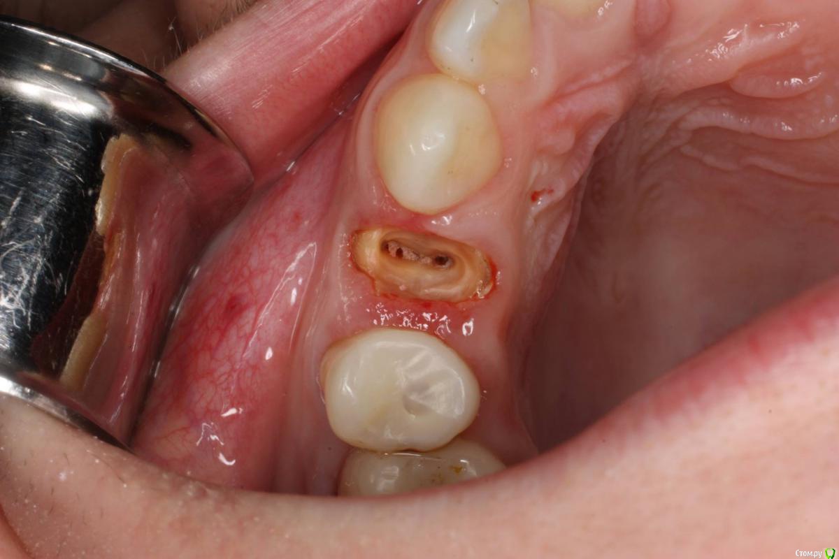
togrul Опубликовано 24 ноября, 2016 Поделиться Опубликовано 24 ноября, 2016 Имплантация проводилась 6 месяцев назад . Пациентка запротезирована. Это моя 2 имплантация была . 7 Ссылка на комментарий
Павел7809 Опубликовано 24 ноября, 2016 Поделиться Опубликовано 24 ноября, 2016 Без графта? Ссылка на комментарий
togrul Опубликовано 24 ноября, 2016 Автор Поделиться Опубликовано 24 ноября, 2016 Нет Bio oss использовали . Ссылка на комментарий
АнтонТЛТ Опубликовано 24 ноября, 2016 Поделиться Опубликовано 24 ноября, 2016 Ты же ортопед, показывай коронку)) 1 Ссылка на комментарий
Maxfac Опубликовано 24 ноября, 2016 Поделиться Опубликовано 24 ноября, 2016 А нужен ли был графт? Ссылка на комментарий
syrovovec Опубликовано 24 ноября, 2016 Поделиться Опубликовано 24 ноября, 2016 Графт может и не особо нужен, а сст просится Ссылка на комментарий
АнтонТЛТ Опубликовано 24 ноября, 2016 Поделиться Опубликовано 24 ноября, 2016 Не вижу показаний для сст, коронкой на раз всё отожмётся 2 Ссылка на комментарий
togrul Опубликовано 24 ноября, 2016 Автор Поделиться Опубликовано 24 ноября, 2016 Антон фото сделаю через неделю Ссылка на комментарий
togrul Опубликовано 24 ноября, 2016 Автор Поделиться Опубликовано 24 ноября, 2016 А нужен ли был ?Как учили так и сделал ) Думаю не помещает) Ссылка на комментарий
togrul Опубликовано 24 ноября, 2016 Автор Поделиться Опубликовано 24 ноября, 2016 А вообще нужен в таких случаях графт или нет? Ссылка на комментарий
syrovovec Опубликовано 24 ноября, 2016 Поделиться Опубликовано 24 ноября, 2016 Не вижу показаний для сст, коронкой на раз всё отожмётсяОтожмется конечно, и посимпатичней будет,но я всё равно за сст 3 Ссылка на комментарий
Maxfac Опубликовано 25 ноября, 2016 Поделиться Опубликовано 25 ноября, 2016 А вообще нужен в таких случаях графт или нет?А это интересный вопрос, который стоило бы обсудить отдельно. 1 Ссылка на комментарий
togrul Опубликовано 25 ноября, 2016 Автор Поделиться Опубликовано 25 ноября, 2016 А это интересный вопрос, который стоило бы обсудить отдельно.Давайте обсудим). Ссылка на комментарий
Рекомендуемые сообщения
Для публикации сообщений создайте учётную запись или авторизуйтесь
Вы должны быть пользователем, чтобы оставить комментарий
Создать аккаунт
Зарегистрируйте новый аккаунт в нашем сообществе. Это очень просто!
Регистрация нового пользователяВойти
Уже есть аккаунт? Войти в систему.
Войти