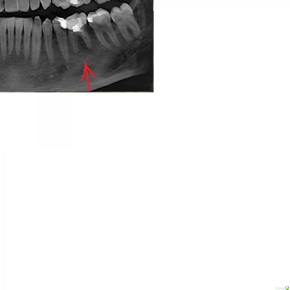
константинgh Опубликовано 17 ноября, 2016 Поделиться Опубликовано 17 ноября, 2016 (изменено) врач сказал, что надо удалять но насмотревшись роликов на youtube понял, что даже самую сложную кисту можно вылечить (можеть быть сложно, но все-таки лучше чем имплант)и еще такой момент записали на диск снимок но открывается лишь изображение в левом верхнем углу нет 3D изображения Изменено 17 ноября, 2016 пользователем константинgh Ссылка на комментарий
DmitrySH Опубликовано 17 ноября, 2016 Поделиться Опубликовано 17 ноября, 2016 Снимок мелковат. Попробуйте сделать крупнее. 1 Ссылка на комментарий
dok1 Опубликовано 18 ноября, 2016 Поделиться Опубликовано 18 ноября, 2016 Всё же склоняюсь к удалению. Позже имплант. 1 Ссылка на комментарий
IvanK Опубликовано 18 ноября, 2016 Поделиться Опубликовано 18 ноября, 2016 Всё же склоняюсь к удалению. Позже имплант.я тоже Ссылка на комментарий
константинgh Опубликовано 18 ноября, 2016 Автор Поделиться Опубликовано 18 ноября, 2016 (изменено) Всё же склоняюсь к удалению. Позже имплант.то есть совсем все плохо, просто видел как безнадежный зуб удавалось спасти объясните как обычному человеку какие все такие есть варианты леченияможет дело в мастерстве врача, просто не все берутся за сложные случаи и не дают 100% гарантии, но все же это шанс, а не удаление Изменено 18 ноября, 2016 пользователем константинgh Ссылка на комментарий
dok1 Опубликовано 18 ноября, 2016 Поделиться Опубликовано 18 ноября, 2016 Дело хозяйское. Ссылка на комментарий
Доктор Хаус Опубликовано 18 ноября, 2016 Поделиться Опубликовано 18 ноября, 2016 (изменено) Не вкладывайте средства в не надежные способы лечения этого зуба. Имплантация самый надежный и прогнозируемый способ восстановления утраченного зуба. Изменено 18 ноября, 2016 пользователем Доктор Хаус Ссылка на комментарий
Рекомендуемые сообщения
Для публикации сообщений создайте учётную запись или авторизуйтесь
Вы должны быть пользователем, чтобы оставить комментарий
Создать аккаунт
Зарегистрируйте новый аккаунт в нашем сообществе. Это очень просто!
Регистрация нового пользователяВойти
Уже есть аккаунт? Войти в систему.
Войти