ClayMixer Опубликовано 18 ноября, 2016 Поделиться Опубликовано 18 ноября, 2016 (изменено) Здравствуйте! Вопросы по двум зубам (36 и 26): 1. Киста (36-ой зуб).Консультировалась у нескольких врачей. Мнения разные. От "можно поставить вкладку и коронку на n-ное количество времени до удаления; эту кисту не вылечить", до: "только удаление, желательно быстрее". 1) Можно ли вылечить этот зуб? И каков процент успеха?2) Есть ли смысл лечить зуб и ставить вкладку и коронку или лучше удалить и делать имплант? После того, как 36 зуб подготовили под вкладку - бывали неприятные непонятные ощущения (похожие на импульсы), не острые (длительностью 3 нед.) Вроде после этого времени стали утихать понемногу. 2. Инородное тело (обломок инструмента) в 26-м зубе.Врачи пытались извлечь его (без микроскопа) - безуспешно. Канал, в котором "застрял" инструмент не до конца "пройден".Критично ли это? Какова вероятность воспаления? (теперь патологический страх появления кисты ) Теоретически можно ставить вкладку и коронку? Ходила таким трансформером больше 5-ти лет, не беспокоил вообще. После попыток врачей достать инструмент также бывали неприятные непонятные ощущения (похожие на импульсы), не острые (длительностью 3 нед.) Вроде после этого времени стали утихать. При простукивании коронки обеих зубов болевых ощущений вроде не наблюдалось. Результаты КТ https://cloud.mail.ru/public/Fhy4/ESmeyU9hp Изменено 18 ноября, 2016 пользователем ClayMixer Ссылка на комментарий
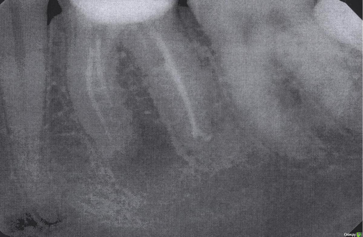
ClayMixer Опубликовано 18 ноября, 2016 Автор Поделиться Опубликовано 18 ноября, 2016 26-ой зуб Ссылка на комментарий
DmitrySH Опубликовано 18 ноября, 2016 Поделиться Опубликовано 18 ноября, 2016 Все это лечится с большой вероятностью успеха. 1 Ссылка на комментарий
IvanK Опубликовано 19 ноября, 2016 Поделиться Опубликовано 19 ноября, 2016 Все это лечится с большой вероятностью успеха. +1 ищите Врачаhttp://forum.stom.ru/topic/4752-posovetujte-terapevta-v-gorode-n/page-39 Ссылка на комментарий
ClayMixer Опубликовано 19 ноября, 2016 Автор Поделиться Опубликовано 19 ноября, 2016 Спасибо большое за ответы и воодушевление. Ссылка на комментарий
IvanK Опубликовано 19 ноября, 2016 Поделиться Опубликовано 19 ноября, 2016 на здоровье, тема закрыта? Ссылка на комментарий
ClayMixer Опубликовано 19 ноября, 2016 Автор Поделиться Опубликовано 19 ноября, 2016 Есть еще несколько вопросов. Может быть имеет смысл удалить зуб и поставить имплант за ту же сумму в которую обойдется лечение + вкладка + коронка? В чем преимущество, чтобы сохранить свой зуб? Ссылка на комментарий
IvanK Опубликовано 19 ноября, 2016 Поделиться Опубликовано 19 ноября, 2016 в том, что зуб там уже стоит, а имплантат нужно ставить Ссылка на комментарий
ClayMixer Опубликовано 20 ноября, 2016 Автор Поделиться Опубликовано 20 ноября, 2016 Спасибо еще раз всем за ответы. Тему можно закрыть. Ссылка на комментарий
Рекомендуемые сообщения