Scander Опубликовано 25 декабря, 2016 Поделиться Опубликовано 25 декабря, 2016 Прошу совета специалистов, касательно дальнейшего лечения. Ситуация следующая:верхний центральный резец удалён, установлен имплант, затем - формирователь десны.Сейчас необходимо осуществлять протезирование на имеющемся импланте. Лечащий врач предложил следующую схему - см. на фото наряда. Вопрос такой - оптимальный ли это вариант и не лучше ли как-то скорректировать все это? Ссылка на комментарий
Jurai Опубликовано 25 декабря, 2016 Поделиться Опубликовано 25 декабря, 2016 а что вас, собственно, не устраивает? 2 Ссылка на комментарий
Scander Опубликовано 25 декабря, 2016 Автор Поделиться Опубликовано 25 декабря, 2016 а что вас, собственно, не устраивает?Собственно, я хочу выяснить, имеются ли иные - лучшие чем этот варианты. Ссылка на комментарий
Jurai Опубликовано 26 декабря, 2016 Поделиться Опубликовано 26 декабря, 2016 Лучшее - враг хорошего. Чтобы обсуждать план лечения, нужны объективные данные - фото, рентгеновские снимки. Ну представьте, что на форуме автолюбителей я пожалуюсь, что у меня слева где-то стучит, предъявлю смету из ремонтной мастерской и буду спрашивать - а правильно ли вот так ремонтировать мою машину? Вы не доверяете своему врачу? Лучше это обсуждать на очной консультации. 4 Ссылка на комментарий
Scander Опубликовано 26 декабря, 2016 Автор Поделиться Опубликовано 26 декабря, 2016 Лучшее - враг хорошего. Чтобы обсуждать план лечения, нужны объективные данные - фото, рентгеновские снимки. Ну представьте, что на форуме автолюбителей я пожалуюсь, что у меня слева где-то стучит, предъявлю смету из ремонтной мастерской и буду спрашивать - а правильно ли вот так ремонтировать мою машину? Вы не доверяете своему врачу? Лучше это обсуждать на очной консультацииНе доверяю. И хочу получить информацию из альтернативного источника. Ссылка на комментарий
red_butler Опубликовано 26 декабря, 2016 Поделиться Опубликовано 26 декабря, 2016 Приведите тему в соответствие правилам форума http://forum.stom.ru/topic/20613-sovety-patcientam-obiazatelno-k-prochteniiu/ 1 Ссылка на комментарий
M@estro Опубликовано 26 декабря, 2016 Поделиться Опубликовано 26 декабря, 2016 Не доверяю. Меняйте врача. Совет,проверенный временем. И выложите снимок с парой фотографий, подумаем над альтернативой 1 Ссылка на комментарий
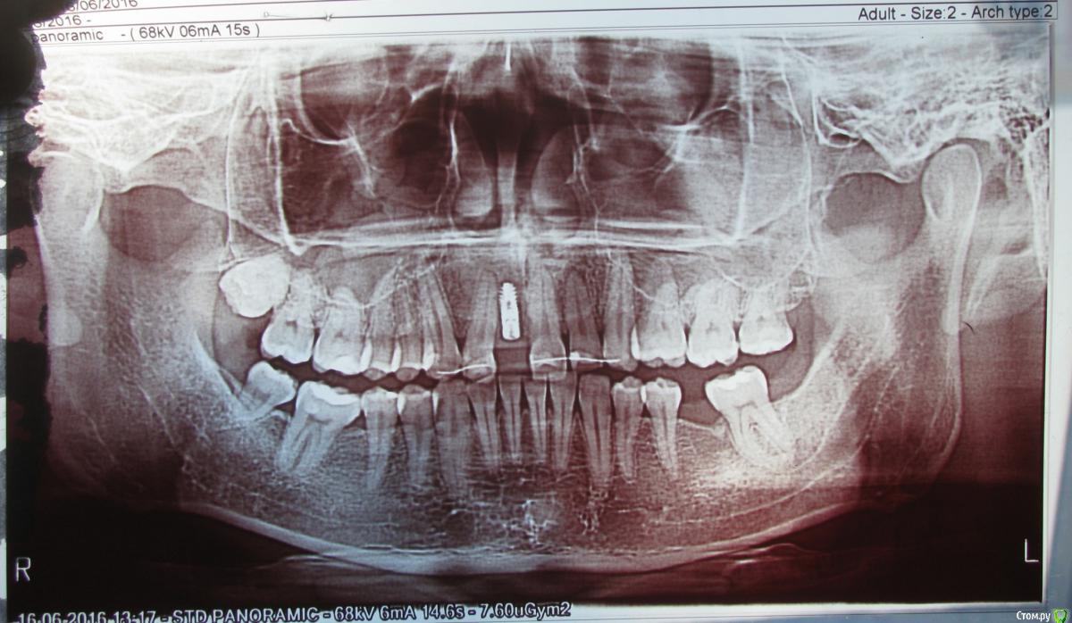
Scander Опубликовано 27 декабря, 2016 Автор Поделиться Опубликовано 27 декабря, 2016 Меняйте врача. Совет,проверенный временем. И выложите снимок с парой фотографий, подумаем над альтернативойСпасибо. Надо только забрать снимок будет. Ссылка на комментарий
Scander Опубликовано 18 января, 2017 Автор Поделиться Опубликовано 18 января, 2017 (изменено) Здравствуйте. Забрал снимок. Ситуация у меня осложняется тем, что деньги за лечение уже уплачены. Дело происходит в клинике ............ Изготовленная коронка при посадке на абатмент (стандартный) ощущается дискомфортно - полного смыкания жевательных зубов нет. До этого на ортодонтической дуге висел декоративный зуб полное смыкание челюстей было возможно. На данный момент врач обтачивает изготовленную коронку. При этом она всячески демонстрирует свое недовольство, утверждая, что мне вовсе не следовало ставить имплант, а нужно было делать мостовидный протез. Когда речь заходит о том, что, возможно, следовало заказывать индивидуальный абатмент - она заявляет, что для этого не было показаний. Предлагает стачивать нижние зубы, чтобы они не мешали. Я категорически против этого. Пока взяли небольшой тайм-аут. Изменено 19 января, 2017 пользователем IvanK Ссылка на комментарий
red_butler Опубликовано 18 января, 2017 Поделиться Опубликовано 18 января, 2017 Финансовые вопросы на форуме не обсуждаются. 1 Ссылка на комментарий
IvanK Опубликовано 19 января, 2017 Поделиться Опубликовано 19 января, 2017 Думаю, что нужно сходить на пару очных консультаций к другим Врачам Ссылка на комментарий
Scander Опубликовано 20 января, 2017 Автор Поделиться Опубликовано 20 января, 2017 Меняйте врача. Совет,проверенный временем. И выложите снимок с парой фотографий, подумаем над альтернативой Здравствуйте, снимок выложен. Ссылка на комментарий
Scander Опубликовано 20 января, 2017 Автор Поделиться Опубликовано 20 января, 2017 Думаю, что нужно сходить на пару очных консультаций к другим Врачам Проблема в том, что лечение в клинике МГМСУ на Вучетича уже оплачено. Ссылка на комментарий
Scander Опубликовано 20 января, 2017 Автор Поделиться Опубликовано 20 января, 2017 Если кто-то все же решит помочь информацией, задам еще один вопрос:протезист утверждает, что нельзя слишком сильно истончать коронку (диоксид циркония) и предлагает стачивать нижние зубы, чтобы достичь нормального смыкания жевательных зубов - в этой ситуации, было бы более оправданным использование индивидуального абатмента? Ссылка на комментарий
IvanK Опубликовано 20 января, 2017 Поделиться Опубликовано 20 января, 2017 нужно смотреть на Вашу коронку Это как ремонт авто по фото... 1 Ссылка на комментарий
Scander Опубликовано 20 января, 2017 Автор Поделиться Опубликовано 20 января, 2017 нужно смотреть на Вашу коронку Это как ремонт авто по фото...Ну коронка же у протезиста... Ссылка на комментарий
M@estro Опубликовано 28 января, 2017 Поделиться Опубликовано 28 января, 2017 Ну коронка же у протезиста... Значит либо -" ему виднее", либо ищите другого доктора. Стачивать нижние зубы он планирует на какую величину? как по ощущениям - сильно "не смыкается" - или не сильно? Ссылка на комментарий
Scander Опубликовано 24 июня, 2017 Автор Поделиться Опубликовано 24 июня, 2017 (изменено) Всем привет. В тот раз коронка была установлена и до сегодняшнего дня меня не беспокоила. Но сегодня она слетела.Сам имплант сидит прочно. Это нормальное явления - слетание коронки или нет?Ортопед предупреждала, что сажает коронку на временный цемент. Почему именно на временный - не совсем понял. Из под коронки при слетании пошел неприятный запах.Значит ли это, что уровень гигиены недостаточен? Изменено 24 июня, 2017 пользователем Scander Ссылка на комментарий
AndyAndy Опубликовано 24 июня, 2017 Поделиться Опубликовано 24 июня, 2017 Для фиксации коронки на имплантате часто используются специфические цементы, которые по сути являются временными. Случаи расцементировки случаются, но редко. Запах - это скорее всего запах того самого цемента. Если коронка будет расцементироваться регулярно, надо искать причины Ссылка на комментарий
Scander Опубликовано 24 июня, 2017 Автор Поделиться Опубликовано 24 июня, 2017 Для фиксации коронки на имплантате часто используются специфические цементы, которые по сути являются временными. Случаи расцементировки случаются, но редко. Запах - это скорее всего запах того самого цемента. Если коронка будет расцементироваться регулярно, надо искать причиныЗапах именно как от несвежих зубов... Как запах из плохо прочищаемых межзубных промежутков. Регулярно - это как? С какой частотой? Ссылка на комментарий
chervoncevdaniil Опубликовано 24 июня, 2017 Поделиться Опубликовано 24 июня, 2017 (изменено) Запах именно как от несвежих зубов... Как запах из плохо прочищаемых межзубных промежутков. Регулярно - это как? С какой частотой?Если будет раз в пол года отваливаться,то это не хорошо Изменено 24 июня, 2017 пользователем chervoncevdaniil Ссылка на комментарий
Scander Опубликовано 24 июня, 2017 Автор Поделиться Опубликовано 24 июня, 2017 Меня все же очень волнует запах из под коронки.Это был не запах цемента, а именно запах невычищаемого пространства.Значит ли это, что уровень гигиены недостаточен? Ссылка на комментарий
chervoncevdaniil Опубликовано 25 июня, 2017 Поделиться Опубликовано 25 июня, 2017 (изменено) Ну тут спецов,которые помогут отличить запах негерметичного цемента от запаха невычищаемого пространства вы вряд ли найдете Если считаете что у вас плохая гигиена,то чистите лучше,в чем проблема то?Приобретите специальные средства гигиены,ирргаторы и т.д.Запишитесь на прием,чтобы доктор научил как ими пользоваться и проконтролировал вашу гигиену.Гигиена полости рта-это 100% ваша ответственность,которая на прямую влияет на долгосрочную выживаемость имплантатов.Будет плохая гигиена,через пару лет не коронку принесете доктору,а уже имплант в руках. Изменено 25 июня, 2017 пользователем chervoncevdaniil 1 Ссылка на комментарий
Scander Опубликовано 25 июня, 2017 Автор Поделиться Опубликовано 25 июня, 2017 Ну тут спецов,которые помогут отличить запах негерметичного цемента от запаха невычищаемого пространства вы вряд ли найдете Если считаете что у вас плохая гигиена,то чистите лучше,в чем проблема то?Приобретите специальные средства гигиены,ирргаторы и т.д.Запишитесь на прием,чтобы доктор научил как ими пользоваться и проконтролировал вашу гигиену.Гигиена полости рта-это 100% ваша ответственность,которая на прямую влияет на долгосрочную выживаемость имплантатов.Будет плохая гигиена,через пару лет не коронку принесете доктору,а уже имплант в руках.Ну так я не знаю - является ли запах невычищаемого пространства (это именно так - тут специалисты не нужны) из под разгерметизировавшейся, слетевшей коронки свидетельством плохой гигиены или нет. Вот спрашиваю...До выпадения коронки никакого запаха не было вообще. Совсем. Ссылка на комментарий
chervoncevdaniil Опубликовано 26 июня, 2017 Поделиться Опубликовано 26 июня, 2017 (изменено) Ну так я не знаю - является ли запах невычищаемого пространства (это именно так - тут специалисты не нужны) из под разгерметизировавшейся, слетевшей коронки свидетельством плохой гигиены или нет. Вот спрашиваю...До выпадения коронки никакого запаха не было вообще. Совсем.Чаще всего это запах временного цемента при негерметичной коронке,иначе она бы не расцементировалась.В любом случае решать нужно с лечашим врачом,мы ваш уровень гигиены не знаем,но коронка на импланах даже на временном должна стоять долго Изменено 26 июня, 2017 пользователем chervoncevdaniil Ссылка на комментарий
Рекомендуемые сообщения
Для публикации сообщений создайте учётную запись или авторизуйтесь
Вы должны быть пользователем, чтобы оставить комментарий
Создать аккаунт
Зарегистрируйте новый аккаунт в нашем сообществе. Это очень просто!
Регистрация нового пользователяВойти
Уже есть аккаунт? Войти в систему.
Войти