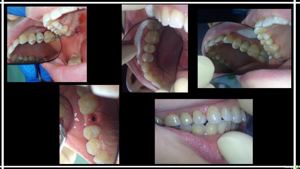
karasov Опубликовано 21 ноября, 2016 Поделиться Опубликовано 21 ноября, 2016 Удален 15, через пару месяцев osstem 3.5-10 ,тк торка не было-заглушка,ушивание. Еще 3 мес, времяшка+сст. Ну и протезирование 7 Ссылка на комментарий
Nazim_NV86 Опубликовано 21 ноября, 2016 Поделиться Опубликовано 21 ноября, 2016 Это временный абатмент подпиленный? Ссылка на комментарий
karasov Опубликовано 21 ноября, 2016 Автор Поделиться Опубликовано 21 ноября, 2016 Это временный абатмент подпиленный?Да. Временный титановый Ссылка на комментарий
bullbull Опубликовано 24 ноября, 2016 Поделиться Опубликовано 24 ноября, 2016 А почему сроки такие?Вроде было имплантация 3-4 мес после удаления и нагрузка 4-6 мес для в/ч.Сейчас сроки пересмотрены? Ссылка на комментарий
karasov Опубликовано 25 ноября, 2016 Автор Поделиться Опубликовано 25 ноября, 2016 А почему сроки такие?Вроде было имплантация 3-4 мес после удаления и нагрузка 4-6 мес для в/ч.Сейчас сроки пересмотрены?После удаления можно хоть сразуВсех ведем 3 мес верх, 2 мес низ.По месяцу/два накидываем, если синуслифт/аугментация или предположим в лунку удаленного крутились. Видео Смбатяна/Габриэляна не смотрели? Ссылка на комментарий
gum Опубликовано 25 ноября, 2016 Поделиться Опубликовано 25 ноября, 2016 Что за видео, можно конкретнее? Ссылка на комментарий
bullbull Опубликовано 25 ноября, 2016 Поделиться Опубликовано 25 ноября, 2016 Да после удаления если торк 40 я и сам нагружаю. Ссылка на комментарий
karasov Опубликовано 25 ноября, 2016 Автор Поделиться Опубликовано 25 ноября, 2016 Да после удаления если торк 40 я и сам нагружаю. Хорошо бы periotest иметь. А так вполне 2 мес после удаления+3 мес после установки имплантата хватает для интеграции Ссылка на комментарий
karasov Опубликовано 25 ноября, 2016 Автор Поделиться Опубликовано 25 ноября, 2016 Что за видео, можно конкретнее?Там ребята завышают торк и имплант готов к нагрузке уже через 1 мес,а то и раньше(на имплантолог.рф есть). А уж через 3 мес без торка почему бы не нагрузить) Ссылка на комментарий
Рекомендуемые сообщения
Для публикации сообщений создайте учётную запись или авторизуйтесь
Вы должны быть пользователем, чтобы оставить комментарий
Создать аккаунт
Зарегистрируйте новый аккаунт в нашем сообществе. Это очень просто!
Регистрация нового пользователяВойти
Уже есть аккаунт? Войти в систему.
Войти