alexkirs Опубликовано 12 ноября, 2016 Поделиться Опубликовано 12 ноября, 2016 Добрый день. У меня на 6 снизу нашли крупную кисту. Врач сказал, что можно полечить, но вероятность, что лечение поможет процентов 10 не больше. Лечение получается достаточно дорогое, вот и думаю стоит ли тратить деньги на неясный результат или проще сразу удалить зуб. Помогите сделать выбор, пожалуйста. Панорамный снимок в приложении. Ссылка на КТ https://yadi.sk/d/BAV8sEZHyUwxmСпасибо Ссылка на комментарий
DmitrySH Опубликовано 12 ноября, 2016 Поделиться Опубликовано 12 ноября, 2016 Успех лечения не 100%, но уж точно больше 10 Ссылка на комментарий
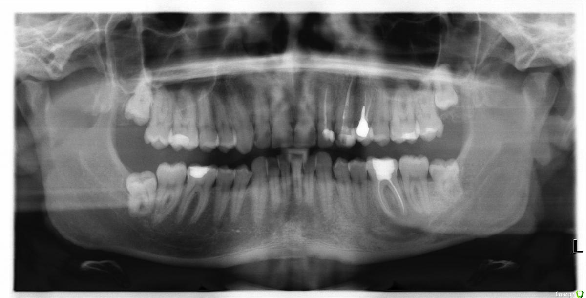
St. Опубликовано 12 ноября, 2016 Поделиться Опубликовано 12 ноября, 2016 Выложу скрины приложенного КТ. Так ответов будет больше. Есть пропущенный канал в 6 зубе. И нужно проверить на жизнеспособность соседний 7. Я бы рекомендовала попробвать перелечить и понаблюдать. Но Вы должны для себя понимать что перелечивание каналов очень сложная, дорогая и непрогнозируемая процедура. Хотя вероятность успеха достаточно высока. Если хотите гарантий - тогда удаление и имплант как восстановится кость. Еще хорошо бы знать как давно лечили каналы в этом зубе, как он вел себя после лечения, беспокоит ли сейчас? 2 Ссылка на комментарий
DmitrySH Опубликовано 12 ноября, 2016 Поделиться Опубликовано 12 ноября, 2016 Все верно написала.Отвлекусь от "кисты" на ОПТГ, что с 11,21? артефакты? Ссылка на комментарий
St. Опубликовано 12 ноября, 2016 Поделиться Опубликовано 12 ноября, 2016 11, 21 по кт без особенностей. Так что артефакты скорее всего. В 23( левый клык) есть тоже воспаление на корне. Нужно планово перелечиавать. Ссылка на комментарий
DmitrySH Опубликовано 12 ноября, 2016 Поделиться Опубликовано 12 ноября, 2016 (изменено) По оптг и 22 тоже требует ревизии Изменено 12 ноября, 2016 пользователем DmitrySH Ссылка на комментарий
alexkirs Опубликовано 13 ноября, 2016 Автор Поделиться Опубликовано 13 ноября, 2016 Выложу скрины приложенного КТ. Так ответов будет больше. Есть пропущенный канал в 6 зубе. И нужно проверить на жизнеспособность соседний 7. Я бы рекомендовала попробвать перелечить и понаблюдать. Но Вы должны для себя понимать что перелечивание каналов очень сложная, дорогая и непрогнозируемая процедура. Хотя вероятность успеха достаточно высока. Если хотите гарантий - тогда удаление и имплант как восстановится кость. Еще хорошо бы знать как давно лечили каналы в этом зубе, как он вел себя после лечения, беспокоит ли сейчас? Большое спасибо за ответы.Каналы лечил где-то 2 года назад, после лечения, где-то через полгода надулась десна и гной выходит периодически через свищ. Боли нет. На счет 22 и 23 там все понятно, их лечу сейчас. А вот что делать с 6? Вы считаете, что стоит попробовать лечить? Ссылка на комментарий
St. Опубликовано 13 ноября, 2016 Поделиться Опубликовано 13 ноября, 2016 А вот что делать с 6? Вы считаете, что стоит попробовать лечить? Шансы на успех есть. А вот готовы ли Вы рискнуть и попробовать - решать вам. Только нужен хороший доктор, для которого вероятность успеха не 10%.Попробуйте поискать на форуме как вариант. Единственное что можно потерять в итоге - это финансы на перелечивание. Хуже для организма не сделаете. Ссылка на комментарий
Гарриевич Опубликовано 13 ноября, 2016 Поделиться Опубликовано 13 ноября, 2016 Шансы на успех лечения "кисты" в Вашем случае процентов 90. То, что вы описали характеризует лечение как неадекватное. Имплантация в данном случае будет отсроченная и потеря костной ткани будет приличная Ссылка на комментарий
alexkirs Опубликовано 13 ноября, 2016 Автор Поделиться Опубликовано 13 ноября, 2016 Спасибо за ответы Ссылка на комментарий
Рекомендуемые сообщения
Для публикации сообщений создайте учётную запись или авторизуйтесь
Вы должны быть пользователем, чтобы оставить комментарий
Создать аккаунт
Зарегистрируйте новый аккаунт в нашем сообществе. Это очень просто!
Регистрация нового пользователяВойти
Уже есть аккаунт? Войти в систему.
Войти