Afffinity Опубликовано 12 декабря, 2016 Поделиться Опубликовано 12 декабря, 2016 (изменено) Уважаемые коллеги. Посоветуйте тактику лечения данной пациентке Изменено 12 декабря, 2016 пользователем Afffinity Ссылка на комментарий
Yana guapa Опубликовано 12 декабря, 2016 Поделиться Опубликовано 12 декабря, 2016 Уважаемые коллеги. Посоветуйте тактику лечения данной пациентке ну Вы хотя бы свои мысли озвучили бы, расчет трг, характер асимметрии (в каком положении головки, что на КТ?) ... полностью Вам не распишут план, вопросы более конкретные попробуйте задать для коллег Ссылка на комментарий
krokomot Опубликовано 12 декабря, 2016 Поделиться Опубликовано 12 декабря, 2016 Вот именно в чем в принципе сомневаетесь? и на моделях надо указывать анатомический центр, тогда сразу понятнее станет чего и куда и на сколько. Ссылка на комментарий
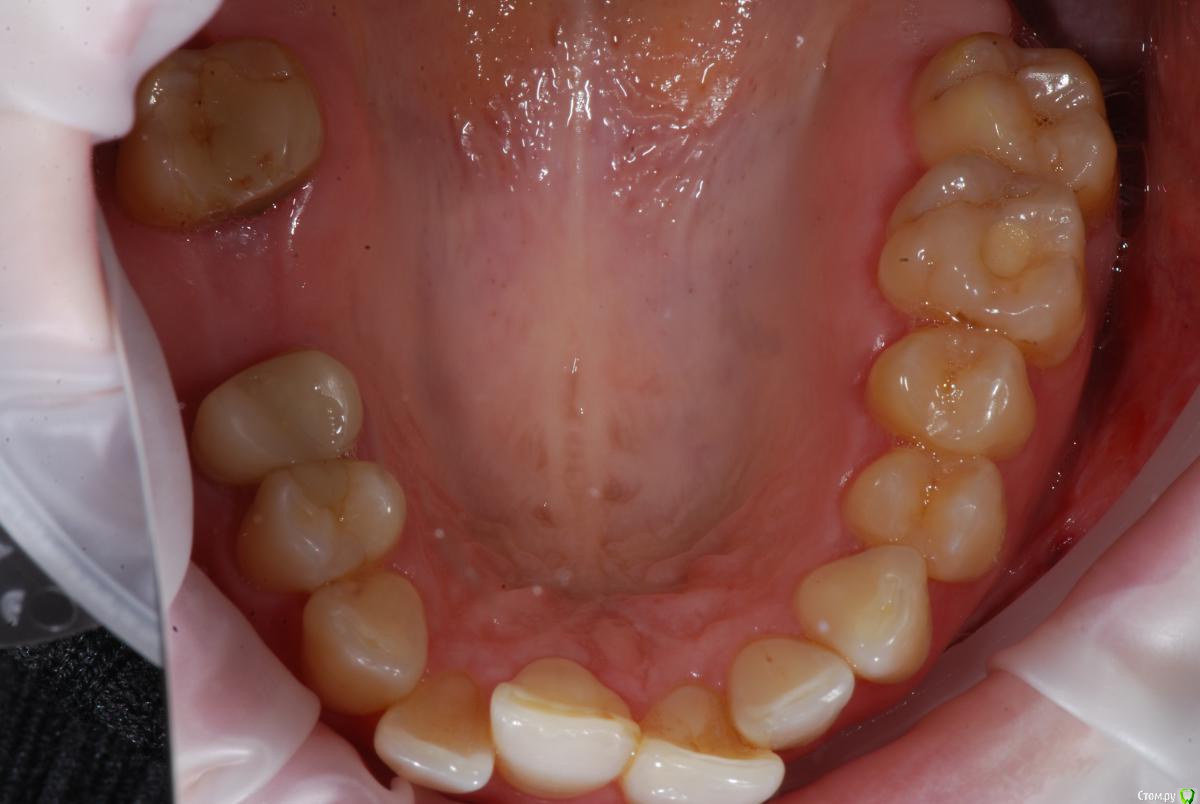
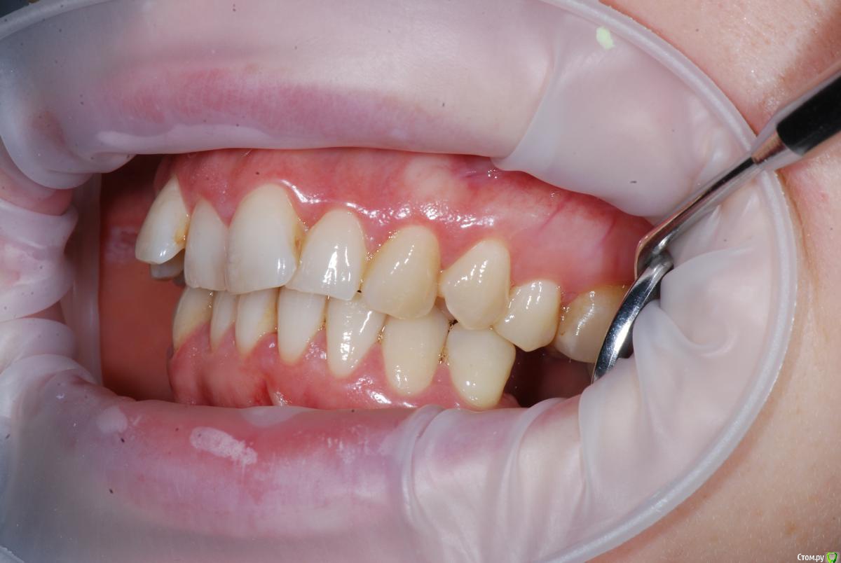
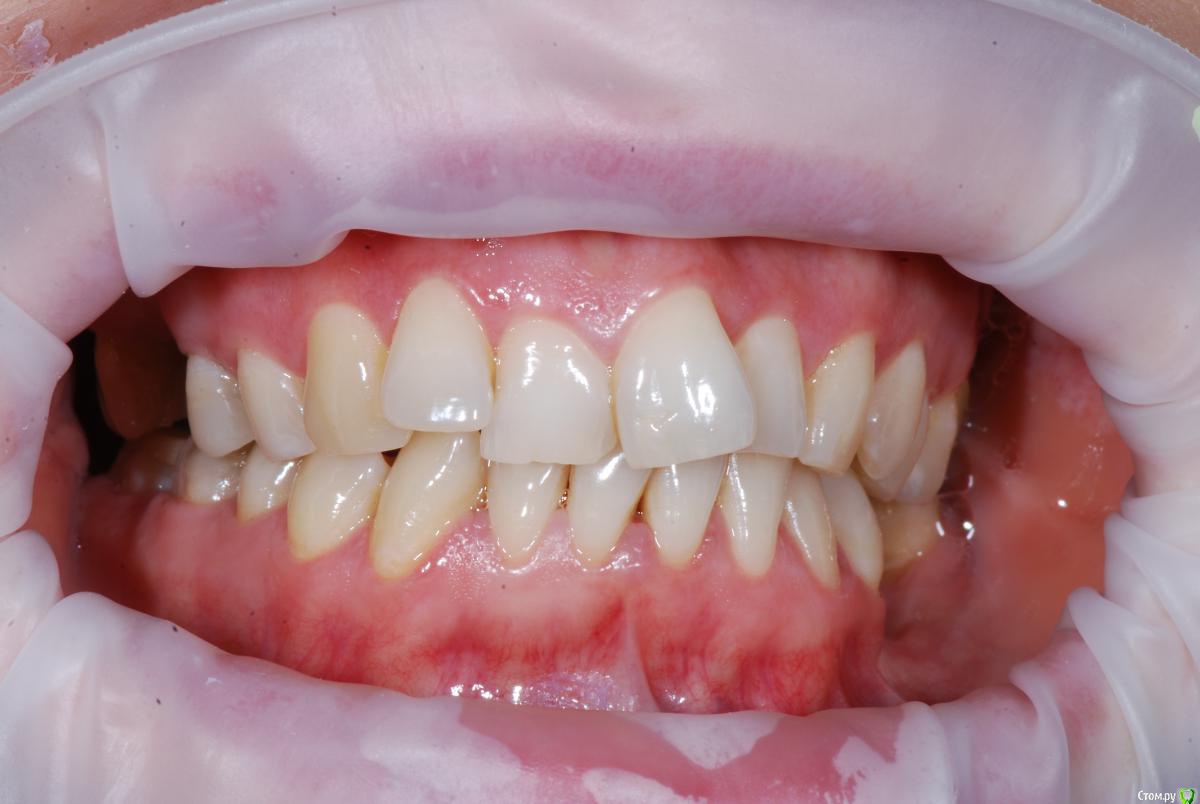
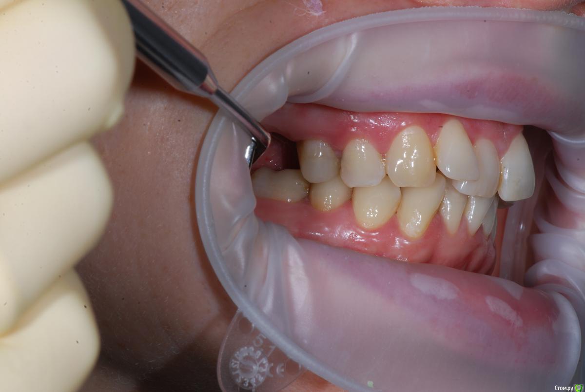
Afffinity Опубликовано 13 декабря, 2016 Автор Поделиться Опубликовано 13 декабря, 2016 Вот именно в чем в принципе сомневаетесь? и на моделях надо указывать анатомический центр, тогда сразу понятнее станет чего и куда и на сколько. ну Вы хотя бы свои мысли озвучили бы, расчет трг, характер асимметрии (в каком положении головки, что на КТ?) ... полностью Вам не распишут план, вопросы более конкретные попробуйте задать для коллегЕсли кратко то по расчетам ТРГ 2й скелетный класс, в цифрах завтра распишу. Прошу прощения что сразу не выложил. 2е, смущает смещение центральной линииПланируем установить систему Damon Q. Самый главный вопрос, возмножо ли в данном случае обойтись без удаления премоляров? Ссылка на комментарий
Maxfac Опубликовано 14 декабря, 2016 Поделиться Опубликовано 14 декабря, 2016 Послушаю. Ссылка на комментарий
Рекомендуемые сообщения
Для публикации сообщений создайте учётную запись или авторизуйтесь
Вы должны быть пользователем, чтобы оставить комментарий
Создать аккаунт
Зарегистрируйте новый аккаунт в нашем сообществе. Это очень просто!
Регистрация нового пользователяВойти
Уже есть аккаунт? Войти в систему.
Войти