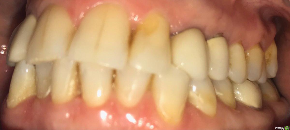
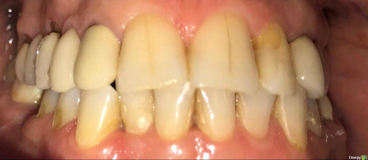
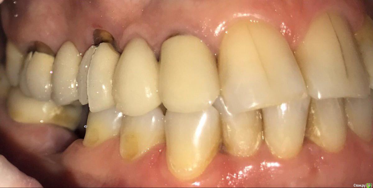
ksenistom Опубликовано 13 декабря, 2016 Поделиться Опубликовано 13 декабря, 2016 Пациентка И.,55 лет,хочет голливуд на обеих челюстях,в виде циркониевых коронок,справа сверху снят мостовидный протез,где установлены 2импл. неделю назад и удалён ретинированный клык в обл 13зуба(фото панорамы нет),поэтому эту сторону пока не трогаем,в области 46 планируется имплантация, 36зуб-вкладка+коронка,в области скученных нижних зубов сделан воксап.Вопрос в том,с чего начать?! Ссылка на комментарий
doktor vv Опубликовано 13 декабря, 2016 Поделиться Опубликовано 13 декабря, 2016 Как так?!Импланты уже установлены а плана лечения нет?!Здесь ортодонтическое лечение как бы требуется Ссылка на комментарий
ksenistom Опубликовано 13 декабря, 2016 Автор Поделиться Опубликовано 13 декабря, 2016 План есть,я хочу начать слевой стороны,обточить верх и низ,навстречу друг другу,потом фронт и в последнюю очередь правую сторону,все под временные,оттиски,примерка каркасов,готовой работы и фиксация.От ортодонта отказалась из-за длительного лечения Ссылка на комментарий
chervoncevdaniil Опубликовано 13 декабря, 2016 Поделиться Опубликовано 13 декабря, 2016 Вы вокс ап заказали только отдельно нижних резцов? Ссылка на комментарий
krokomot Опубликовано 13 декабря, 2016 Поделиться Опубликовано 13 декабря, 2016 нужна понорама, что с высотой окклюзии? Снимите оттиски и регистратор положения верхней челюсти с лицевой дугой, сделайте wаx-up на все! зубы, проведите мокап примерочный и на ношение временный, пластмассовый или композитный, на времянках отработайте окклюзию затем можно гворить о постоянных конструкциях. Ссылка на комментарий
art700 Опубликовано 13 декабря, 2016 Поделиться Опубликовано 13 декабря, 2016 Определение ЦС, вакс ап, времяшки и тд. Почему циркон? Ссылка на комментарий
suballex Опубликовано 14 декабря, 2016 Поделиться Опубликовано 14 декабря, 2016 Начните с плана лечения. Знаете выражение: А можно собрать машину без плана сборки? Можно. Но может получиться стиральная..Диагностические слепки. Привлечь ортодонта. Решение по тому, в какой позиции реабилитировать - после исследования ВНЧС. Ссылка на комментарий
Dman Опубликовано 20 декабря, 2016 Поделиться Опубликовано 20 декабря, 2016 начните с 100% предоплаты 2 Ссылка на комментарий
Рекомендуемые сообщения
Для публикации сообщений создайте учётную запись или авторизуйтесь
Вы должны быть пользователем, чтобы оставить комментарий
Создать аккаунт
Зарегистрируйте новый аккаунт в нашем сообществе. Это очень просто!
Регистрация нового пользователяВойти
Уже есть аккаунт? Войти в систему.
Войти