавливании на него в любом месте?Остальные зубы не болят после чистки нитью, только этот. Обычно до 2 недель максимум, причем дискомфорт должен со временем уменьшаться. А если после пломбировки зуб при накусывании болит месяц и больше, то о чём это скорей всего сигнализирует? Изменено 6 января, 2017 пользователем Didi Ссылка на комментарий
St. Опубликовано 6 января, 2017 Поделиться Опубликовано 6 января, 2017 (изменено) А если после пломбировки зуб при накусывании болит месяц и больше, то о чём это скорей всего сигнализирует?Причины могут быть разными, нужно разбираться в каждом конкретном случае что было до, что делали, что получилось после пломбировки, есть ли какая-то динамика со временем, какая ситуация с соседними зубами, с организмом вцелом и т.п. Потому что боль бывает от объективных каких-то причин(не то лечили, не так, перестарались при пломбировке, пропустили трещину корня), а бывает индивидуальная необъяснимая реакция на вмешательство (когда вроде бы все сделано хорошо и правильно, а все равно болит). В таких спорных ситуациях нужен очный осмотр и КТ. Изменено 6 января, 2017 пользователем St. Ссылка на комментарий
Didi Опубликовано 6 января, 2017 Автор Поделиться Опубликовано 6 января, 2017 Спасибо большое!И вопрос на будущее, трещины корня излечимы? Ссылка на комментарий
St. Опубликовано 6 января, 2017 Поделиться Опубликовано 6 января, 2017 Увы, только удалением зуба Ссылка на комментарий
Didi Опубликовано 7 января, 2017 Автор Поделиться Опубликовано 7 января, 2017 О, буду знать!А корни трескаются во время распломбировки каналов? Ссылка на комментарий
Рекомендуемые сообщения
Для публикации сообщений создайте учётную запись или авторизуйтесь
Вы должны быть пользователем, чтобы оставить комментарий
Создать аккаунт
Зарегистрируйте новый аккаунт в нашем сообществе. Это очень просто!
Регистрация нового пользователяВойти
Уже есть аккаунт? Войти в систему.
Войти