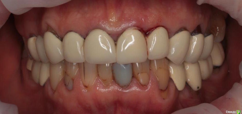
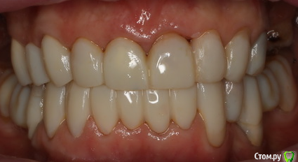
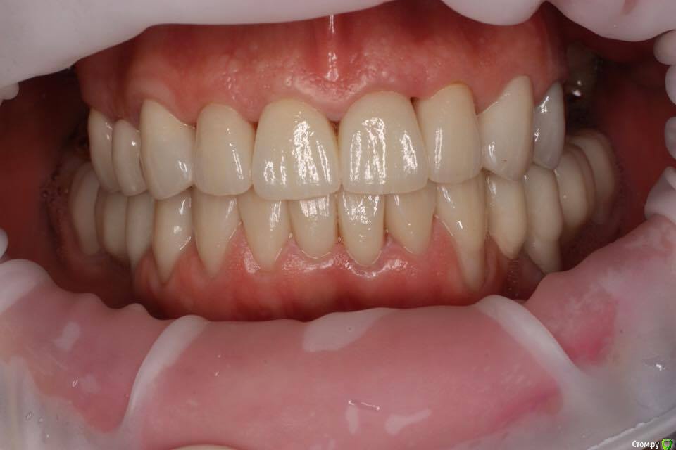
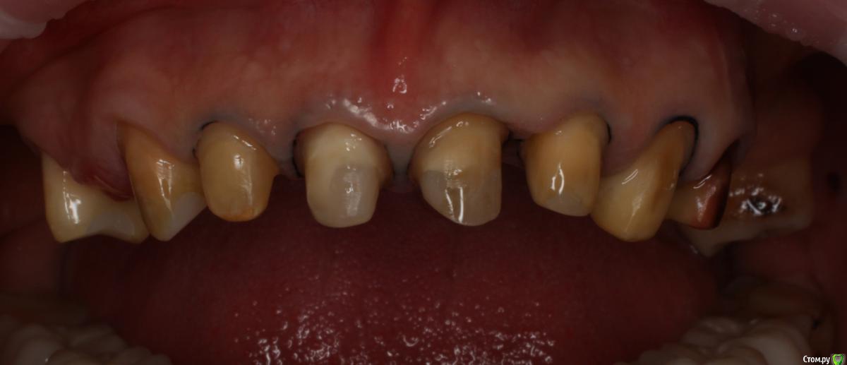
togrul Опубликовано 24 ноября, 2016 Поделиться Опубликовано 24 ноября, 2016 Всем добрый день. работа делась почти 1 год. 7 Ссылка на комментарий
diesel87 Опубликовано 24 ноября, 2016 Поделиться Опубликовано 24 ноября, 2016 Добрый вечер, про рецессию на 33 разговаривали? 1 Ссылка на комментарий
togrul Опубликовано 24 ноября, 2016 Автор Поделиться Опубликовано 24 ноября, 2016 Добрый вечер, про рецессию на 33 разговаривали? Добрый вечер , да разговаривали, хотели закрыть и установить имплантаты . но пациентка отказалась. Ссылка на комментарий
Рекомендуемые сообщения
Для публикации сообщений создайте учётную запись или авторизуйтесь
Вы должны быть пользователем, чтобы оставить комментарий
Создать аккаунт
Зарегистрируйте новый аккаунт в нашем сообществе. Это очень просто!
Регистрация нового пользователяВойти
Уже есть аккаунт? Войти в систему.
Войти