togrul Опубликовано 24 ноября, 2016 Поделиться Опубликовано 24 ноября, 2016 (изменено) Всем добрый вечер. Изменено 24 ноября, 2016 пользователем togrul 9 Ссылка на комментарий
togrul Опубликовано 24 ноября, 2016 Автор Поделиться Опубликовано 24 ноября, 2016 Фото улыбки. 5 Ссылка на комментарий
Evikrol Опубликовано 25 ноября, 2016 Поделиться Опубликовано 25 ноября, 2016 А есть орто до и после? Разрешите посмотреть. Ссылка на комментарий
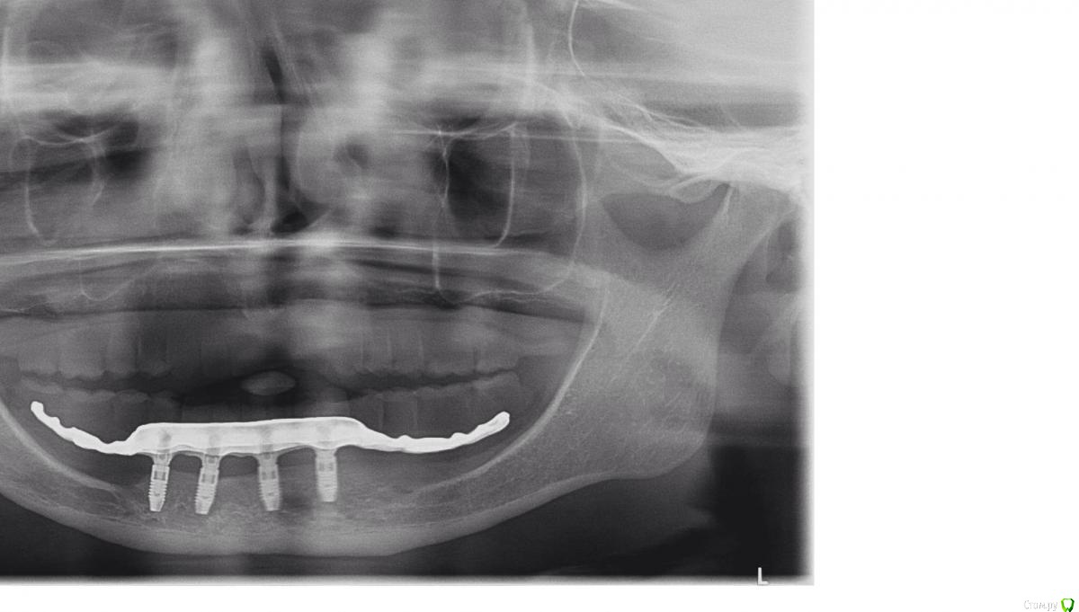
Evikrol Опубликовано 25 ноября, 2016 Поделиться Опубликовано 25 ноября, 2016 В области каких зубов выходят шахты дистальных имплантатов? Ссылка на комментарий
togrul Опубликовано 25 ноября, 2016 Автор Поделиться Опубликовано 25 ноября, 2016 В области каких зубов выходят шахты дистальных имплантато В области каких зубов выходят шахты дистальных имплантатов?Добрый день. в области клыков . снимок на работе Ссылка на комментарий
Evikrol Опубликовано 25 ноября, 2016 Поделиться Опубликовано 25 ноября, 2016 Хирург вы? Ссылка на комментарий
togrul Опубликовано 25 ноября, 2016 Автор Поделиться Опубликовано 25 ноября, 2016 В данном случае не я. Ссылка на комментарий
togrul Опубликовано 25 ноября, 2016 Автор Поделиться Опубликовано 25 ноября, 2016 Хотите спросить почему в данной позиции? Ссылка на комментарий
stomalolog Опубликовано 25 ноября, 2016 Поделиться Опубликовано 25 ноября, 2016 Фото улыбки.Красиво, но немного молодые зубы для пациентки? 1 Ссылка на комментарий
togrul Опубликовано 25 ноября, 2016 Автор Поделиться Опубликовано 25 ноября, 2016 Красиво, но немного молодые зубы для пациентки?Спасибо. пациентка сама захотела форму и цвет) Ссылка на комментарий
Aquarius Опубликовано 25 ноября, 2016 Поделиться Опубликовано 25 ноября, 2016 (изменено) Кучно стоят Я стараюсь разнести по саггитали http://s018.radikal.ru/i504/1611/d2/edee533725fa.jpg Изменено 25 ноября, 2016 пользователем Aquarius 4 Ссылка на комментарий
togrul Опубликовано 26 ноября, 2016 Автор Поделиться Опубликовано 26 ноября, 2016 Кучно стоят Я стараюсь разнести по саггитали В данном случае не было условий. Пациентка до этого носила сьемники 15 лет. Ссылка на комментарий
Evikrol Опубликовано 26 ноября, 2016 Поделиться Опубликовано 26 ноября, 2016 В данном случае не было условий. Пациентка до этого носила сьемники 15 лет.Не верю. Условия для условно съёмного есть всегда на нижней челюсти особенно Ссылка на комментарий
togrul Опубликовано 26 ноября, 2016 Автор Поделиться Опубликовано 26 ноября, 2016 Не верю. Условия для условно съёмного есть всегда на нижней челюсти особенномучему не верите? Ссылка на комментарий
togrul Опубликовано 26 ноября, 2016 Автор Поделиться Опубликовано 26 ноября, 2016 (изменено) что значит условно съемный? Протез или съемный или несьемный Изменено 26 ноября, 2016 пользователем togrul Ссылка на комментарий
togrul Опубликовано 26 ноября, 2016 Автор Поделиться Опубликовано 26 ноября, 2016 Расскажите что Вас не устраивает Ссылка на комментарий
togrul Опубликовано 26 ноября, 2016 Автор Поделиться Опубликовано 26 ноября, 2016 Я обязательно выложу ото до и после Ссылка на комментарий
Evikrol Опубликовано 26 ноября, 2016 Поделиться Опубликовано 26 ноября, 2016 что значит условно съемный? Протез или съемный или несьемныйУсловно-съемный, протез который может снять только доктор, на винтовой фиксации. Когда будет готов кейс, обязательно выложу. В данном случае не было условий. Пациентка до этого носила сьемники 15 лет.http://s017.radikal.ru/i413/1611/f8/e80b545e1b3d.jpgТут тоже был съёмник лет 20 Ссылка на комментарий
max9108 Опубликовано 29 ноября, 2016 Поделиться Опубликовано 29 ноября, 2016 Но ведь тут пациентка сама снимает нижний протез с балки? Ссылка на комментарий
togrul Опубликовано 29 ноября, 2016 Автор Поделиться Опубликовано 29 ноября, 2016 Условно-съемный, протез который может снять только доктор, на винтовой фиксации. Когда будет готов кейс, обязательно выложу. http://s017.radikal.ru/i413/1611/f8/e80b545e1b3d.jpgТут тоже был съёмник лет 20сдесь у вас хорошие условия в принципе. Фото после сдачи . Не нашёл Кт до . Но поверьте на слово условий нет . Ссылка на комментарий
togrul Опубликовано 29 ноября, 2016 Автор Поделиться Опубликовано 29 ноября, 2016 Но ведь тут пациентка сама снимает нижний протез с балки?Все верно. Ссылка на комментарий
Evikrol Опубликовано 29 ноября, 2016 Поделиться Опубликовано 29 ноября, 2016 Если найдёте скиньте кт. Я уверен что 13 мм войдут Ссылка на комментарий
togrul Опубликовано 29 ноября, 2016 Автор Поделиться Опубликовано 29 ноября, 2016 Если найдёте скиньте кт. Я уверен что 13 мм войдуДаже по панораме видно что там нет 13мм))). Хотите что бы транспозицию сделали ))) под балку Ссылка на комментарий
chervoncevdaniil Опубликовано 29 ноября, 2016 Поделиться Опубликовано 29 ноября, 2016 А как вы определяли прикус в данном кейсе?валики на жестком базисе были?на что опирались? Ссылка на комментарий
togrul Опубликовано 29 ноября, 2016 Автор Поделиться Опубликовано 29 ноября, 2016 Добрый день определял на жёстком базисе. На имплантатах опирались на имплантаты. Ссылка на комментарий
Рекомендуемые сообщения
Для публикации сообщений создайте учётную запись или авторизуйтесь
Вы должны быть пользователем, чтобы оставить комментарий
Создать аккаунт
Зарегистрируйте новый аккаунт в нашем сообществе. Это очень просто!
Регистрация нового пользователяВойти
Уже есть аккаунт? Войти в систему.
Войти