Витторио Орлионе Опубликовано 12 декабря, 2016 Поделиться Опубликовано 12 декабря, 2016 Здравствуйте, уважаемые форумчане. Поделитесь пожалуйста своим мнением и опытом вот по такому случаю: пациентка 40 лет обратилась с жалобами на подвижность мостовидного протеза и хочет реабилитации. Импланты позволить себе не может и очень хочет несъёмную конструкцию. Пожалуй самый главный вопрос: что целесообразней: перелечить те из опорных зубов, которые ещё можно сохранить и покрыть их коронками или удалить все корешки и восстановить их уже в съёмном протезе? Возможно ли использовать эти корни для лучшей фиксации протеза во рту и как? Ссылка на комментарий
anvladd Опубликовано 12 декабря, 2016 Поделиться Опубликовано 12 декабря, 2016 Удалить корни и сделать сьемные верх,низ. 2 Ссылка на комментарий
StomV Опубликовано 12 декабря, 2016 Поделиться Опубликовано 12 декабря, 2016 Как с феррулом у корней обстоят дела? Думаю,что судя из фото и снимков,то не очень,по-этому наверное более целесообразно удалиние и съемный. Ссылка на комментарий
chervoncevdaniil Опубликовано 12 декабря, 2016 Поделиться Опубликовано 12 декабря, 2016 Да таких большинство,которые импланты не могут позволить,но очень хотят несъемную .Тут конечно съемники,но окклюзионная плоскость-печаль,там дистально внизу место то есть под что нибудь?или только верх обсуждаете? Ссылка на комментарий
4ebstom Опубликовано 12 декабря, 2016 Поделиться Опубликовано 12 декабря, 2016 16,17.26,27,28 настолько опустились,что и для гарнитурных тут места нет( Феномен никто не отменял) Ссылка на комментарий
Afffinity Опубликовано 12 декабря, 2016 Поделиться Опубликовано 12 декабря, 2016 ИМХО, верх - ПСПП. Ссылка на комментарий
Витторио Орлионе Опубликовано 13 декабря, 2016 Автор Поделиться Опубликовано 13 декабря, 2016 Даниил, речь о протезировании низа была лишь слегка задета, но вот теперь понимаю что он пожалуй первостепенен. Я понимаю, что лучше протезировать одновремненно обе челюсти, но ведь тогда на праздники пациентка останется без улыбки, так что планирую предложить начать всё таки с нижней челюсти. Подскажите а какой оптимальный срок после удаления зубов надо выдержать перед снятием оттисков? Ссылка на комментарий
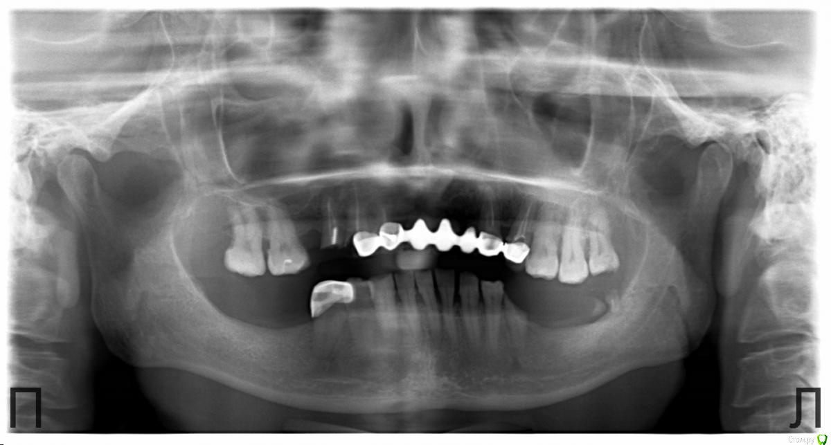
RuStom Опубликовано 13 декабря, 2016 Поделиться Опубликовано 13 декабря, 2016 На верхней челюсти 3 класс по Кеннеди. Ссылка на комментарий
chervoncevdaniil Опубликовано 13 декабря, 2016 Поделиться Опубликовано 13 декабря, 2016 Даниил, речь о протезировании низа была лишь слегка задета, но вот теперь понимаю что он пожалуй первостепенен. Я понимаю, что лучше протезировать одновремненно обе челюсти, но ведь тогда на праздники пациентка останется без улыбки, так что планирую предложить начать всё таки с нижней челюсти. Подскажите а какой оптимальный срок после удаления зубов надо выдержать перед снятием оттисков?Вообще в идеале месяц,но я жду недельки 2.5-3 и приглашаю на консультацию,потому что там могут быть всякие экзастозы и костные выступы после удаления,которые приедтся сгладить хирургически.Я к чему веду,если вы сделаете только верх,например в ее привычном прикусе,а потом решите делать низ,то нормальной окклюзии вы не получите из-за зубоальвеолярного удлинения,тут как минимум нужно боковые зубы укорачивать и одевать коронки,либо вообще вопрос о удалении стоит(по панораме сложно судить насколько они выдвинулись)и возможно вам прикус поднимать придется,а для этого нужно делать сразу обе челюсти Ссылка на комментарий
Витторио Орлионе Опубликовано 13 декабря, 2016 Автор Поделиться Опубликовано 13 декабря, 2016 а по каким объективным признакам можно оценить хватит ли имеющегося расстояния в боковом отделе для протеза? Или может быть тут уже надо отталкиваться от новой высоты прикуса и центрального соотношения? Ссылка на комментарий
chervoncevdaniil Опубликовано 13 декабря, 2016 Поделиться Опубликовано 13 декабря, 2016 (изменено) а по каким объективным признакам можно оценить хватит ли имеющегося расстояния в боковом отделе для протеза? Или может быть тут уже надо отталкиваться от новой высоты прикуса и центрального соотношения?Попросить пациента закрыть рот и посмотреть влезает ли у вас базис с зубами .В вашем кейсе я бы в любом случае делал бы в новой высоте,потому что даже если он туда влезет,окклюзионные плоскости будут очень кривыми,пациент не сможет комфортно жевать такими протезами,у вас верх явно не будет параллелен камперу Изменено 13 декабря, 2016 пользователем chervoncevdaniil Ссылка на комментарий
Витторио Орлионе Опубликовано 13 декабря, 2016 Автор Поделиться Опубликовано 13 декабря, 2016 ну теперь осталось мне её замотиворовать, а то пациентка турист, путешествует по клиникам Ссылка на комментарий
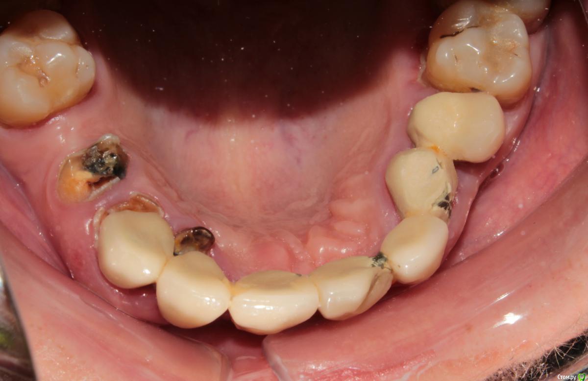
Витторио Орлионе Опубликовано 13 декабря, 2016 Автор Поделиться Опубликовано 13 декабря, 2016 Сегодня мостик сняли и вот что под ним было. А что касается верхних моляров, то 2.8 весь в кариесе, 2.7 уже с 1 степенью подвижности, и выдвинулись они там мм на 3 что в 1м, что во 2м сегменте.пожалуй стоит задуматься о пспп. Ссылка на комментарий
chervoncevdaniil Опубликовано 13 декабря, 2016 Поделиться Опубликовано 13 декабря, 2016 Да,делайте ПСПП в таком случае 1 Ссылка на комментарий
StomV Опубликовано 14 декабря, 2016 Поделиться Опубликовано 14 декабря, 2016 Сегодня мостик сняли и вот что под ним было. А что касается верхних моляров, то 2.8 весь в кариесе, 2.7 уже с 1 степенью подвижности, и выдвинулись они там мм на 3 что в 1м, что во 2м сегменте.пожалуй стоит задуматься о пспп. Вот вопрос о сохранении отпал сам собой. Ссылка на комментарий
Fibez Опубликовано 15 декабря, 2016 Поделиться Опубликовано 15 декабря, 2016 Мне тяжело убеждать пациентов, что ПСПП будет лучше-проще-дешевле в ситуации когда остаются только, например, стертые 21-22-23. Вроде и 3 коронки+ЧСПП делать глупо. И зубы оставить без коронок низзя. Только вчера сдал ЧСПП в привычном прикусе. Протез болтается. Пациент не хочет ни коронок на зубы ("Вы сами мне говорите, что их лучше удалять"), ни удалять эти самые зубы ("они же еще крепкие"). Ссылка на комментарий
Витторио Орлионе Опубликовано 20 декабря, 2016 Автор Поделиться Опубликовано 20 декабря, 2016 Вот и я пока не представляю как ей преподнести пспп, ведь вроде ещё много зубов, и стоят без подвижности и 1.8 и 1.7 и 2.6; да и сам пока не могу привыкнуть к мысли о том, что надо удалить здоровые зубы, да ещё и барышне в 40 лет. А пока занимаемся нижней челюстью, лечим кариес и корешки удаляем. Ссылка на комментарий
chervoncevdaniil Опубликовано 20 декабря, 2016 Поделиться Опубликовано 20 декабря, 2016 Я вам могу сказать,что видел пациентов,когда например, сохраняли эти два или 3 зуба,вешали на них кламера,в итоге протез все равно по небу отвисал и ни фиксации нормальной не получали,ни эстетики из-за крючков или через год два эти кламера окончательно зубы добивали и приходилось все равно удалять и делать ПСПП.Но и сразу удалять зубы и обещать супер клапан нужно тоже осторожно,потому что во-первых если не было съемных вообще и сразу вручить полный съемный,то для паца это будет шок,а второй момент,лично у меня был такой случай-сделали ПСПП(до этого не было съемного вообще)клапан супер,но у пациента рвотный рефлекс и как мы намучались с ним на поправках,т.к. к границе по линии А он не может привыкнуть,а срезать ее до приемлимых для него размеров-сразу клапан будет размыкаться,вот в таком случае оставшиеся зубы могли бы позволить решить этот момент.Так что очень внимательно и избирательно подходите,все объясните пациенту,возьмите подписи и очень тщательно проконролируйте эти нюансы Ссылка на комментарий
molchanoff Опубликовано 22 декабря, 2016 Поделиться Опубликовано 22 декабря, 2016 Вот и я пока не представляю как ей преподнести пспп, ведь вроде ещё много зубов, и стоят без подвижности и 1.8 и 1.7 и 2.6; да и сам пока не могу привыкнуть к мысли о том, что надо удалить здоровые зубы, да ещё и барышне в 40 лет. А пока занимаемся нижней челюстью, лечим кариес и корешки удаляем.не нужно брать на себя ответственность за то ,что в 40 лет она довела себя до такого состояния, не устраивает план лечения, до свидания. 1 Ссылка на комментарий
dok1 Опубликовано 22 декабря, 2016 Поделиться Опубликовано 22 декабря, 2016 С языка сняли Ссылка на комментарий
Витторио Орлионе Опубликовано 24 декабря, 2016 Автор Поделиться Опубликовано 24 декабря, 2016 очень убедительно Ссылка на комментарий
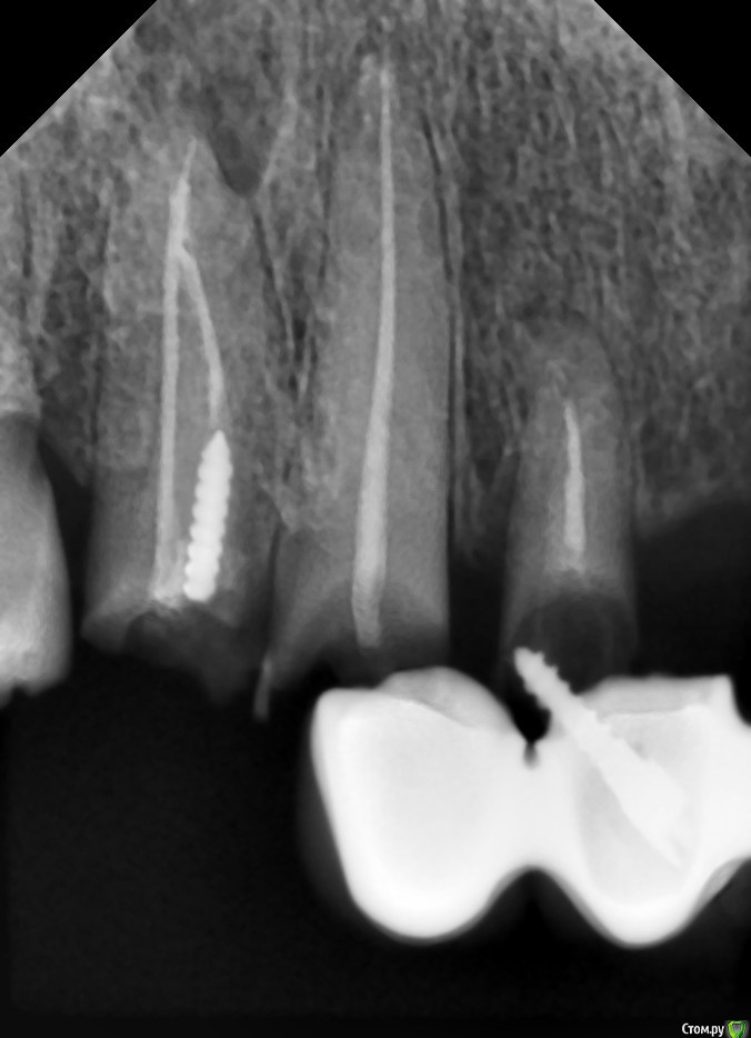
Витторио Орлионе Опубликовано 24 декабря, 2016 Автор Поделиться Опубликовано 24 декабря, 2016 на 4.4 зубе штамповка стоит с дыркой на дистальной поверхности, видимо когда-то там был мост, а сейчас через это окно уже деминерализованные внутренности видны, чтоб его сохранить нужно эндо, вкладка и коронка, я склоняюсь к мысли об его удаление, ведь одним искуственным зубом в протезе больше или меньше существенной разницы нет, а вот по стоимости будет как третий пспп. Как бы вы поступили с этим зубом? Ссылка на комментарий
chervoncevdaniil Опубликовано 24 декабря, 2016 Поделиться Опубликовано 24 декабря, 2016 на 4.4 зубе штамповка стоит с дыркой на дистальной поверхности, видимо когда-то там был мост, а сейчас через это окно уже деминерализованные внутренности видны, чтоб его сохранить нужно эндо, вкладка и коронка, я склоняюсь к мысли об его удаление, ведь одним искуственным зубом в протезе больше или меньше существенной разницы нет, а вот по стоимости будет как третий пспп. Как бы вы поступили с этим зубом? Вам этот зуб нужен для протезирования? Ссылка на комментарий
mirstomvlad Опубликовано 26 декабря, 2016 Поделиться Опубликовано 26 декабря, 2016 А вариант на телескопических коронках,как промежуточный этап перед ПСПП рассмотреть? Ссылка на комментарий
Витторио Орлионе Опубликовано 26 декабря, 2016 Автор Поделиться Опубликовано 26 декабря, 2016 Вам этот зуб нужен для протезирования?Не нужен Ссылка на комментарий
Рекомендуемые сообщения
Для публикации сообщений создайте учётную запись или авторизуйтесь
Вы должны быть пользователем, чтобы оставить комментарий
Создать аккаунт
Зарегистрируйте новый аккаунт в нашем сообществе. Это очень просто!
Регистрация нового пользователяВойти
Уже есть аккаунт? Войти в систему.
Войти