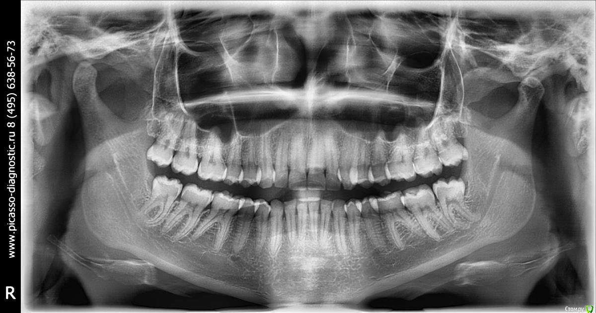
Elena_Mnzh Опубликовано 19 ноября, 2016 Поделиться Опубликовано 19 ноября, 2016 (изменено) 23 года, дистальный прикус,зубы ровные, визуально всё нормально,но челюсть неприятно выпирает. план лечения: удаление н.8ок и верхних 4ок, установка брекетов. Подскажите, пожалуйста, необходимо ли удаления? Я сама понимаю и вижу, что вроде да, но окружение запугивает байками про расхождение зубов или западющий прикус. И второй вопрос:насколько серьёзная проблема? Помогут ли брекеты или есть смысл в хирургическом лечении? И, последнее, какие негативные последствия, если я оставлю прикус в таком же состоянии?Заранее большое спасибо за ответы! Изменено 19 ноября, 2016 пользователем Elena_Mnzh Ссылка на комментарий
IvanK Опубликовано 19 ноября, 2016 Поделиться Опубликовано 19 ноября, 2016 Здравствуйтедля данного раздела нужно больше информации http://forum.stom.ru/topic/4655-patcientam/ 1 Ссылка на комментарий
Elena_Mnzh Опубликовано 19 ноября, 2016 Автор Поделиться Опубликовано 19 ноября, 2016 (изменено) Здравствуйтедля данного раздела нужно больше информации http://forum.stom.ru/topic/4655-patcientam/Спасибо за уточнение, теперь вроде всё есть Изменено 19 ноября, 2016 пользователем Elena_Mnzh Ссылка на комментарий
Yana guapa Опубликовано 23 ноября, 2016 Поделиться Опубликовано 23 ноября, 2016 23 года, дистальный прикус,зубы ровные, визуально всё нормально,но челюсть неприятно выпирает. план лечения: удаление н.8ок и верхних 4ок, установка брекетов.Подскажите, пожалуйста, необходимо ли удаления? Я сама понимаю и вижу, что вроде да, но окружение запугивает байками про расхождение зубов или западющий прикус. И второй вопрос:насколько серьёзная проблема? Помогут ли брекеты или есть смысл в хирургическом лечении? И, последнее, какие негативные последствия, если я оставлю прикус в таком же состоянии?Заранее большое спасибо за ответы!все планы лечения имеют право быть. в каждом из них есть свои плюсы и минусы. выбирать только вам.при удалении верхних четверок профиль у вас еще сильнее ухудшится (не обижайтесь, просто у вас сейчас нижняя челюсть стоит кзади, а потом еще и верхняя губа уйдет. это никак не вписывается в каноны современной красоты с пухлыми губками и тд))) )если НЕ удалять четверки, то свою верхнюю челюсть вы оставляете как есть (только наклон резцов поправить надо), а нижнюю челюсть надо будет поставить в правильное положение. Уж каким способ это будете делать решать вам и вашему врачу (перемещение с помощью брекетов и пружин или хирургия). все взвешивается, рассчитывается и принимается решение.п.с. 8-ки удаляйте, даже если лечится на брекетах не будете (уж очень они у вас высоко в отличии от других зубов прорезались, страдает сустав) Ссылка на комментарий
Elena_Mnzh Опубликовано 27 ноября, 2016 Автор Поделиться Опубликовано 27 ноября, 2016 все планы лечения имеют право быть. в каждом из них есть свои плюсы и минусы. выбирать только вам.при удалении верхних четверок профиль у вас еще сильнее ухудшится (не обижайтесь, просто у вас сейчас нижняя челюсть стоит кзади, а потом еще и верхняя губа уйдет. это никак не вписывается в каноны современной красоты с пухлыми губками и тд))) )если НЕ удалять четверки, то свою верхнюю челюсть вы оставляете как есть (только наклон резцов поправить надо), а нижнюю челюсть надо будет поставить в правильное положение. Уж каким способ это будете делать решать вам и вашему врачу (перемещение с помощью брекетов и пружин или хирургия). все взвешивается, рассчитывается и принимается решение.п.с. 8-ки удаляйте, даже если лечится на брекетах не будете (уж очень они у вас высоко в отличии от других зубов прорезались, страдает сустав) Большое спасибо за ответ!) а перемещение нижней челюсти-это только операция как я понимаю? Ссылка на комментарий
Yana guapa Опубликовано 27 ноября, 2016 Поделиться Опубликовано 27 ноября, 2016 Большое спасибо за ответ!) а перемещение нижней челюсти-это только операция как я понимаю? Уж каким способ это будете делать решать вам и вашему врачу (перемещение с помощью брекетов и пружин или хирургия). все взвешивается, рассчитывается и принимается решение. Ссылка на комментарий
Рекомендуемые сообщения
Для публикации сообщений создайте учётную запись или авторизуйтесь
Вы должны быть пользователем, чтобы оставить комментарий
Создать аккаунт
Зарегистрируйте новый аккаунт в нашем сообществе. Это очень просто!
Регистрация нового пользователяВойти
Уже есть аккаунт? Войти в систему.
Войти