Фотина Опубликовано 12 декабря, 2016 Поделиться Опубликовано 12 декабря, 2016 Здравствуйте!Скажите, пожалуйста, на Ваш взгляд, под пломбой 37 зуба кариес или прокладка? Два врача сомневаются. Лечили зуб более 10 лет назад, помню, что доктор сказала, что близко пульпа и она положила что-то лечебное. Снимать пломбу? Но ведь при этом можно повредить пульпу. Ссылка на комментарий
DmitrySH Опубликовано 12 декабря, 2016 Поделиться Опубликовано 12 декабря, 2016 Здравствуйте. Так снимок покажите нам Ссылка на комментарий
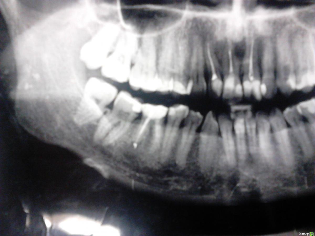
Фотина Опубликовано 12 декабря, 2016 Автор Поделиться Опубликовано 12 декабря, 2016 Почему-то не загружаются( Ссылка на комментарий
Фотина Опубликовано 12 декабря, 2016 Автор Поделиться Опубликовано 12 декабря, 2016 Появились) Ссылка на комментарий
red_butler Опубликовано 13 декабря, 2016 Поделиться Опубликовано 13 декабря, 2016 по этим срезам однозначно не ответить 2 Ссылка на комментарий
Фотина Опубликовано 13 декабря, 2016 Автор Поделиться Опубликовано 13 декабря, 2016 https://yadi.sk/d/pxAOg2f-33PmD4 Это все КТ. https://yadi.sk/d/-B6PgdUP33Pm4R Только одна папка. КТ свежее, а панорамный снимок 2015 г. С 46 тоже надо что-то делать. Перепломбировка каналов (более 2 лет назад) не принесла положительных результатов: киста осталась ((( Ссылка на комментарий
IvanK Опубликовано 13 декабря, 2016 Поделиться Опубликовано 13 декабря, 2016 Вы говорите про 37 зуб, а показываете 4ый сегмент покажите весь панорамный снимок, скриншот кт интересующей зоны кт качать не у всех есть желание / возможность скачивать Ссылка на комментарий
IvanK Опубликовано 13 декабря, 2016 Поделиться Опубликовано 13 декабря, 2016 исходя из картины, которую Вы показали:консультация ортодонтаповторное лечение 12,11,21, 46, с последующим протезированиемлечение 47... Ссылка на комментарий
Фотина Опубликовано 13 декабря, 2016 Автор Поделиться Опубликовано 13 декабря, 2016 Извините, речь конечно же о 47 и 46 зубах. Ссылка на комментарий
Фотина Опубликовано 13 декабря, 2016 Автор Поделиться Опубликовано 13 декабря, 2016 Спасибо за отклики! Тогда я в поисках хорошего врача. Ссылка на комментарий
IvanK Опубликовано 14 декабря, 2016 Поделиться Опубликовано 14 декабря, 2016 Тогда я в поисках хорошего врача. Форум в помощь http://forum.stom.ru/topic/4752-posovetujte-terapevta-v-gorode-n/page-39 Ссылка на комментарий
Рекомендуемые сообщения
Для публикации сообщений создайте учётную запись или авторизуйтесь
Вы должны быть пользователем, чтобы оставить комментарий
Создать аккаунт
Зарегистрируйте новый аккаунт в нашем сообществе. Это очень просто!
Регистрация нового пользователяВойти
Уже есть аккаунт? Войти в систему.
Войти