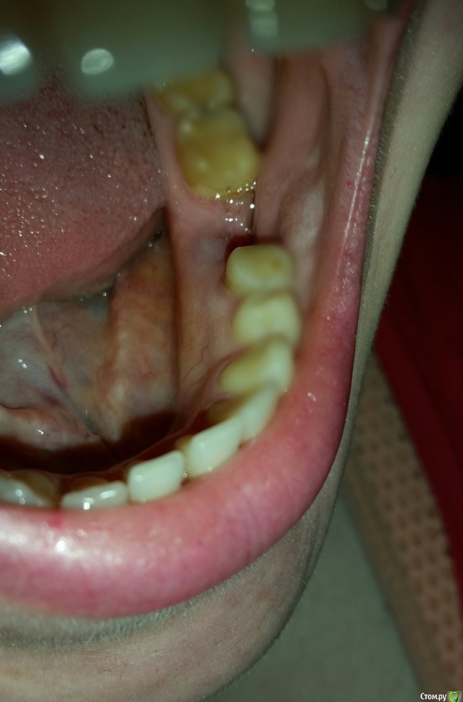
Валерия2020 Опубликовано 29 ноября, 2016 Поделиться Опубликовано 29 ноября, 2016 (изменено) 10 дней назад были установлены два импланта фирмы DIO (Корея) - нижние шестёрки с обеих сторон. Оба импланта одинаковые, размер 5х10.С левой стороны (врач сказал что кость тут лучше) после снятия швов я вижу в зеркало и отчетливо ощущаю языком как выпирает имплант. С правой стороны (где зуб отсутствует 9 лет и кость по словам доктора тоньше) такого нет, поэтому это меня и беспокоит. Это не синяк на фото - это так имплант "проглядывает". 1. Нормально ли это?2. И если нормально, значит ли что после установки коронки, со временем десна будет опускаться вниз обнажая штифт. P.S. Извините за "размытые" в редакторе другие зубы, еще много работы, стыдно показывать. Изменено 29 ноября, 2016 пользователем Валерия2020 Ссылка на комментарий
dok1 Опубликовано 30 ноября, 2016 Поделиться Опубликовано 30 ноября, 2016 Не информативно. Хотя бы прицельный чёткий снимок сделайте и выложите. А уж срезы КТ вообще было бы идеально. У DIO заглушки цветные - может из-за тонкой слизистой она просто просвечивает. Если так, то это не страшно. 1 Ссылка на комментарий
IvanK Опубликовано 30 ноября, 2016 Поделиться Опубликовано 30 ноября, 2016 здравствуйте, выложите прицельные снимки или панорамный (ОПТГ) 1 Ссылка на комментарий
Валерия2020 Опубликовано 2 декабря, 2016 Автор Поделиться Опубликовано 2 декабря, 2016 Снимок снимка Ссылка на комментарий
red_butler Опубликовано 2 декабря, 2016 Поделиться Опубликовано 2 декабря, 2016 по снимку все нормально 1 Ссылка на комментарий
Рекомендуемые сообщения
Для публикации сообщений создайте учётную запись или авторизуйтесь
Вы должны быть пользователем, чтобы оставить комментарий
Создать аккаунт
Зарегистрируйте новый аккаунт в нашем сообществе. Это очень просто!
Регистрация нового пользователяВойти
Уже есть аккаунт? Войти в систему.
Войти