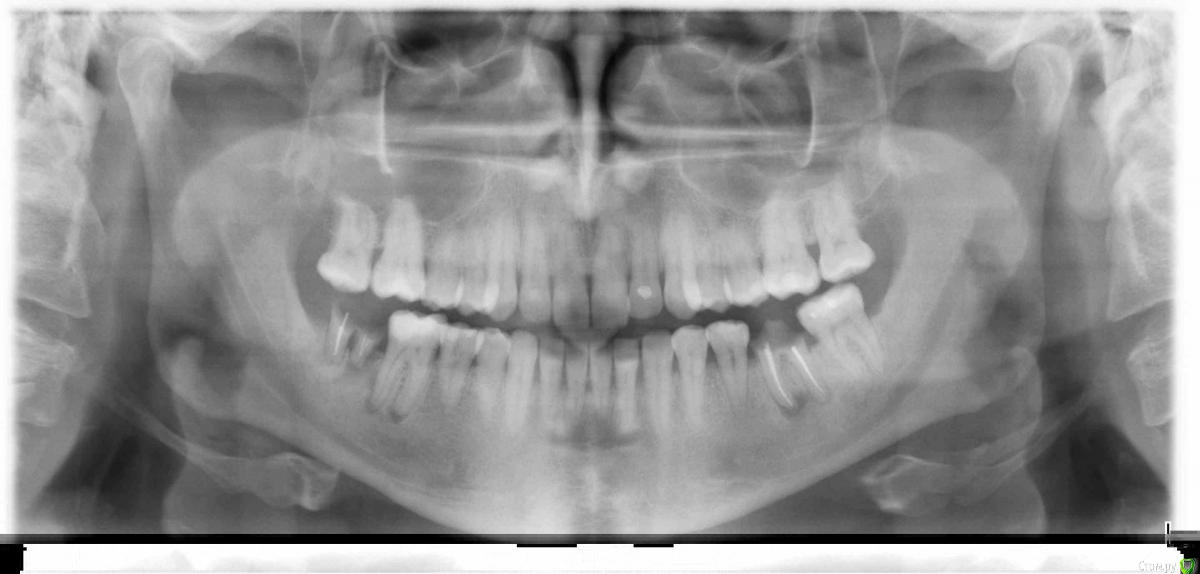
besyaka Опубликовано 21 ноября, 2016 Поделиться Опубликовано 21 ноября, 2016 Здравствуйте! Помогите определить по снимку что лечить, а также на нижней шестерке справа пульпит или нет? Доктор говорит пульпит четыре канала, но зуб не беспокоит, не разрушен, единственное ,что такое ощущение, что как будто немного пошатывается Ссылка на комментарий
red_butler Опубликовано 21 ноября, 2016 Поделиться Опубликовано 21 ноября, 2016 Уже не пульпит 1 Ссылка на комментарий
besyaka Опубликовано 21 ноября, 2016 Автор Поделиться Опубликовано 21 ноября, 2016 в смысле? Ссылка на комментарий
red_butler Опубликовано 21 ноября, 2016 Поделиться Опубликовано 21 ноября, 2016 в смысле?Был пульпит, а сейчас хронический апикальный периодонтит. Ищите врача и лечите каналы. Корни удаляйте. 1 Ссылка на комментарий
besyaka Опубликовано 21 ноября, 2016 Автор Поделиться Опубликовано 21 ноября, 2016 после лечения каналов стоит поставить коронку? Ссылка на комментарий
red_butler Опубликовано 21 ноября, 2016 Поделиться Опубликовано 21 ноября, 2016 после лечения каналов стоит поставить коронку?Да, обязательно 1 Ссылка на комментарий
Рекомендуемые сообщения
Для публикации сообщений создайте учётную запись или авторизуйтесь
Вы должны быть пользователем, чтобы оставить комментарий
Создать аккаунт
Зарегистрируйте новый аккаунт в нашем сообществе. Это очень просто!
Регистрация нового пользователяВойти
Уже есть аккаунт? Войти в систему.
Войти