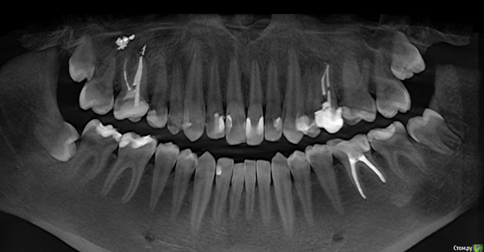
Lewsigh Опубликовано 26 декабря, 2016 Поделиться Опубликовано 26 декабря, 2016 Представленный снимок был сделан три месяца назад. Нового, к сожалению, нет. Речь идет о 48 зубе. Нижнюю восьмерку с противоположной стороны, которая начала прорезаться, уже удалил. Удаление 48-го назначено на 14 февраля в бесплатной стоматологии (но у чудесного хирурга). Зуб лежит перпендикулярно относительно семерки.Подскажите, пожалуйста, продержится ли семерка еще полтора месяца? Начал сильно беспокоиться по этому поводу, т.к. за последние две недели усилился хруст и щелчки с правой стороны при открытии рта, начал ощущать давление 8-ки на челюсть. Боюсь, что она очень быстро растет и я могу лишиться седьмого зуба. Стоит ли уже сейчас бежать и удалять её в платную стоматологию? Ссылка на комментарий
Lewsigh Опубликовано 26 декабря, 2016 Автор Поделиться Опубликовано 26 декабря, 2016 (изменено) Тут наблюдается маленький запас. Но это было три месяца назад. Изменено 26 декабря, 2016 пользователем Lewsigh Ссылка на комментарий
Bier Опубликовано 26 декабря, 2016 Поделиться Опубликовано 26 декабря, 2016 продержится ) Ссылка на комментарий
IvanK Опубликовано 28 декабря, 2016 Поделиться Опубликовано 28 декабря, 2016 чудесного хирурга можно и подождать! Ссылка на комментарий
Рекомендуемые сообщения
Для публикации сообщений создайте учётную запись или авторизуйтесь
Вы должны быть пользователем, чтобы оставить комментарий
Создать аккаунт
Зарегистрируйте новый аккаунт в нашем сообществе. Это очень просто!
Регистрация нового пользователяВойти
Уже есть аккаунт? Войти в систему.
Войти