Wrestrus66 Опубликовано 8 декабря, 2016 Поделиться Опубликовано 8 декабря, 2016 Доброй ночи...))Пац : 7 лет , 74,75 жалоб никаких лечили около 3 лет назад ..Как быть ?! Ссылка на комментарий
SatoSan Опубликовано 8 декабря, 2016 Поделиться Опубликовано 8 декабря, 2016 (изменено) Если жалоб нет и объективно без изменений я бы оставил. Полечив кариес естественно если это возможно! Изменено 8 декабря, 2016 пользователем SatoSan Ссылка на комментарий
crown Опубликовано 8 декабря, 2016 Поделиться Опубликовано 8 декабря, 2016 Убрал бы оба зуба. 74 однозначно, угроза зачатку, 75 туда же, слишком сильная деструкция, на кальцие боюсь не вытяните. Блин а че четверка то стрельнула? Мож канал пропустили... Ссылка на комментарий
Давлетшин Опубликовано 8 декабря, 2016 Поделиться Опубликовано 8 декабря, 2016 Если другой стороны есть вторичная адентия молочных, то есть смысл убрать оба и замещающую пластинку. Если с другой стороны норм все, то убрать четверку и понаблюдать динамику 3-4 мес. мне кажется от четверки такая сильная деструкция. 1 Ссылка на комментарий
Wrestrus66 Опубликовано 8 декабря, 2016 Автор Поделиться Опубликовано 8 декабря, 2016 завтра буду удалять 74.. т.к кортикалка уже задета ! а 75 под наблюдение ! Ссылка на комментарий
IvanK Опубликовано 8 декабря, 2016 Поделиться Опубликовано 8 декабря, 2016 т.к кортикалка уже задета ! что это значит? жалоб никаких какова картина в полости рта? Ссылка на комментарий
Brigita Опубликовано 8 декабря, 2016 Поделиться Опубликовано 8 декабря, 2016 Если другой стороны есть вторичная адентия молочных, то есть смысл убрать оба и замещающую пластинку. Если с другой стороны норм все, то убрать четверку и понаблюдать динамику 3-4 мес. мне кажется от четверки такая сильная деструкция. Не поняла логику про другую сторону и про пластинку. Ссылка на комментарий
Джима Опубликовано 9 декабря, 2016 Поделиться Опубликовано 9 декабря, 2016 Не поняла логику про другую сторону и про пластинкук симметричной пластинке легче адаптироваться, односторонний съёмный держатель места на 7.4 и 7.5 носить никто не будет - зачем, можно ж на другой стороне жевать. поэтому, если проблема односторонняя, то потеря пятого зуба - штука серьёзная, надо сто раз хорошо подумать и по возможности сохранить. отакой парадокс.здесь, имхо, под 7.5 разрежение от 7.4. 7.4 убрать, 7.5 привести в порядок и наблюдать. 1 Ссылка на комментарий
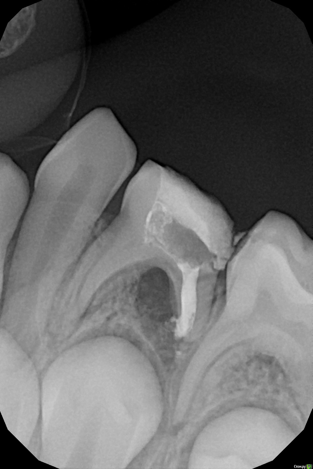
crown Опубликовано 9 декабря, 2016 Поделиться Опубликовано 9 декабря, 2016 О народ подтянулся, заодно и мой тогда посмотрите. 7 лет, 7.4, ранее резорциненный, в медиальных там все глухо, ток бором сверлить, в дистальном кальций оставил. Ссылка на комментарий
Джима Опубликовано 9 декабря, 2016 Поделиться Опубликовано 9 декабря, 2016 заживёт, постоит ещё немного. только метапекс из канала рассосётся очень быстро. Ссылка на комментарий
crown Опубликовано 9 декабря, 2016 Поделиться Опубликовано 9 декабря, 2016 заживёт, постоит ещё немного. только метапекс из канала рассосётся очень быстро.А если эодентом закатать? Ссылка на комментарий
Джима Опубликовано 10 декабря, 2016 Поделиться Опубликовано 10 декабря, 2016 быстротвердеющим низзя, обычным можно Ссылка на комментарий
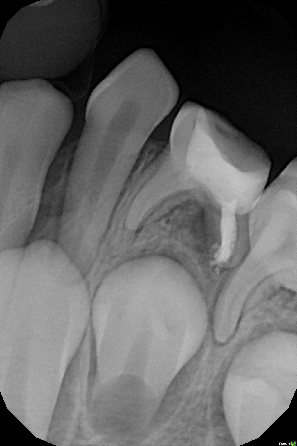
сирена Опубликовано 19 января, 2017 Поделиться Опубликовано 19 января, 2017 (изменено) И я тут спрошу с разрешения ТС.Удалять или лечить?У меня постоянные конфликты с терапевтами по этому вопросу.Я настаиваю на Лечить,они - на удалять(работаю в детской поликлинике хирургом).Основание к удалению:"1,5 - 2 года до физсмены".У Рабиновича это показание к удалению.Я в недоуменииРебёнку 7 лет. Изменено 19 января, 2017 пользователем сирена Ссылка на комментарий
Джима Опубликовано 19 января, 2017 Поделиться Опубликовано 19 января, 2017 Ну конкретно здесь вообще пульпит, по-моему, можно ампутационно лечить. Пожуёт ещё, 2 года - это четверть жизни в восьмилетнем возрасте, если что. Может, я там чего не рассмотрела?..Ху из Рабинович, какого года? Если это рекомендации для советской системы санации дет.населения, так они работали на благо массам в ущерб отдельным детёнышам. 2 Ссылка на комментарий
Большой Зеленый Опубликовано 20 января, 2017 Поделиться Опубликовано 20 января, 2017 И я тут спрошу с разрешения ТС.Удалять или лечить?У меня постоянные конфликты с терапевтами по этому вопросу.Я настаиваю на Лечить,они - на удалять(работаю в детской поликлинике хирургом).Основание к удалению:"1,5 - 2 года до физсмены".У Рабиновича это показание к удалению.Я в недоумении20170117_225011-1.jpgРебёнку 7 лет.Если это пульпит то однозначно лечить. Если же это периодонтит то удаляем.. 1 Ссылка на комментарий
Redrum Опубликовано 20 января, 2017 Поделиться Опубликовано 20 января, 2017 Дело не в том,сколько ребенку лет,а в том, насколько далеко до смены. Буквально неделю назад сделали ОПТГ мальчику 7 лет, активно рассасываются корни всех "пятерок", "четвертые" уже сменились. А несколько дней назад лечу пульпит в зубе 84,потому как во-первых болит,а во-вторых,по результатам ОПТГ до смены еще очень долго. 2 Ссылка на комментарий
red_butler Опубликовано 30 января, 2017 Поделиться Опубликовано 30 января, 2017 Я настаиваю на Лечить,они - на удалять(работаю в детской поликлинике хирургом)когда я детской хирургией баловался, было все наоборот Но то что на снимке, нужно лечить 1 Ссылка на комментарий
сирена Опубликовано 30 января, 2017 Поделиться Опубликовано 30 января, 2017 когда я детской хирургией баловался, было все наоборот Но то что на снимке, нужно лечитьТы хотел удалять,а они - лечить?? Чё т не верится )) Ссылка на комментарий
red_butler Опубликовано 30 января, 2017 Поделиться Опубликовано 30 января, 2017 Ты хотел удалять,а они - лечить?? Чё т не верится )) ой, проглядел что Вы хирург. Конечно все как у вас, чуть капризый ребетенок, так к хирургу 1 Ссылка на комментарий
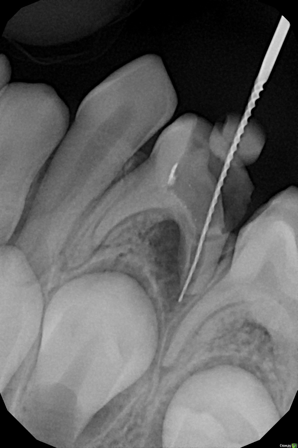
crown Опубликовано 17 февраля, 2017 Поделиться Опубликовано 17 февраля, 2017 Кажись заживает, 2,5 месяца. Ссылка на комментарий
Brigita Опубликовано 17 февраля, 2017 Поделиться Опубликовано 17 февраля, 2017 Красавчики.И док и зуб))) 2 Ссылка на комментарий
Воркутов Опубликовано 13 мая, 2017 Поделиться Опубликовано 13 мая, 2017 Молодцы!!! Зуб спасен , ребенок доволен!! Ссылка на комментарий
Рекомендуемые сообщения
Для публикации сообщений создайте учётную запись или авторизуйтесь
Вы должны быть пользователем, чтобы оставить комментарий
Создать аккаунт
Зарегистрируйте новый аккаунт в нашем сообществе. Это очень просто!
Регистрация нового пользователяВойти
Уже есть аккаунт? Войти в систему.
Войти