red_butler Опубликовано 26 июня, 2017 Поделиться Опубликовано 26 июня, 2017 Покажите актуальные снимки Ссылка на комментарий
Scander Опубликовано 26 июня, 2017 Автор Поделиться Опубликовано 26 июня, 2017 Покажите актуальные снимкиСегодня обратно коронку прикрепили мне. И абатмент и коронка внутри были белые, без налётов и потемнений.Рентген в четверг сделаю. Ссылка на комментарий
gum Опубликовано 28 июня, 2017 Поделиться Опубликовано 28 июня, 2017 Вы не рентген, а фотографии коронки и зубов сделайте. Ссылка на комментарий
red_butler Опубликовано 28 июня, 2017 Поделиться Опубликовано 28 июня, 2017 Вы не рентген, а фотографии коронки и зубов сделайте.Rg тоже не помешает Ссылка на комментарий
Scander Опубликовано 29 июня, 2017 Автор Поделиться Опубликовано 29 июня, 2017 ОК. Размещу на днях, как получу на руки снимок свежий. Еще такой вопрос - это нормально, что ортопед всё время лезет в рот без резиновых перчаток - голыми руками? Ссылка на комментарий
red_butler Опубликовано 29 июня, 2017 Поделиться Опубликовано 29 июня, 2017 Еще такой вопрос - это нормально, что ортопед всё время лезет в рот без резиновых перчаток - голыми руками?Если это действительно так, то это нарушение техники безопасности и Ваш доктор может чем нибудь заразиться от Вас. 3 Ссылка на комментарий
Scander Опубликовано 29 июня, 2017 Автор Поделиться Опубликовано 29 июня, 2017 Если это действительно так, то это нарушение техники безопасности и Ваш доктор может чем нибудь заразиться от Вас.Меня как-то больше беспокоит движение заразы в обратном направлении... 1 Ссылка на комментарий
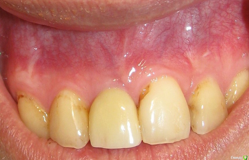
Scander Опубликовано 29 июня, 2017 Автор Поделиться Опубликовано 29 июня, 2017 Снимки Ссылка на комментарий
red_butler Опубликовано 30 июня, 2017 Поделиться Опубликовано 30 июня, 2017 Выглядит все прилично. Требуется профессиональная гигиена, и коррекция индивидуальной. Ссылка на комментарий
Scander Опубликовано 30 июня, 2017 Автор Поделиться Опубликовано 30 июня, 2017 коррекция индивидуальной А что имеется в виду под коррекцией? Ссылка на комментарий
red_butler Опубликовано 30 июня, 2017 Поделиться Опубликовано 30 июня, 2017 А что имеется в виду под коррекцией?Если сказать мягко, то уровень Вашей индивидуальной гигиены, не достаточно высокий. Ссылка на комментарий
Scander Опубликовано 30 июня, 2017 Автор Поделиться Опубликовано 30 июня, 2017 Если сказать мягко, то уровень Вашей индивидуальной гигиены, не достаточно высокий.Да я как бы совершенно не против его радикального улучшения. Вопрос в том что для этого предпринять...Я пользуюсь ирригатором и флоссом. Зубы чищу два раза в день, как минимум. Стараюсь и после каждого приема пищи чистить. Пользуюсь электрической зубной щеткой и стараюсь делать это правильно - движения от корня и круговые. Так что, собственно, вопрос в силе - что имеется в виду под коррекцией? Ссылка на комментарий
gum Опубликовано 4 июля, 2017 Поделиться Опубликовано 4 июля, 2017 Если курите, то бросайте.Необходимо поменять пломбы на зубах. На фото видны проблемы с прилеганием пломб. Т.е. необходимо уменьшить количество ретенционных пунктов (зазоров), для отложения зубных отложений, к тому же улучшится эстетика.Попросите врача провести профессиональную гигиену. После этого сделайте фото и в процессе сможете контролировать уровень Вашей гигиены. Ссылка на комментарий
Scander Опубликовано 7 июля, 2017 Автор Поделиться Опубликовано 7 июля, 2017 Если курите, то бросайте.Необходимо поменять пломбы на зубах. На фото видны проблемы с прилеганием пломб. Т.е. необходимо уменьшить количество ретенционных пунктов (зазоров), для отложения зубных отложений, к тому же улучшится эстетика.Попросите врача провести профессиональную гигиену. После этого сделайте фото и в процессе сможете контролировать уровень Вашей гигиены.Спасибо за ответ. Попробую обсудить это очно с врачом.Профессиональную гигиену нужно делать до всех манипуляций с пломбами?Я не курю. Налёт от чая. Ссылка на комментарий
gum Опубликовано 7 июля, 2017 Поделиться Опубликовано 7 июля, 2017 Да проф гигиену до замены пломб Ссылка на комментарий
Рекомендуемые сообщения
Для публикации сообщений создайте учётную запись или авторизуйтесь
Вы должны быть пользователем, чтобы оставить комментарий
Создать аккаунт
Зарегистрируйте новый аккаунт в нашем сообществе. Это очень просто!
Регистрация нового пользователяВойти
Уже есть аккаунт? Войти в систему.
Войти