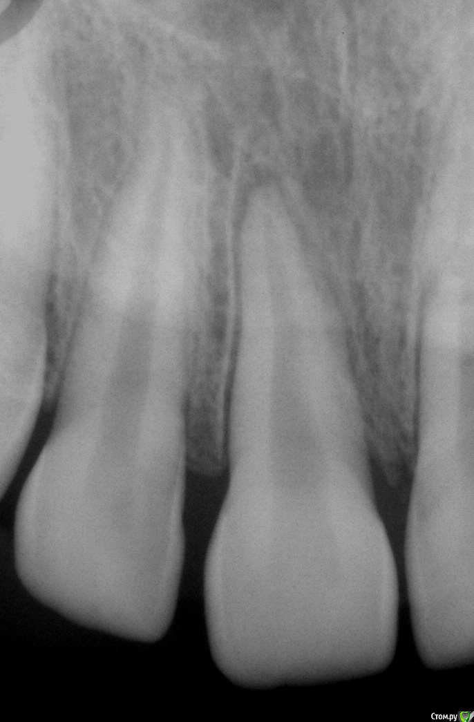
simpsons Опубликовано 13 декабря, 2016 Поделиться Опубликовано 13 декабря, 2016 Пациент пришел после ЧЛО. Катался на велосипеде. 11 лет. Боль при прикосновении к забам,подвижность 11,21 зубов 3 степени. Подскажите ,как правильно поступить в данной ситуации? Ссылка на комментарий
crown Опубликовано 13 декабря, 2016 Поделиться Опубликовано 13 декабря, 2016 У меня два варианта 1) шинировать и наблюдать 2) удалить зуб, удалить фрагмент корня, эндодотическое лечение, реимплантация, шина, наблюдение 1 Ссылка на комментарий
vse32 Опубликовано 14 декабря, 2016 Поделиться Опубликовано 14 декабря, 2016 http://www.iadt-dentaltrauma.org/IADT%20guidelines%20part%201%20-%20russian.pdf http://s017.radikal.ru/i426/1612/56/512ae92c403e.jpg Расшифровка символов в наблюдениях.С++ - клиническая и рентгенологическая проверкаS+ - снятие шиныS++ - снятие шины при переломе коронковой трети корня* - в случае сочетанной травмы – перелома коронки и вывиха зуба следует выполнятьнаблюдение по рекоммендациям вывихов зубов (Таблица 2)** - В случаях возникновения наружной воспалительной резорбции следует немедленнопровести эндодонтическое лечение с применением гидроксида кальция. 2 Ссылка на комментарий
Давлетшин Опубликовано 15 декабря, 2016 Поделиться Опубликовано 15 декабря, 2016 (изменено) Пациент пришел после ЧЛО. Катался на велосипеде. 11 лет. Простите как давно была травма? до прихода к вам. Просто катался на велосипеде 13 декабря? Пришел после ЧЛО. он там долго находился?Если летом была травма а попал к вам сейчас то прогноз очень неблагоприятный. от слова совсем.Если сутки двое при данных объективных условиях и данной R-грамме, я в первую очередь старался бы купировать воспаление. Как? не претендую на первую инстанцию.1) правильное эндо обоих2) в канале оставил бы Пульпосептин (Греназоль)3) под слизистую линкомицин 30%-1,0+лидокаин 2%-1,0 №5 каждый день №1 (тут может быть дисскуссия об антинаучном подходе, но я так делал и результаты радовали)4) шинирование, само собой, НО не забыть о репозиции отломков, исключении из прикуса ( в нашем случае уменьшение периодонтальной щели)5) при благоприятном исходе, через 2-3 мес, пломбирование канала, удаление верхушки коря, по типу резекции. как мне думается в данном клиническом случае общая тактика лечения заболевания должна исходить не как от травмы, а как от острого травматического периодонтита.( можно и по другому обозвать, суть что после ортодонтов такое есть)у меня выработался момент шинирования в том, что после репозиции в качестве шин лигатур я исползовую композит жидкотекучий в межзубные промежутки, также не надо стесняться мобилизацию переделывать, на повторной R-графии, после шинирования. Изменено 15 декабря, 2016 пользователем Давлетшин Ссылка на комментарий
Давлетшин Опубликовано 15 декабря, 2016 Поделиться Опубликовано 15 декабря, 2016 Лично мне эта табличка не очень нравиться, которую разместили здесь и еще в закрытом разделе. Простите какая то она СЫРАЯ что ли, как будто делал студент на реферат. Я провожу аналогию с таблицей длинный каналов зубов. Ну уж извините, слишком много вопросов к ней. Хотя составляла "Международная ассоциация травмы зубов ", или здесь вопрос о методике преподавания загранично-табличный. Хотя почитать интересно всю, даже распечатаю и сохраню исходник. А может быть здесь трудности перевода. Какие вопросы к таблице? может и я чего не знаю?тест на витальность ............ свидетельствует о временном или постоянном повреждении сосудисто-нервного пучка ТАК все таки сусудисто-нервный пучок восстанавливается?признаки сращения между отломками ТАК корень может сраститься? сраститься с чем между отломками корня иль с альвеолярным отростком?нет временных данных да просто много вопросов просто надо вдумчиво почитать.в плане травм мне пока по старинке поближе Приживление при реплантации зубов длится от 4 до 6 недель, что зависит от типа сращения. Существуют три типа сращения пересаженногозуба с альвеолой:1) при полном сохранении надкостницы альвеолы и остатков пе-риодонта на корнях зуба — периодонтальный;2) при частичном сохранении надкостницы альвеолы и остатков периодонта на корне зубо-периодонтально-фиброзный;3) при полном удалении надкостницы с альвеолы и периодонта с корня зуба — остеоидный. Но я ни в коем случае никому ничего не навязываю, это просто моё мнение. Ссылка на комментарий
vse32 Опубликовано 15 декабря, 2016 Поделиться Опубликовано 15 декабря, 2016 ТАК все таки сусудисто-нервный пучок восстанавливается? Может ТАК корень может сраститься? сраститься с чем между отломками корня иль с альвеолярным отростком? Может. Срастаются обломки с образованием костной мозоли. Еще добавлю от себя.Обязательное назначение антибиотиков сразу после травмы. В случае установления некроза сосудисто-нервного пучка - эндо только коронарного отломка. Апикальный не трогается вовсе. Не извлекается, не эндодотируется. Ничего. 1 Ссылка на комментарий
Давлетшин Опубликовано 3 февраля, 2017 Поделиться Опубликовано 3 февраля, 2017 (изменено) Значит и здесь не повезло. Удар никуда не обращался. Через 5-7 лет разболелось, Начали делать эндо, что то не то. На КТ , потом к хирургу.Думается ошибка пациента была, что не зашинировал, сразу. Изменено 3 февраля, 2017 пользователем Давлетшин Ссылка на комментарий
vse32 Опубликовано 3 февраля, 2017 Поделиться Опубликовано 3 февраля, 2017 Это же внутренняя теперь уже перфорирующая резорбция. Никак себя не проявляет. Только при присоединениии вторичной инфекции появляются симптомы. Шинирование или ещё чего от неё не спасёт. На ранних стадиях выявляется случайно. Ошибка пациента, что не обратился грамотному врачу, который бы назначил динамическое наблюдение и вылечил зуб на начальной стадии. Теперь только удаление. Ссылка на комментарий
Давлетшин Опубликовано 3 февраля, 2017 Поделиться Опубликовано 3 февраля, 2017 Удалил, года 1.5 назад. Но пациент честно обошел с проблемой кучу докторов. Ссылка на комментарий
Джима Опубликовано 3 февраля, 2017 Поделиться Опубликовано 3 февраля, 2017 Альберт, а подвижность была? Ссылка на комментарий
vse32 Опубликовано 3 февраля, 2017 Поделиться Опубликовано 3 февраля, 2017 Лет 8-10 назад у меня такой был. Подвижности ноль. Ортопед прислал на депульпирование. На тот момент - без симптоматики.Так и хранится в баночке, фотала только что на телефон.По-моему близнец вашему.http://s45.radikal.ru/i108/1702/ee/bd70f8a1f08f.jpg Ссылка на комментарий
Джима Опубликовано 4 февраля, 2017 Поделиться Опубликовано 4 февраля, 2017 просто, я почему спрашиваю... можно было попробовать сделать эндо до этой дыры с МТА, остальное не трогать... мне кажется, это могло сработать.. всё равно зуб на вынос - в порядке эксперимента почему бы нет? Ссылка на комментарий
vse32 Опубликовано 4 февраля, 2017 Поделиться Опубликовано 4 февраля, 2017 А мыть как? Там же гх весь периодонт сожжет. А мыть много, долго, кальций много и долго. Работа бесплатная - за эксперементы денег брать нельзя. Небюджетный эксперимент. Я почему свой зубец сфотографировала- что бы наглядно было видно, насколько велика разруха. Ссылка на комментарий
Джима Опубликовано 4 февраля, 2017 Поделиться Опубликовано 4 февраля, 2017 нуу, я балуюсь иногда бесплатными экспериментами - почему нет? в порядке хобби..мыть нормально, так же, как и любой зияющий апекс - обратным током, через эндоаспиратор, тот, который канюля на слюноотсосе))вреда пациенту бы не было, думаю. а получиться могло бы. Ссылка на комментарий
Давлетшин Опубликовано 6 февраля, 2017 Поделиться Опубликовано 6 февраля, 2017 (изменено) Здравствуйте, да была подвижность. болтался. Я до удаления настраивался на долгое извлечение верхушки, инструменты подбирал, пародонтологические крючки чтоб альеолярный отросток не сносить, а верхушка сама выпрыгнула. Честно хотел оставить, поэксперементировать, думаю даже был бы частичный успех, но пац пришел ко мне после многих которые разводили руками, и всю его веру похоронили. Что скрывать уж лучше удалить, почистить, засыпать лунку, а там и имплант. По фотке, да близнец, только отломана верхняя часть была. Пац сам сказал что что то откусил и что то где то сломалось Изменено 6 февраля, 2017 пользователем Давлетшин Ссылка на комментарий
Джима Опубликовано 6 февраля, 2017 Поделиться Опубликовано 6 февраля, 2017 ну раз болтался, знач, не судьба... Ссылка на комментарий
Тань Опубликовано 11 июня, 2018 Поделиться Опубликовано 11 июня, 2018 Сегодня пришёл парень 9,5лет с жалобами на подвижность коронки 11 зуба и боль при касании. В анамнезе в!!! апреле!!! упал с турника, была боль и небольшая подвижность. В клинике по месту жительства делали снимок, сказали динамически наблюдать, ничего не делали. Через некоторое время подвижность усилилась, пошли к знакомому ортопеду,он сказал что ничего кроме удаления, что ничего кроме съемного протезирования и в дальнейшем имплантации не сделать Пришёл к нам. Ортодонта нет, ортопеда нет, все выходные... Мне предстоит принять решение. Склоняюсь к удалению, но не решаюсь, знаю, что есть такая методика:оставить корень, чтобы не "ушла" кость. Хирург тоже не решился сразу удалять корень, пока удалил коронку, я провела эндо и временно каласепт под септопак оставила, вдруг можно сохранить хотя бы кость с корнем до имплантации. Жду ортодонта и ортопеда с выходных, а что вы, коллеги, на это скажете? Ссылка на комментарий
CRAZYDUCK Опубликовано 11 июня, 2018 Поделиться Опубликовано 11 июня, 2018 На последнем симпозиуме по травме - оставлять корень после эедодонтического лечения , с целью предупреждения атрофии альвеолярного отростка ВЧ. Ортодонт может выдвинуть немного корень , чтобы нарастить потом удобнее было . Можно попробовать коронковую часть прикрепить к корню.От родителей требуется серьезность в плане плановых осмотров . Что такое успех эндодонтии в данном случае ? Сколько простоит ? Сколько хватит сил организма - год ? Хорошо ! Два - тоже отлично . Лучше конечно до 21-22 лет ( индивидуально до созревания лицевого скелета). Родителям сразу сказать - корень будет удерживать кость - зуб все равно удалять . Эндо - как думаете делать , вопросы есть ? Ссылка на комментарий
Тань Опубликовано 11 июня, 2018 Поделиться Опубликовано 11 июня, 2018 На последнем симпозиуме по травме - оставлять корень после эедодонтического лечения , с целью предупреждения атрофии альвеолярного отростка ВЧ. Ортодонт может выдвинуть немного корень , чтобы нарастить потом удобнее было . Можно попробовать коронковую часть прикрепить к корню.От родителей требуется серьезность в плане плановых осмотров . Что такое успех эндодонтии в данном случае ? Сколько простоит ? Сколько хватит сил организма - год ? Хорошо ! Два - тоже отлично . Лучше конечно до 21-22 лет ( индивидуально до созревания лицевого скелета). Родителям сразу сказать - корень будет удерживать кость - зуб все равно удалять . Эндо - как думаете делать , вопросы есть ?Пока с гидроксидом кальция хочу повести, будет ли апексификация? Ссылка на комментарий
Дмитрий Л. Опубликовано 11 июня, 2018 Поделиться Опубликовано 11 июня, 2018 Всё верно. Если периодонтит пролечите, можно будет попробовать подтянуть корень и запротезировать. В дальнейшем. Ссылка на комментарий
CRAZYDUCK Опубликовано 11 июня, 2018 Поделиться Опубликовано 11 июня, 2018 Пока с гидроксидом кальция хочу повести, будет ли апексификация? время покажет . Лучше попробовать .Объяснить родителяи все возможные варианты ( осложнения и благоприятный исход), чтобы знали как действовать . Я лечила травму 1.1 спустя 8!!!!лет после травмы . Травма случилась в 8-9 летнем возрасте , спустя 8 лет - рубец от свищевогоизода и значительная резорбция корня , значительный очаг деструкции очаг костной ткани . Сейчас после года наблюдений все хорошо ( для этой ситуации) ребёнку сейчас 15 лет , а будущем планируем имплантацию после удаления ( стенки корня очень тонкие - не выдержат вкладку и коронку - треснут ) Ссылка на комментарий
crown Опубликовано 12 июня, 2018 Поделиться Опубликовано 12 июня, 2018 Пока с гидроксидом кальция хочу повести, будет ли апексификация?Судя по снимку там все сформировано, разве нет? Ссылка на комментарий
red_butler Опубликовано 12 июня, 2018 Поделиться Опубликовано 12 июня, 2018 На снимке удаленной коронковой части, похоже резорбция... Ссылка на комментарий
vse32 Опубликовано 12 июня, 2018 Поделиться Опубликовано 12 июня, 2018 На снимке удаленной коронковой части, похоже резорбция... Если только наружняя, типа цервикальной. На нее действительно немного похоже. А так может и цервикальный, круговой кариес. Ссылка на комментарий
Рекомендуемые сообщения
Для публикации сообщений создайте учётную запись или авторизуйтесь
Вы должны быть пользователем, чтобы оставить комментарий
Создать аккаунт
Зарегистрируйте новый аккаунт в нашем сообществе. Это очень просто!
Регистрация нового пользователяВойти
Уже есть аккаунт? Войти в систему.
Войти