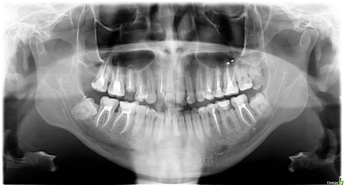
b.wtcc Опубликовано 7 декабря, 2016 Поделиться Опубликовано 7 декабря, 2016 Здравствуйте.Обращался в стоматологию. Лечили, лечили...сказали все готово.Но остались вопросы, по зубам которые не тронули. верхние левые 4, 6, 7верхняя правая 4низ право 7нижние 8ки сказали пока не трогатьнижние центральные начали немного зудеть, не постоянно Снимок до лечения. Подскажите как дальше быть. Ссылка на комментарий
IvanK Опубликовано 7 декабря, 2016 Поделиться Опубликовано 7 декабря, 2016 Здравствуйте это снимок после окончания лечения?? Ссылка на комментарий
b.wtcc Опубликовано 7 декабря, 2016 Автор Поделиться Опубликовано 7 декабря, 2016 Нет, это снимок до лечение. Хочу на днях сделать новый - как бы там вопросов не прибавилось ... Ссылка на комментарий
IvanK Опубликовано 8 декабря, 2016 Поделиться Опубликовано 8 декабря, 2016 тогда разговор пока ни о чем. Ждем новый панорамный снимок Ссылка на комментарий
Рекомендуемые сообщения
Для публикации сообщений создайте учётную запись или авторизуйтесь
Вы должны быть пользователем, чтобы оставить комментарий
Создать аккаунт
Зарегистрируйте новый аккаунт в нашем сообществе. Это очень просто!
Регистрация нового пользователяВойти
Уже есть аккаунт? Войти в систему.
Войти