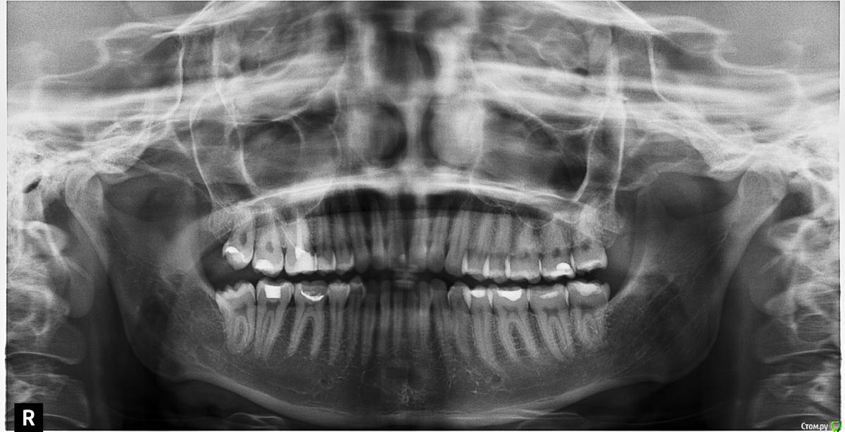
Альбинка Опубликовано 1 декабря, 2016 Поделиться Опубликовано 1 декабря, 2016 (изменено) Добрый вечер! У меня очень сильно портятся зубы (практически все пятерки, шестерки,семерки и восьмерки запломбированы), в сладком я себя ограничиваю, после еды полоскаю зубы, чищу два раза в день, проф.чистка два раза в год. Посоветуйте, пожалуйста, что нужно еще делать чтоб остановить этот процесс? и с чем связано такое состояние зубов? как предотвратить вторичный кариес? И еще, конкретный вопрос, насколько хорошо запломбирован канал 16 зуба? Как быть с чисткой межзубного пространством, нитка не пролезает, выход - купить ирригатор? Изменено 1 декабря, 2016 пользователем Альбинка Ссылка на комментарий
DmitrySH Опубликовано 1 декабря, 2016 Поделиться Опубликовано 1 декабря, 2016 И еще, конкретный вопрос, насколько хорошо запломбирован канал 16 зуба? Он беспокоит?Для ответа на вопрос минимум нужен прицельный снимок , но лучше КТ этого зуба Как быть с чисткой межзубного пространством, нитка не пролезаетВезде или только в каком-то месте? Ссылка на комментарий
Альбинка Опубликовано 2 декабря, 2016 Автор Поделиться Опубликовано 2 декабря, 2016 (изменено) Он беспокоит?Для ответа на вопрос минимум нужен прицельный снимок , но лучше КТ этого зуба Везде или только в каком-то месте? Он не болит, но присутствует некий дискомфорт, и еще он в целом потемнел Нитка везде не пролезает Изменено 2 декабря, 2016 пользователем Альбинка Ссылка на комментарий
IvanK Опубликовано 2 декабря, 2016 Поделиться Опубликовано 2 декабря, 2016 а раньше пролезала? думаю, что нужно сходить на урок гигиены, Вас научат гигиена - лучшая профилактика кариеса 2 Ссылка на комментарий
Альбинка Опубликовано 2 декабря, 2016 Автор Поделиться Опубликовано 2 декабря, 2016 а раньше пролезала? думаю, что нужно сходить на урок гигиены, Вас научат гигиена - лучшая профилактика кариеса более-менее, с трудом но пролезала, но как вылезли зубы мудрости стало совсем тесно. На уроке гигиены была, чистила зубы под присмотром стоматолога) Ссылка на комментарий
IvanK Опубликовано 3 декабря, 2016 Поделиться Опубликовано 3 декабря, 2016 ох, что-то не верится мне)) сходите тогда к ортодонту, он скажет удалить все 8ки, и будет все ок)) 1 Ссылка на комментарий
Альбинка Опубликовано 5 декабря, 2016 Автор Поделиться Опубликовано 5 декабря, 2016 ох, что-то не верится мне)) сходите тогда к ортодонту, он скажет удалить все 8ки, и будет все ок)) Спасибо, иду удалять) Ссылка на комментарий
Рекомендуемые сообщения
Для публикации сообщений создайте учётную запись или авторизуйтесь
Вы должны быть пользователем, чтобы оставить комментарий
Создать аккаунт
Зарегистрируйте новый аккаунт в нашем сообществе. Это очень просто!
Регистрация нового пользователяВойти
Уже есть аккаунт? Войти в систему.
Войти