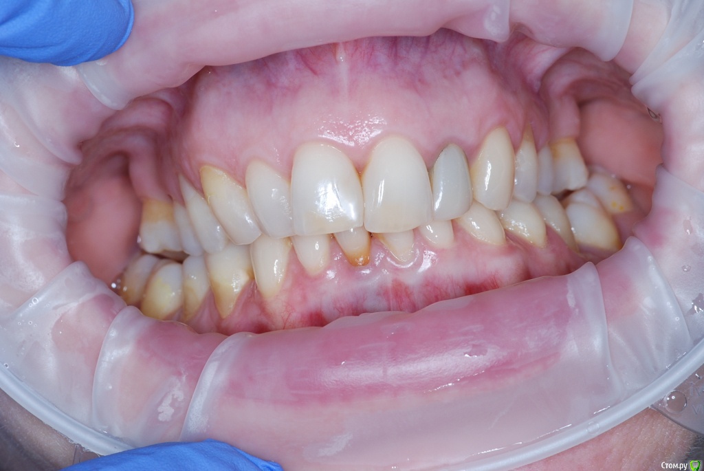
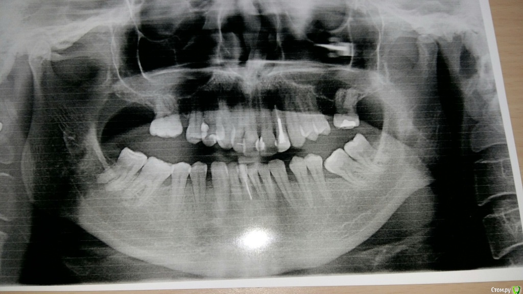
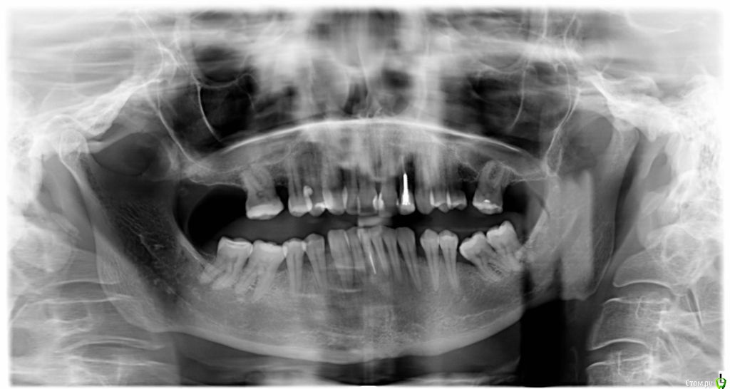
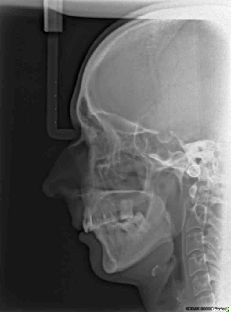
VVQW Опубликовано 6 декабря, 2016 Поделиться Опубликовано 6 декабря, 2016 В результате некачественной ортодонтии более 10 лет назад имеется такая картина. Посоветуйте что-можно сделать?Верхние 6-ки удалены перед брекет системой, по решению ортодонта. Верхние 8-ки не выросли, нижние 6-ки - удалены в подростковом возрасте до 14 лет. http://s019.radikal.ru/i639/1612/56/1345f17db908.jpg http://s019.radikal.ru/i630/1612/55/145ef7c813b2.jpg http://s017.radikal.ru/i440/1612/c2/74bd4da2643e.jpg http://s008.radikal.ru/i303/1612/b4/e80683ed7d2b.jpg http://s010.radikal.ru/i314/1612/74/6d2f9671b0d5.jpg http://s018.radikal.ru/i502/1612/97/9a15fcf4ddd3.jpg http://s020.radikal.ru/i715/1612/59/9bb4a006621f.jpg Ссылка на комментарий
___49___ Опубликовано 6 декабря, 2016 Поделиться Опубликовано 6 декабря, 2016 Здравствуйте. Пожалуйста постарайтесь перечислить свои жалобы, что вас беспокоит, и что бы вы хотели в конечном результате видеть ? Ссылка на комментарий
VVQW Опубликовано 6 декабря, 2016 Автор Поделиться Опубликовано 6 декабря, 2016 Добрый день. Беспокоят клиновидки и их прогрессирование из-за неправильной окклюзии.Которая из-за неккоректно проведенного ортодонтическлго лечения. Одно из мнений ортодонтов, 50/50, что надо провести повторное лечение и восстановить зубной ряд имплантами. Вот только дальше варианты у всех свои. Если в верху подвинуть 7 к 5, есть место для импланта? Кость позволит? И наоборот если сделать место под 6, можно ли туда импоант поставить? Спасибо. Ссылка на комментарий
Рекомендуемые сообщения
Для публикации сообщений создайте учётную запись или авторизуйтесь
Вы должны быть пользователем, чтобы оставить комментарий
Создать аккаунт
Зарегистрируйте новый аккаунт в нашем сообществе. Это очень просто!
Регистрация нового пользователяВойти
Уже есть аккаунт? Войти в систему.
Войти