ShallBe Опубликовано 22 ноября, 2016 Поделиться Опубликовано 22 ноября, 2016 Добрый день. Неделю назад удалили 2 зуба мудрости с левой стороны, по показаниям. Врач советует удалять справа тоже, но я не хочу. Они не вылезли и никак не мешают, не "лежат". Врач говорит, что будет неравномерное распределение нагрузки на челюстной сустав, так ли это? Ссылка на комментарий
Bier Опубликовано 22 ноября, 2016 Поделиться Опубликовано 22 ноября, 2016 читайте правила 2 Ссылка на комментарий
red_butler Опубликовано 22 ноября, 2016 Поделиться Опубликовано 22 ноября, 2016 http://forum.stom.ru/topic/20613-sovety-patcientam-obiazatelno-k-prochteniiu/ 1 Ссылка на комментарий
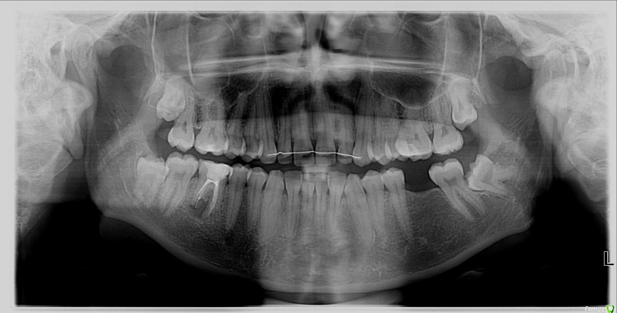
ShallBe Опубликовано 22 ноября, 2016 Автор Поделиться Опубликовано 22 ноября, 2016 Прошу прощения: Ссылка на комментарий
dok1 Опубликовано 23 ноября, 2016 Поделиться Опубликовано 23 ноября, 2016 Лучше убрать. 1 Ссылка на комментарий
Bier Опубликовано 23 ноября, 2016 Поделиться Опубликовано 23 ноября, 2016 да, лучше удалять такой зуб Ссылка на комментарий
red_butler Опубликовано 23 ноября, 2016 Поделиться Опубликовано 23 ноября, 2016 Если жалоб не было, пока бы не трогал. Но это временно, все равно удалять. Ссылка на комментарий
ShallBe Опубликовано 23 ноября, 2016 Автор Поделиться Опубликовано 23 ноября, 2016 Если жалоб не было, пока бы не трогал. Но это временно, все равно удалять. По какой причине? Челюсть перекосит? Буквально? Если они останутся внутри, то как мне объяснили пойдёт видимая ассиметрия с годами, но на миллиметры. Мне это не принципиально и не пугает. Есть какие-то анатомически важные факторы, чтобы удалить зубы мудрости справа? Могут как-то навредить с точки зрения здоровья? Ссылка на комментарий
Bier Опубликовано 24 ноября, 2016 Поделиться Опубликовано 24 ноября, 2016 самая большая опасность, что 8ка испортит рядом стоящий 7й зуб. 2 Ссылка на комментарий
IvanK Опубликовано 24 ноября, 2016 Поделиться Опубликовано 24 ноября, 2016 самая большая опасность, что 8ка испортит рядом стоящий 7й зуб.+1 что приведет к удалению двух зубов (и 7го и 8го).. 1 Ссылка на комментарий
ShallBe Опубликовано 24 ноября, 2016 Автор Поделиться Опубликовано 24 ноября, 2016 самая большая опасность, что 8ка испортит рядом стоящий 7й зуб.спасибо большое. Ссылка на комментарий
Рекомендуемые сообщения
Для публикации сообщений создайте учётную запись или авторизуйтесь
Вы должны быть пользователем, чтобы оставить комментарий
Создать аккаунт
Зарегистрируйте новый аккаунт в нашем сообществе. Это очень просто!
Регистрация нового пользователяВойти
Уже есть аккаунт? Войти в систему.
Войти