sus Опубликовано 13 декабря, 2016 Поделиться Опубликовано 13 декабря, 2016 (изменено) Здравствуйте, уважаемые специалисты! Пожалуйста, помогите принять решение, хирургия назначена на пятницу. Возраст - 32. Имеется импактированная семерка, которую сейчас хотим удалить. Раньше надеялись, что она спустится сама после удаления восьмерки в 2012 (она еще есть на первом, старом, фото), плюс поможем брекетами. За это время она сама так и не спустилась, так что ортодонт и хирург предположили анкилоз и отсутствие возможности вытянуть ее, даже сломав "мостики" и потянув брекетами. Единственная причина удаления - это торчащий над слизистой кусочек коронки, и, соответственно, в перспективе риск инфицирования через карманы вокруг. По томограмме, наверное, видно, что сам зуб пока вроде здоров (а торчит он так уже лет двадцать). Только что сделали томограмму, вот такие результаты - однозначно анкилоз, luxation (разрушение "мостиков") сделать не получится, очень большой контакт. Хирург говорит, что для него опция номер один - это полное удаление, но есть шанс перфорации синуса и необходимости повторной операции, если "подлатывание" в процессе удаления не поможет (он хотел что-то положить туда, забыла, коллаген, что ли). Второй вариант - коронэктомия. Мне по прочтении ряда статей показалось, что это как раз самый популярный и безопасный способ решения в такой ситуации. Но хирург уверяет, что оставшиеся корни вполне могут инфицироваться, а через них - и синус, и он бы предпочел делать так только в ситуации невозможности удалить зуб целиком (если он слишком крепко "прирос"). Но можно и сделать так, если я хочу, поскольку это более консервативно. Итак, что мне выбрать? Или при таких рисках вообще не трогать его? Праздники впереди, опять же - я рассчитывала на менее травматичное удаление коронки или luxation.И бонусом академический вопрос, неужели зуб мог так прирасти за четыре года (если хирург, подергав его после "вскрывания" при удалении восьмерки в 2012, утверждал тогда, что у зуба нормальная мобильность). Мне казалось, что "прирастание" должно происходить на более ранних стадиях развития.Очень хотела бы все понять как можно раньше, до встречи с доктором. Спасибо вам большое за внимание! Изменено 13 декабря, 2016 пользователем sus Ссылка на комментарий
___49___ Опубликовано 14 декабря, 2016 Поделиться Опубликовано 14 декабря, 2016 Здравствуйте. я бы удалил полностью, и пока в области образующегося кармана все чисто, нет воспаления - шанс хорошего послеоперационного течения (не смотря на очень высокую вероятность перфорации) велик. Ссылка на комментарий
red_butler Опубликовано 14 декабря, 2016 Поделиться Опубликовано 14 декабря, 2016 Я не понял, была попытка ортодонтического выдвижения, или просто ждали самостоятельного прорезывания? Если удалять то полностью. 1 Ссылка на комментарий
Nazim_NV86 Опубликовано 14 декабря, 2016 Поделиться Опубликовано 14 декабря, 2016 Я за удаление. Закрыть такую перфорацию при импактости семёрки, чистом синусе и отстутствии у вас привычки курения почти 100% в одну операцию. Вип-ст в помощь. 2 Ссылка на комментарий
sus Опубликовано 14 декабря, 2016 Автор Поделиться Опубликовано 14 декабря, 2016 (изменено) Нет, этот зуб не выдвигали. В 2012 мне удалили эту восьмерку и заодно вскрыли фолликул, по выражению хирурга, над этой семеркой. Хирург попробовал пошатать, сказал, мобильность нормальная, и зашил. Ортодонт обещал после курса Invisalign надеть на меня брекеты, чтобы получить идеальный результат, а также прицепить к ним эту семерку. Собственно. поэтому я его выбрала, другие два ортодонта утверждали, что эта семерка тоже под удаление. Год назад, когда речь защла о переходе на брекеты, ортодонт сказал: "Да она совсем не опускается, значит, анкилоз. Если я ее потащу брекет-системой, я утоплю шестерку, а семерку все равно не вытяну. Так что этого делать ни в коем случае не будем. Переместить ее с блоком кости тоже не получится, вотому что мы перфорируем синус. Если мы сделаем luxation, то он тут же прирастет обратно. Если помле освобождения тут же его переместить в желаемую позицию и закрепить там брекетами, он не прирастет (слишком большое расстояние). Можно сделать коронэктомию, как хирург решит". Потом он посоветовался с опытным университетским хирургом, провел конференц-звонок с моим хирургом и основным дантистом, и они решили, что нужно удалять, никакие методы ортодонтии тут не имеет смысла применять. А в итоге оказалось после вчерашней встречи и томограммы, что все равно удалять целиком и перфорировать синус, чего я надеялась избежать. Вы согласны, что с блоком двигать в такой ситуации нереально? Будет яма на дне синуса? Моя-то голубая мечта с детства - поставить уже этот зуб на его законное место (хотя полезного контакта он даст всего порядка 2 мм). Ну, это мой бзик - лечиться-чиниться Изменено 14 декабря, 2016 пользователем sus Ссылка на комментарий
sus Опубликовано 14 декабря, 2016 Автор Поделиться Опубликовано 14 декабря, 2016 Спасибо вам большое за ответы! Мы с хирургом решили перенести решительные действия на следующий год, ибо по опыту сложных удалений восьмерок, после них у меня через две недели лицо покрывается синяками, и сейчас явно не лучший момент, антибиотики курсом, опять же, понадобятся. Я спрошу, делает ли он VIP CT, спасибо. Бедняга уже привык, что встречи со мной превращаются в дискуссии о статьях и методах Я не курю. Гигиенист сказала, что десна вогруг торчащего края семерки выглядит воспаленной и карманы явно толком не прочищаются (и потому надо бы с ней разобраться), но там нет такого воспаления, которое я физически ощущала бы, даже если надавлю пальцем, такое же ощущение, как везде. Это может увеличить риск инфицирования? Ссылка на комментарий
___49___ Опубликовано 15 декабря, 2016 Поделиться Опубликовано 15 декабря, 2016 (изменено) характер и объем воспаление очно определит врач перед вмешательством ,вам скорее всего будет назначен курс антибиотиков до операции. Изменено 15 декабря, 2016 пользователем ___49___ Ссылка на комментарий
sus Опубликовано 15 декабря, 2016 Автор Поделиться Опубликовано 15 декабря, 2016 Хирург мне ничего не сказал о воспалении при осмотре. Курс АБ со дня удаления он в любом случае собирался назначить, чтобы подстраховать синус. Ссылка на комментарий
Bier Опубликовано 17 декабря, 2016 Поделиться Опубликовано 17 декабря, 2016 во первых перфорация синуса не помеха для хирургического выдвижения зуба, грамотный ортогнатический хирург способен на это. В Новосибе не знаю, но в стране есть такие специалисты.Во вторых досужие рассуждения не говорят, что зуб анкилозирован, скорее всего это не так. Можно применить стабилизацию опорных зубов миниимплантатами, тогда опасаться можно не опасаться что они "поедут". Если зуб можно раскачать - это 100% не анкилоз и ничего назад не прирастет. Если не прибегать к ортогнатической хирургии, то мой план лечения такой: стабилизация 26 миниимплантатом, люксация 27з, ортодонтическая нагрузка. Вангую, что зуб выйдет за 3-4 мес. И только, если люксация зуба невозможна можно говорить об удалении или коронэктомии. 1 Ссылка на комментарий
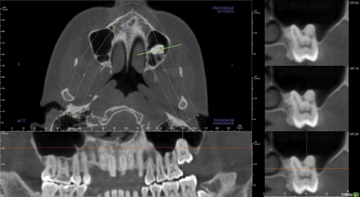
sus Опубликовано 20 декабря, 2016 Автор Поделиться Опубликовано 20 декабря, 2016 (изменено) Спасибо большое, Bier! Хирургическое выдвижение - это вместе с блоком кости? Зуб можно было расшатать четыре года назад. Сейчас - непонятно, над десной не так много его торчит, чтоб было за что шатать. Хирург по снимку заключил, что анкилозирован, кость очень плотно прилегает, не видно промежутка для связки. Он даже опасается, что весь целиком не сможет вытянуть (аналогия камня в цементе). Вы сможете разглядеть получше, если я загружу всю томограмму? А где имплантат будет стоять, между 26 и 27, жесткая сцепка с 26? А толкать 27 от мининимплантата не получится, как альтернативный вариант? Я не в Новосибирске, все лечение с 2012 - в США. С ортодотом у меня оплаченный контракт, и ему, в принципе, все равно, к чему цеплять брекеты, а имплантаты-люксацию мне платно может сделать хирург (это независимые специалисты, но, когда надо, общаются). Хирург - челюcтно-лицевой, oral & maxillofacial. Изменено 20 декабря, 2016 пользователем sus Ссылка на комментарий
Bier Опубликовано 20 декабря, 2016 Поделиться Опубликовано 20 декабря, 2016 Хирургическое выдвижение - да, вместе с блоком кости. Дело в том, что на КТ периодонтальная щель может не попадать в срез. Т.е. то, что ее не рассмотреть на КТ не является убедительным доказательством, только отсутствие люксации. Для люксации можно немножко откинуть десневой лоскут между 26 и 27 и вставить элеватор между ними.Место для миниимплантата есть только между 25 и 26 зубами. миниимплантат и 26 зуб сцепляются жестко, и дается тяга на 27. Ссылка на комментарий
red_butler Опубликовано 20 декабря, 2016 Поделиться Опубликовано 20 декабря, 2016 я бы предложил для начала попытаться выдвинуть зуб ортодонтически. Тем более ортодонт контрактный. 1 Ссылка на комментарий
red_butler Опубликовано 27 декабря, 2016 Поделиться Опубликовано 27 декабря, 2016 Прогресс есть? Ссылка на комментарий
sus Опубликовано 6 января, 2017 Автор Поделиться Опубликовано 6 января, 2017 Здравствуйте! Следующий визит к ортодонту был запланирован на 17 января. Тогда я и хотела рассказать ему о хитром плане И, будете смеяться, но мне кажется (наощупь и по виду), что зуб то ли подвылез немного, то ли приоткрылся. Накануне НГ я простыла, явно в синусе болталась жидкость, и у меня несколько дней было ощущение давления в районе то ли 26, то ли 27, как будто проходящее из синуса в зуб. Когда шла по твердому, каждый удар пятки отдавался в том районе. Не резкая боль, а как если надавить на синяк. Это длилось пару дней после выздоровления, потом прошло совершенно, и языком я почувствовала, что открылся один новый микробугорок (не один из больших основных, а как бы зазубринка на нем, пара миллиметров), плюс чесалась десна рядом и немного натерлась щека в этом месте. Дополнительный фактор - это то, что события происходили во время поездки на высокогорье, там у меня организм иногда откидывает фортели. Как вы думаете, однозначно нужно фиксировать 26, или, возможно, 27 легко пойдет? Хирург сможет это понять? Еще ортодонт утверждал, что ему не хватает открытого места на коронке, чтобы крепить систему. Как я ни корячилась с зеркалами и телефоном, сфотографировать не смогла, так что повеселю вас рисунком. Точки - это апексы. Бугорки не открыты до конца, в ширину треугольник почти достигает ширины коронки. Смещен буккально, ну и край коронки по высоте на уровне шейки 26. Спасибо вам большое! И с праздниками! Крепкого вам здоровья, доктора! Ссылка на комментарий
sus Опубликовано 2 июня, 2017 Автор Поделиться Опубликовано 2 июня, 2017 (изменено) Итак, апдейт и очередной вопрос Наученная вами, я уговорила своего ортодонта делать выдвижение (после лаксации, с фиксацией temporary anchorage device). Он, посоветовавшись с хирургом, предложил на мой выбор два варианта (рисунок его): 1) верхний - микроимплант над шестеркой, на нее метеллический ободок, из него - крюк, на крюк - цепочка к семерке. Тянем строго вниз, круглосуточно, много возни с чисткой. 2) нижний - микроимплант под семеркой, тянем к нему резинкой вниз и назад. Резинку надеваем, по крайней мере для начала, только на ночь. Я пока склоняюсь к первому варианту, потому что опасаюсь за сустав (все-таки асимметричное натяжение между челюстями). А вы что посоветуете? Есть ли опасность для сустава? Спасибо большое! Изменено 2 июня, 2017 пользователем sus Ссылка на комментарий
red_butler Опубликовано 2 июня, 2017 Поделиться Опубликовано 2 июня, 2017 Это все, что сделано за пол года? 2 Ссылка на комментарий
Bier Опубликовано 2 июня, 2017 Поделиться Опубликовано 2 июня, 2017 да любой вариант нормальный. Мне тоже первый больше по душе, но просто потому, что вам надевать ничего не нужно, просто ершиком чистить каждый раз после еды. Ссылка на комментарий
sus Опубликовано 2 июня, 2017 Автор Поделиться Опубликовано 2 июня, 2017 red_butler, я все это время хожу в Invisalign, регулярно получая новые. Вообще, я в Invisalign c 2012 года. Bier, спасибо! Ссылка на комментарий
sus Опубликовано 21 июня, 2018 Автор Поделиться Опубликовано 21 июня, 2018 (изменено) И снова здравствуйте, дорогие доктора. Итак, мы сделали все по плану, описанному выше. Мне поставили TAD на трех шурупах (между 27 и 26), к нему примотали 26, на 26 надели пояс с торчащей проволокой, к ней примотали резинкой крепление на 27 (после его лаксации). Во время лаксации я слышала/чувствовала немного хруста, но было ощущение, что зуб и челюсть составляют единое целое Под нагрузкой я проходила с января по май. В результате 27 не сдвинулся с места, 26, несморя на защиту, повернулся (оно и понятно, такие уж там углы воздействия) - см. фото, плохое, но, наверное, сейчас это не очень важно. Теперь и хурург, и ортодонт уверены, что ничего сделать нельзя, зуб анкилозный. Ортодонт говорит, что в его практике такие зубы никогда не двигались. Хирург сказал, что я, конечно, могу поискать другого спеца, который, возможно, сможет выдвигать зуб с блоком кости, а он не может туда подступиться (с одной стороны, для доступа с окклюзионной стороны нужен открытый рот, с другой, при опущенной челюсти сустав блокирует область доступа (у меня вообще очень маленькие челюсти и рот). Я предложила лаксировать еще раз, более агрессивно. Но он не верит, что еще одна лаксация поможет, зуб, мол, и должен ощущаться как единое целое с челюстью, иначе это уже называется удаление, и поcле такого активного воздействия зуб просто выпадет, если его не зафиксировать в прежнем положении, и тогда из-за травмы он тут же намертво прирастет. Так что у меня сейчас варианты 1) со всей этой конструкцией обратиться к хирургу в Новосибирске (я все равно туда еду), чтобы мне или "перелаксировали", или выдвинули хирургически 2) все снять и удалить зуб а) целиком б) коронэктомией 3) все снять и оставить зуб в покое, следя за его состоянием (к дантисту хожу по графику, рентген тоже регулярно по стандарту). Что посоветуете? Неужели нет надежды ( Спасибо большое! Изменено 21 июня, 2018 пользователем sus Ссылка на комментарий
Bier Опубликовано 11 июля, 2018 Поделиться Опубликовано 11 июля, 2018 Если зуб не выходит и анкилозирован, то остается 2 пути:1. удаление и имплантация2. Ортогнатическая операция с выдвижением зуба Для определения возможности такой операции нужно уже показываться докторам очно, чтобы они оценили степень открывания рта, доступ и тп. Обычные стоматологи-хирурги такие операции не выполняют. Вам нужен хирург, выполняющий ортогнатические операции. Их итак пара десятков на всю страну, а хороших совсем мало. Ссылка на комментарий
sus Опубликовано 24 июля, 2018 Автор Поделиться Опубликовано 24 июля, 2018 (изменено) Спасибо большое за ответ, Bier!! Мне сейчас очень-очень актуально. Приехала в Россию, тут мне ортодонт сказала, что, по ее мнению, зуб мне тянули в неправильную сторону. Она предлагает ставить микроимплант в верхнюю или нижнюю челюсть так, чтобы тянуть зуб под углом "назад" (фактически, в сагиттальном направлении). Мол, с теми углами, что у меня сделали, скорее поворачивается шестерка, чем вытягивается семерка, и вообще семерка в шестерку упирается. Ну а потом уже, когда вылезет, ставить его в правильную позицию Как думаете, это разумно? (При этом в клинике не знают, что такое luxation и никогда ее не используют). Американские доктора считают, что уже точно анкилоз, здесь - не уверены. Изменено 24 июля, 2018 пользователем sus Ссылка на комментарий
Bier Опубликовано 24 июля, 2018 Поделиться Опубликовано 24 июля, 2018 Спасибо большое за ответ, Bier!! Мне сейчас очень-очень актуально. Приехала в Россию, тут мне ортодонт сказала, что, по ее мнению, зуб мне тянули в неправильную сторону. Она предлагает ставить микроимплант в верхнюю или нижнюю челюсть так, чтобы тянуть зуб под углом "назад" (фактически, в сагиттальном направлении). Мол, с теми углами, что у меня сделали, скорее поворачивается шестерка, чем вытягивается семерка, и вообще семерка в шестерку упирается. Ну а потом уже, когда вылезет, ставить его в правильную позицию Как думаете, это разумно? (При этом в клинике не знают, что такое luxation и никогда ее не используют). Американские доктора считают, что уже точно анкилоз, здесь - не уверены.я тоже не уверен, что есть анкилоз. Но если был неправильный вектор вытяжения, то понятно, что зуб не выдвинулся никуда. Можно вообще межчелюстную тягу поставить, к миниимплантату на нижней челюсти. На время еды и активных разговоров будете снимать. Ссылка на комментарий
sus Опубликовано 24 июля, 2018 Автор Поделиться Опубликовано 24 июля, 2018 (изменено) Американский ортодонт утверждает, что неанкилозный зуб вообще сам должен пойти даже под минимальной нагрузкой, она - только стимул. И даже при неоптимальном векторе хоть чуть-чуть подвижка была бы. Ох, пойду теперь с хирургом советоваться и КТ делать. На нижней челюсти у меня по-прежнему лежачая восьмерка, которую удалять очень рискованно. Расспрошу, реально ли в те края поставить микроимплант. Изменено 24 июля, 2018 пользователем sus Ссылка на комментарий
Рекомендуемые сообщения
Для публикации сообщений создайте учётную запись или авторизуйтесь
Вы должны быть пользователем, чтобы оставить комментарий
Создать аккаунт
Зарегистрируйте новый аккаунт в нашем сообществе. Это очень просто!
Регистрация нового пользователяВойти
Уже есть аккаунт? Войти в систему.
Войти