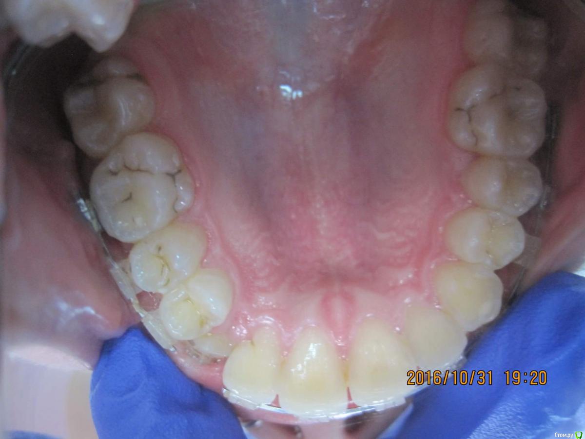
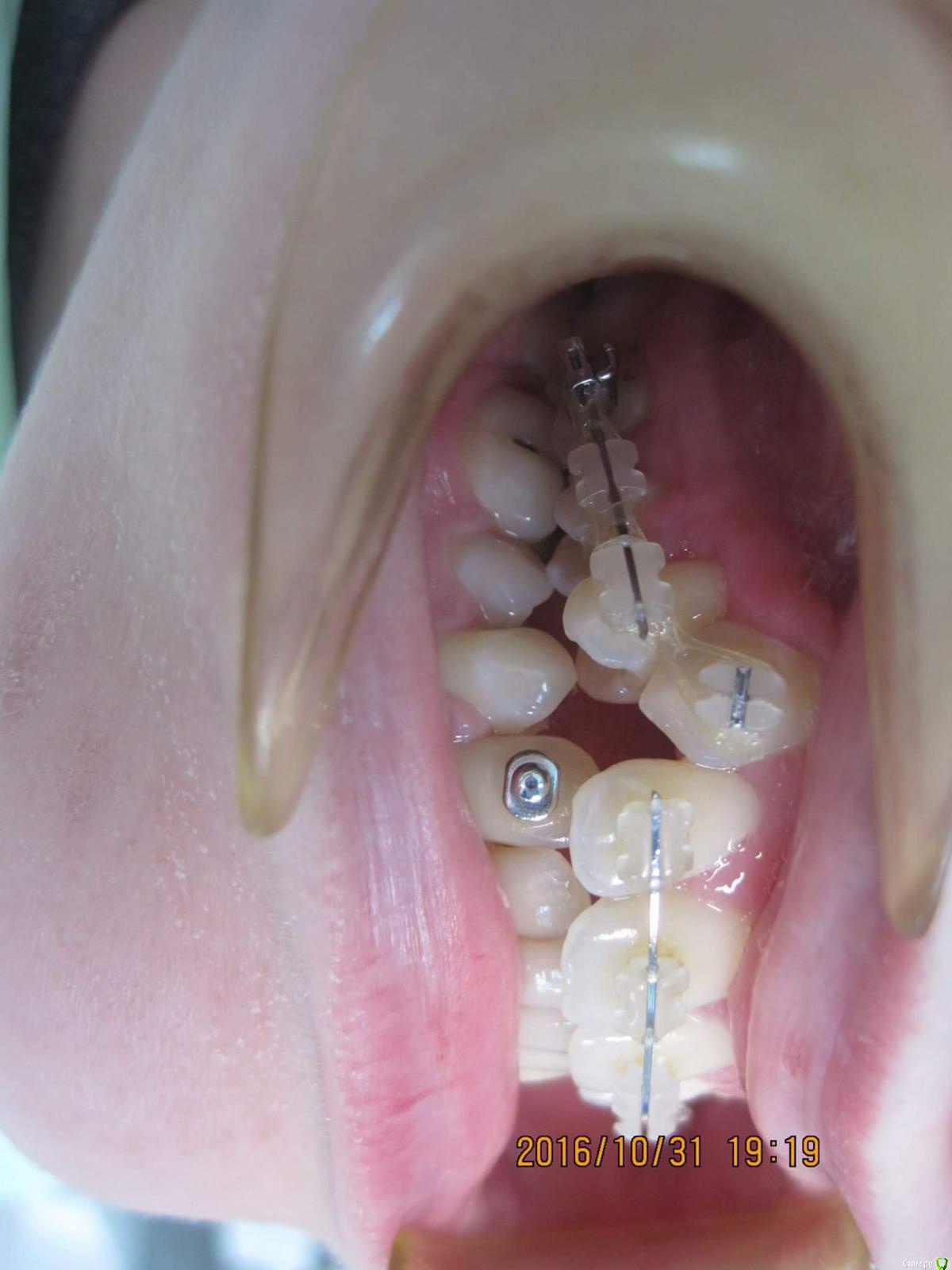
simpsons Опубликовано 8 декабря, 2016 Поделиться Опубликовано 8 декабря, 2016 Пытаемся вытянуть 13, но попытки тщетны... хочу знать мнения как поступают в таких ситуациях , если есть заместительная резорбция корня ( анкилоз)? Ссылка на комментарий
Brigita Опубликовано 8 декабря, 2016 Поделиться Опубликовано 8 декабря, 2016 (изменено) Про анкилоз постою послушаю)))На сегментированной дуге чейном кмк вообще сложно что то вытянуть. Да и вектор силы идет не по оси зуба, так что вообще не вижу смысла так делать. Ну и места клыку пока нет. Изменено 8 декабря, 2016 пользователем Brigita Ссылка на комментарий
IvanK Опубликовано 9 декабря, 2016 Поделиться Опубликовано 9 декабря, 2016 Снимки так расположены из-за большой любви к коллегам, чтобы шеи размяли? ) 6 Ссылка на комментарий
Opdihatop Опубликовано 9 декабря, 2016 Поделиться Опубликовано 9 декабря, 2016 Мда... А место для начала создать не пробовали, ну и плюс, опять таки для начала, попробовать вытянуть клык "классическими методами"? Велосипед нужно изобретать, когда старое доброе уже не работает. Ссылка на комментарий
Yana guapa Опубликовано 9 декабря, 2016 Поделиться Опубликовано 9 декабря, 2016 Пытаемся вытянуть 13, но попытки тщетны... хочу знать мнения как поступают в таких ситуациях , если есть заместительная резорбция корня ( анкилоз)? 1. во-первых, хотелось бы спросить откуда такой диагноз? (Заместительная резорбция Зубоальвеолярный анкилоз может проявляться образованием костной ткани в ответ на обширный некроз периодонтальной связки. Клинически это состояние обычно является осложнением подвывихов или вывихов зубов, а особенно полных вывихов, при которых зубы находились вне полости рта достаточно длительное время, в связи с чем произошла гибель клеток периодонтальной связки и нарушение прикрепления в области корня. Если в процесс вовлекается менее 20% поверхности корня, явления анкилоза оказываются обратимыми.В противном случае зуб становится частью альвеолярной кости и включается в процесс нормальной перестройки костной ткани. Соответственно, происходит постепенная резорбция тканей зуба и замещение их костной тканью, в связи с чем процесс называют заместительной резорбцией. Остеокласты, являющиеся основными клетками, участвующими в процессе заместительной резорбции, осуществляют ремоделировку костной ткани. Клинически зубоальвеолярный анкилоз характеризуется исчезновением подвижности зуба. При перкуссии определяется специфический металлический звук, а со временем зубы оказываются в инфраокклюзии. Рентгенологически наблюдается исчезновение периодонтальной щели. Кроме того, врастание кости в ткани зуба в процессе заместительной резорбции придает зубу характерный «изъеденный» вид.) это я так, для себя. Мы об одном и том же думаем? 2. или Вы решили , что зуб анкилозирован, только из-за того, что не выходит? Я могу предположить, что у зуба есть шанс, если все сделать грамотно. - создать место-использовать удобные и быстрые дуги (типа cantilever или ballista ) 3. конечно такие кейсы нужно оформлять более информативно, если хотите получить больше советов ( фото прикуса в фас, профиль; лицо), срезы КТ http://i12.pixs.ru/thumbs/4/4/8/IMG4417JPG_3567295_24358448.jpg http://i12.pixs.ru/thumbs/4/6/0/IMG4426JPG_9513930_24358460.jpg 1 Ссылка на комментарий
Yana guapa Опубликовано 9 декабря, 2016 Поделиться Опубликовано 9 декабря, 2016 Пытаемся вытянуть 13, но попытки тщетны... хочу знать мнения как поступают в таких ситуациях , если есть заместительная резорбция корня ( анкилоз)? что со средний линией? походу именно с ней и нужно работать. Брекеты на 7ках не стоят.... Опору терять начинаете... надо ставить нормальную полноценную систему, развивать зубные арки, центровать средние линии, создавать место , тянуть и ..... конечно же молиться!)))))) 1 Ссылка на комментарий
Opdihatop Опубликовано 9 декабря, 2016 Поделиться Опубликовано 9 декабря, 2016 Яна, а на Ваших фото это и есть та самая ballista? Просто никогда еще такой формулировки названия не встречал. Ссылка на комментарий
Yana guapa Опубликовано 10 декабря, 2016 Поделиться Опубликовано 10 декабря, 2016 Яна, а на Ваших фото это и есть та самая ballista? Просто никогда еще такой формулировки названия не встречал. да, она именно так и называется. здесь я 5 ку доставала. после создания место благодаря активному рычагузуб вышел за месяц Ссылка на комментарий
Brigita Опубликовано 10 декабря, 2016 Поделиться Опубликовано 10 декабря, 2016 Яна, расскажи пож-та про эти дуги.Про резорбцию - имелось ввиду внутренняя резорбция, она там есть. Не нашла информации; что при ней может быть анкилоз... Ссылка на комментарий
simpsons Опубликовано 10 декабря, 2016 Автор Поделиться Опубликовано 10 декабря, 2016 1. во-первых, хотелось бы спросить откуда такой диагноз? (Заместительная резорбция Зубоальвеолярный анкилоз может проявляться образованием костной ткани в ответ на обширный некроз периодонтальной связки. Клинически это состояние обычно является осложнением подвывихов или вывихов зубов, а особенно полных вывихов, при которых зубы находились вне полости рта достаточно длительное время, в связи с чем произошла гибель клеток периодонтальной связки и нарушение прикрепления в области корня. Если в процесс вовлекается менее 20% поверхности корня, явления анкилоза оказываются обратимыми.В противном случае зуб становится частью альвеолярной кости и включается в процесс нормальной перестройки костной ткани. Соответственно, происходит постепенная резорбция тканей зуба и замещение их костной тканью, в связи с чем процесс называют заместительной резорбцией. Остеокласты, являющиеся основными клетками, участвующими в процессе заместительной резорбции, осуществляют ремоделировку костной ткани. Клинически зубоальвеолярный анкилоз характеризуется исчезновением подвижности зуба. При перкуссии определяется специфический металлический звук, а со временем зубы оказываются в инфраокклюзии. Рентгенологически наблюдается исчезновение периодонтальной щели. Кроме того, врастание кости в ткани зуба в процессе заместительной резорбции придает зубу характерный «изъеденный» вид.) это я так, для себя. Мы об одном и том же думаем? 2. или Вы решили , что зуб анкилозирован, только из-за того, что не выходит? Я могу предположить, что у зуба есть шанс, если все сделать грамотно. - создать место-использовать удобные и быстрые дуги (типа cantilever или ballista ) 3. конечно такие кейсы нужно оформлять более информативно, если хотите получить больше советов ( фото прикуса в фас, профиль; лицо), срезы КТ Спасибо. Об одном и том же. Ссылка на комментарий
simpsons Опубликовано 10 декабря, 2016 Автор Поделиться Опубликовано 10 декабря, 2016 что со средний линией? походу именно с ней и нужно работать. Брекеты на 7ках не стоят.... Опору терять начинаете... надо ставить нормальную полноценную систему, развивать зубные арки, центровать средние линии, создавать место , тянуть и ..... конечно же молиться!)))))) Центральная линия смещена. Спасибо!) Ссылка на комментарий
Brigita Опубликовано 10 декабря, 2016 Поделиться Опубликовано 10 декабря, 2016 (изменено) Яна, ballista - круглая сталь, по типу пружины kelroy? Я согнула из тма куском и активировала Изменено 10 декабря, 2016 пользователем Brigita Ссылка на комментарий
Yana guapa Опубликовано 10 декабря, 2016 Поделиться Опубликовано 10 декабря, 2016 Яна, ballista - круглая сталь, по типу пружины kelroy? Я согнула из тма куском и активировалаиз тма - дорогое удовольствие!)) почти 500рэ! я из 014 SS делаю, 50р)) на зубах - основная дуга (в принципе любая, какая на этапе уже стоит), и плюс сверху подвязать баллисту (так, чтобы завиток был перпендикулярно от вытаскиваемого зуба; и в конце с усилием натянуть петельку к зубу и подвязать лигатурой. )п.с. инфы много по баллисте , пропиши wire ballista Ссылка на комментарий
Yana guapa Опубликовано 10 декабря, 2016 Поделиться Опубликовано 10 декабря, 2016 Центральная линия смещена. Спасибо!)только когда поставите пружину, брекет с двойки снимите! Ссылка на комментарий
Dok22 Опубликовано 11 января, 2017 Поделиться Опубликовано 11 января, 2017 Даже если вытяните будет рецидив 8 ки не удалены к 18 -19 начнут прорезываться и привет "поплывут" зубы. Ссылка на комментарий
Рекомендуемые сообщения
Для публикации сообщений создайте учётную запись или авторизуйтесь
Вы должны быть пользователем, чтобы оставить комментарий
Создать аккаунт
Зарегистрируйте новый аккаунт в нашем сообществе. Это очень просто!
Регистрация нового пользователяВойти
Уже есть аккаунт? Войти в систему.
Войти