Liliya_imp Опубликовано 22 декабря, 2016 Поделиться Опубликовано 22 декабря, 2016 (изменено) Доброго времени суток, коллеги.Ситуация следующая: нужна замена коронки на импланте, исходная коронка с винтовой фиксацией.После раскрытия шахты и попытки открутить коронку стало понятно, что внутренние грани винта "стерлись", винт внутри абсолютно гладкий...Как можно открутить коронку? Возможно кто-либо сталкивался с подобной ситуацией.Имплант Альфа-био. Изменено 22 декабря, 2016 пользователем Liliya_imp Ссылка на комментарий
DmitrySH Опубликовано 22 декабря, 2016 Поделиться Опубликовано 22 декабря, 2016 У/з под контролем микроскопа помогает выкрутить. Поспрашивайте эндодонтистов в вашем городе 1 Ссылка на комментарий
Beznika Опубликовано 22 декабря, 2016 Поделиться Опубликовано 22 декабря, 2016 Алмаз цилиндр без воды ... все высверлить Ссылка на комментарий
anvladd Опубликовано 22 декабря, 2016 Поделиться Опубликовано 22 декабря, 2016 Делал насечки под прямую отвертку и выкручивал, у меня верхний был плюс доступ хороший Ссылка на комментарий
алекс 100 Опубликовано 22 декабря, 2016 Поделиться Опубликовано 22 декабря, 2016 Доступ хороший,коронка на замену-разрезать все и абатмент тоже,будет доступ к винту. Ссылка на комментарий
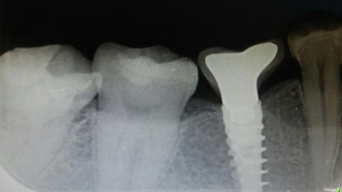
suballex Опубликовано 23 декабря, 2016 Поделиться Опубликовано 23 декабря, 2016 Доступ хороший,коронка на замену-разрезать все и абатмент тоже,будет доступ к винту.Поподробнее. Насколько понял я, из снимка - абатмет приливаемый. Как его разрезать, чтобы был доступ к винту? Ссылка на комментарий
zubovolok Опубликовано 23 декабря, 2016 Поделиться Опубликовано 23 декабря, 2016 Алмаз цилиндр без воды ... все высверлитьА вы так делали? Перегрева не будет? Как пациент переносит? Ссылка на комментарий
Liliya_imp Опубликовано 23 декабря, 2016 Автор Поделиться Опубликовано 23 декабря, 2016 Алмаз цилиндр без воды ... все высверлитьКак-то не хочется пилить толстенный абатмент((( ИМХО Ссылка на комментарий
Liliya_imp Опубликовано 23 декабря, 2016 Автор Поделиться Опубликовано 23 декабря, 2016 У/з под контролем микроскопа помогает выкрутить. Поспрашивайте эндодонтистов в вашем городеИспользовать УЗ для эндо или просто скаллер? Ссылка на комментарий
Sampson Опубликовано 23 декабря, 2016 Поделиться Опубликовано 23 декабря, 2016 Микроскоп и только так. Самостоятельно не лезте. Ссылка на комментарий
DmitrySH Опубликовано 23 декабря, 2016 Поделиться Опубликовано 23 декабря, 2016 Использовать УЗ для эндо или просто скаллер? насадка p3 woodpecker такого типа Микроскоп и только так. Самостоятельно не лезте.да, без оптики поблемно Ссылка на комментарий
gum Опубликовано 26 декабря, 2016 Поделиться Опубликовано 26 декабря, 2016 И без оптики справитесь, если зрение хорошее. Аккуратно ультразвуком внутри головки против часовой и потом сделать насечку (как уже писали) и можно самой тонкой и узкой гладилкой выкрутить. Или попробуйте отвертки от других систем (если есть). Но сначала отвертками пробовать, а потом ультразвук и насечки Ссылка на комментарий
Рекомендуемые сообщения
Для публикации сообщений создайте учётную запись или авторизуйтесь
Вы должны быть пользователем, чтобы оставить комментарий
Создать аккаунт
Зарегистрируйте новый аккаунт в нашем сообществе. Это очень просто!
Регистрация нового пользователяВойти
Уже есть аккаунт? Войти в систему.
Войти