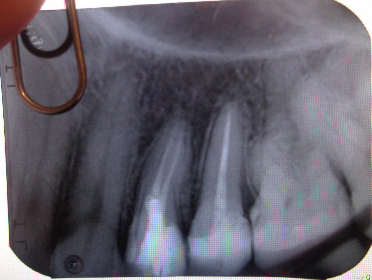
Nadyushka1231 Опубликовано 27 декабря, 2016 Поделиться Опубликовано 27 декабря, 2016 Здравствуйте! Зуб 15 меня совершенно никак не беспокоил, но на осмотре 10 октября врач сказал что есть маленький кариес, но закончилось всё удалением нерва из зуба. 10 дней ныла вся верхняя челюсть, боль отдавала в ухо и в зуб 13 (клык я так думаю болел от укола, т.к. потом мне жаловалась моя знакомая на боль в клыке после удаления нерва у того же врача), при обращении к врачу с этим вопросом (3 раза за 10 дней) на 3й раз меня просто выгнали с тем, что якобы я больна на голову, болеть в зубе нечему. Я пошла к другому врачу в стомат.поликлинику. Из за болей меня отправили на физ. процедуры (лазер+электрофорез). За неделю боль утихла. 25 октября был установлен стекловолоконный штифт и пломба световая. Ночью я поняла что зуб стал снова болеть, но я подумала что болит он от вмешательства. Терпела еще несколько дней, после чего пошла к врачу, но и этот врач мне сказал, что болеть нечему. В середине ноября меня снова отправили на лазер+электрофорез. Потом я пошла к парадонтологу, в надежде на то что боли дает десна, но пародонтолог тоже ничего не увидела, и в целях профилактики отправила меня на лезер на все десна. Зуб как болел так и продолжил болеть. Я поехала в другой город в стомат.клинику. Врач по рентгену тоже ничего не увидел и выписал пропить Ципролет. Я пропила, но боли не прошли. Вот уже прошло 2,5 месяца с момента удаления нерва. Зуб болит при надавливании, при постукивает, болит пол челюсти, боль отдает в область перед ухом. 22 декабря делала рентген этого зуба, но врач снова не видит ничего на рентгене. Сказал что зуб запломбирован нормально, воспаления и кист на корне нет, десна не воспалена. Вот я теперь совсем не знаю что мне делать.... Раньше он меня совсем не беспокоил а теперь уже больше 2 месяцев я мучаюсь с болью и никто не может мне помочь. Соседние зубы при надавливании, постукивании не болят совсем, на холод не реагируют. Боль именно в зубе 15. Посоветуйте пожалуйста, что мне делать?Фото прикрепляю до установки штифта (середина октября), 2 рентген (конец ноября). Последнего рентгена из другого города к сожалению у меня нет, но врач сказал что по последнему рентгену всё нормально. Ссылка на комментарий
IvanK Опубликовано 28 декабря, 2016 Поделиться Опубликовано 28 декабря, 2016 Здравствуйте, сейчас боль четко локализуется в области 15? Сделайте панорамный снимок (ОПТГ) Ссылка на комментарий
Nadyushka1231 Опубликовано 28 декабря, 2016 Автор Поделиться Опубликовано 28 декабря, 2016 Здравствуйте, сейчас боль четко локализуется в области 15? Сделайте панорамный снимок (ОПТГ) Здравствуйте! В общем боль ноющая постоянно в правой половине челюсти и отдает в область перед ухом. При надавливании на 5 верхний зуб чувствую боль, при постукивании также боль именно в нем, соседние не реагируют ни на стук, ни на нажим, ни на холод. Делали недавно снимок зуба нижнего, попал в "кадр" нижний 8 зуб. Он лежит горизонтально. Сказали нужно будет удалить. Но если я еще как то теоретически могу предположить, что ноющие боли от нижней 8ки. То боль при надавливании и постукивании именно по 15 ...... не знаю как связать. Тем более что боль и ноющая и в зубе 15, появилась именно после удаления нерва. До этого зуб вообще меня никак не беспокоил Ссылка на комментарий
IvanK Опубликовано 29 декабря, 2016 Поделиться Опубликовано 29 декабря, 2016 покажите панорамный снимок возможно у Вас два диагноза 1 Ссылка на комментарий
Рекомендуемые сообщения
Для публикации сообщений создайте учётную запись или авторизуйтесь
Вы должны быть пользователем, чтобы оставить комментарий
Создать аккаунт
Зарегистрируйте новый аккаунт в нашем сообществе. Это очень просто!
Регистрация нового пользователяВойти
Уже есть аккаунт? Войти в систему.
Войти