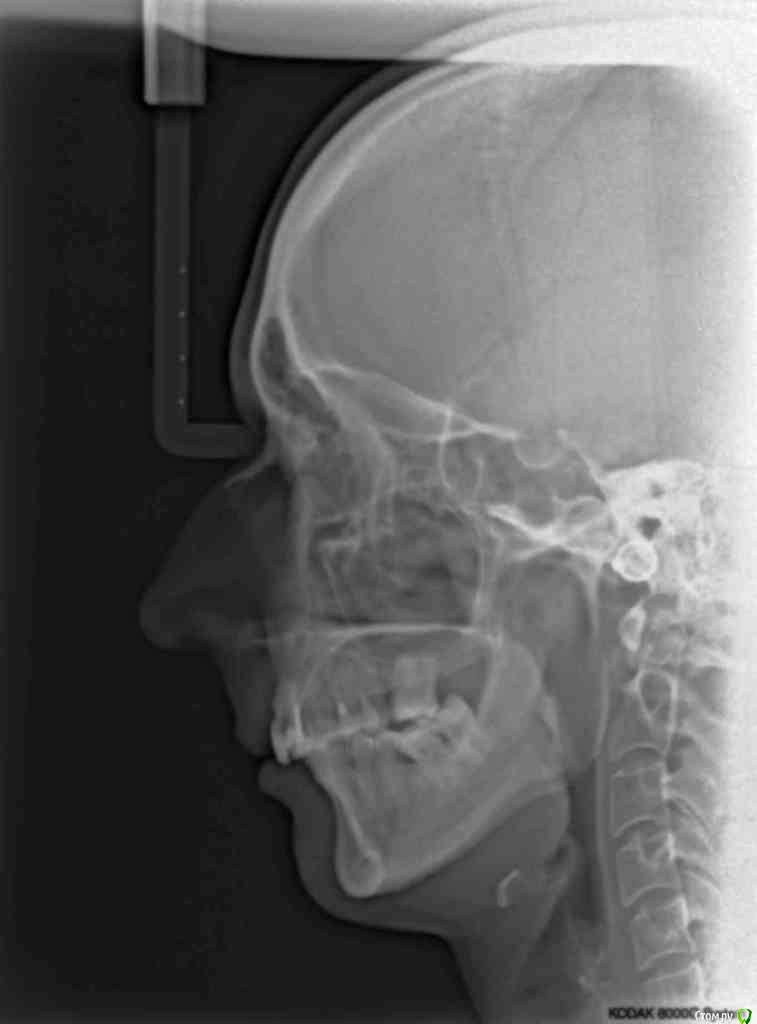
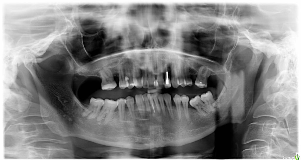
VVQW Опубликовано 6 декабря, 2016 Поделиться Опубликовано 6 декабря, 2016 (изменено) Более 10 лет назад была установлена брекет-система.Лечение было проведено на глаз, анализы и диагностика не проводилась. Спустя время- итог. Сверху перед установкой врач принял решение удалить 6-ки, 8-ки -не выросли. Промежутки между 7-ми и 5-ми - не дотянул и бросил врач. На нижней челюсти системы не было, нижние 6-ки потеряны лет до 14 (в подростковом возрасте). Сейчас процес -усугубляются клиновидки, оголение . Что можно сделать? http://s019.radikal.ru/i641/1612/eb/3498e6cec3f8.jpg http://s018.radikal.ru/i518/1612/73/739600b6d2d1.jpg http://s011.radikal.ru/i318/1612/73/443e1513aaf8.jpg http://s017.radikal.ru/i403/1612/86/73e0dfe4ca62.jpg http://s018.radikal.ru/i518/1612/a2/bd7078537d9e.jpg http://s017.radikal.ru/i417/1612/9d/41b6d1c98666.jpg http://s019.radikal.ru/i642/1612/fe/3222fa19d517.jpg Гипсовых моделей нет, зубы неподвижны. http://s019.radikal.ru/i639/1612/56/1345f17db908.jpg http://s019.radikal.ru/i630/1612/55/145ef7c813b2.jpg http://s017.radikal.ru/i440/1612/c2/74bd4da2643e.jpg http://s008.radikal.ru/i303/1612/b4/e80683ed7d2b.jpg http://s010.radikal.ru/i314/1612/74/6d2f9671b0d5.jpg http://s018.radikal.ru/i502/1612/97/9a15fcf4ddd3.jpg http://s020.radikal.ru/i715/1612/59/9bb4a006621f.jpg Изменено 6 декабря, 2016 пользователем VVQW Ссылка на комментарий
IvanK Опубликовано 7 декабря, 2016 Поделиться Опубликовано 7 декабря, 2016 не дублируйте темы Ссылка на комментарий
Рекомендуемые сообщения