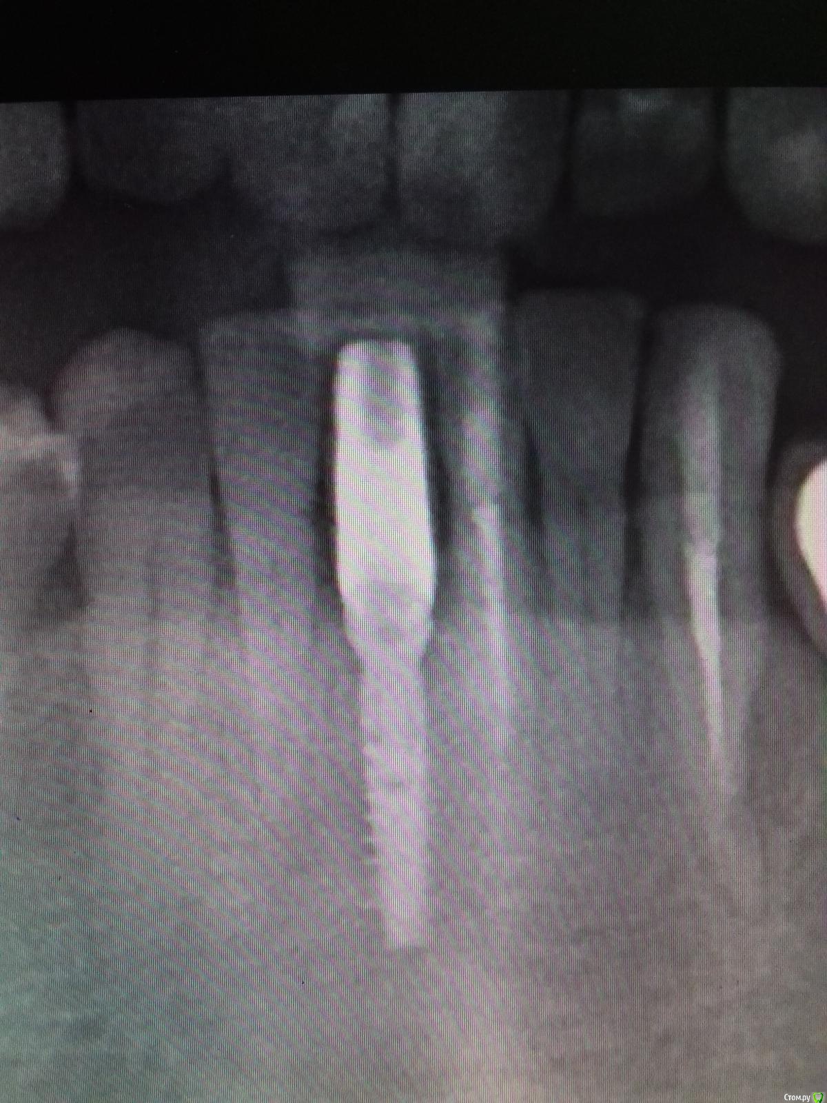
Jurai Опубликовано 25 декабря, 2016 Поделиться Опубликовано 25 декабря, 2016 *Предупреждение: фото на "мыльницу", не все этапы удались, но я работаю над этим) Вот пациент. Приятнейший, во всех отношениях, с негативным отношениям к мостовидным конструкциям. Полтора года лечил 41з по поводу периодонтита: толку не вышло. Удалил у широко известного многим стоматологам, особенно выпускам последних годов, доктора с ученой степенью. После удаления 4 месяца, по КТ область вполне достойно выглядит. Вот с чем пришел, обычное дело, все прилично: Раскрываю, а там между тонкими кортикалками мягко и упруго - резидуальная, фото нет. Открываю сильнее чем обычно, с расстройства не особо удачно. Кюретаж : Вид после, ушла вестибулярная кортикальная вместе с кистой: Сверлим 2,0, позиционердля рентген-контроля Имплантат ADIN UNP2,75Х11,5мм Ауто, джейсон коллагенфлис (что было под рукой) Швы. Контроль, перещелкивать не стали. В общем, понравился имплантат, для себя пометку кюретажить тщательнее, не надеяться, что организм все переварит. 1 9 Ссылка на комментарий
dok1 Опубликовано 26 декабря, 2016 Поделиться Опубликовано 26 декабря, 2016 Было такое. Сколько раз в этом убеждался. 1 Ссылка на комментарий
Fibez Опубликовано 26 декабря, 2016 Поделиться Опубликовано 26 декабря, 2016 Как вообще впечатления от Адина? Ссылка на комментарий
Тимур86 Опубликовано 26 декабря, 2016 Поделиться Опубликовано 26 декабря, 2016 Поддержу.Сам сколько раз обламывался из-за своей лени,когда через 3 месяца КТ смотрел Ссылка на комментарий
TIGER Опубликовано 26 декабря, 2016 Поделиться Опубликовано 26 декабря, 2016 в эндо 31 уверены? 1 Ссылка на комментарий
kamranchick Опубликовано 26 декабря, 2016 Поделиться Опубликовано 26 декабря, 2016 Сколько лет коротыш стоит? Ссылка на комментарий
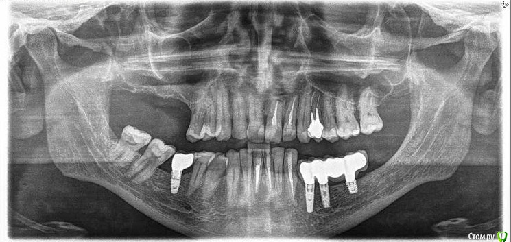
Jurai Опубликовано 26 декабря, 2016 Автор Поделиться Опубликовано 26 декабря, 2016 Как вообще впечатления от Адина?Я скажу откровенно - двойственные впечатления. Да, непафосно, да, просто, да, бывают резорбции по шейке. Но за три года, что я с ними работаю, в минусе два, ставлю почти исключительно Swell. Один вывернулся при вот такой картине Второй убрала при такой, трепаном еле выпилила, полчаса возиласьЕдинственное, я их ставлю только там, где можно хоть саморез по гипсокартону ввернуть и он интегрируется, то бишь, в идеальные условия. Ссылка на комментарий
Jurai Опубликовано 26 декабря, 2016 Автор Поделиться Опубликовано 26 декабря, 2016 в эндо 31 уверены?Уверены. 31 был витальным, после года безуспешного лечения 41 терапевт предложил 31 тоже распечатать. 1 Ссылка на комментарий
Jurai Опубликовано 26 декабря, 2016 Автор Поделиться Опубликовано 26 декабря, 2016 Сколько лет коротыш стоит?О, в области коротышки вообще трагедия про неудачную пластику. Изначально там было меньше 4мм до канала, делала пластику по Кюри с целью накрутить 34,35,36,37. Не удалось полноценно по многим причинам, от повторной пациент отказался. Порядка двух лет уже. Ссылка на комментарий
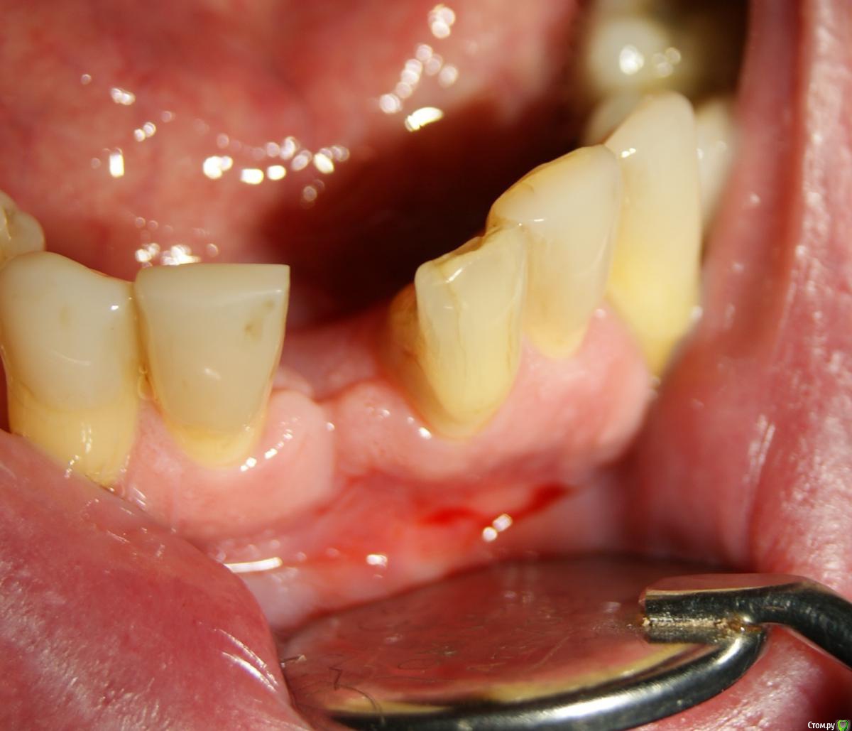
Jurai Опубликовано 24 января, 2018 Автор Поделиться Опубликовано 24 января, 2018 Год спустя, 9 месяцев после протезирования. 1 7 Ссылка на комментарий
TIGER Опубликовано 24 января, 2018 Поделиться Опубликовано 24 января, 2018 Год спустя, 9 месяцев после протезирования.Достойно! 1 Ссылка на комментарий
dok1 Опубликовано 27 января, 2018 Поделиться Опубликовано 27 января, 2018 Да прям очень так ничего. 1 Ссылка на комментарий
Jurai Опубликовано 15 марта, 2024 Автор Поделиться Опубликовано 15 марта, 2024 Рекол! 7 лет в нагрузке. Нужно уточнить, что у пациента кошмарный прикус, 3 класс. 10 1 2 Ссылка на комментарий
red_butler Опубликовано 17 марта, 2024 Поделиться Опубликовано 17 марта, 2024 15.03.2024 в 17:13, Jurai сказал: Рекол! Ура, с возвращением ? 1 Ссылка на комментарий
Jurai Опубликовано 27 марта, 2024 Автор Поделиться Опубликовано 27 марта, 2024 В 17.03.2024 в 08:30, red_butler сказал: Ура, с возвращением ? Да я и не пропадала) 1 Ссылка на комментарий
Рекомендуемые сообщения
Для публикации сообщений создайте учётную запись или авторизуйтесь
Вы должны быть пользователем, чтобы оставить комментарий
Создать аккаунт
Зарегистрируйте новый аккаунт в нашем сообществе. Это очень просто!
Регистрация нового пользователяВойти
Уже есть аккаунт? Войти в систему.
Войти