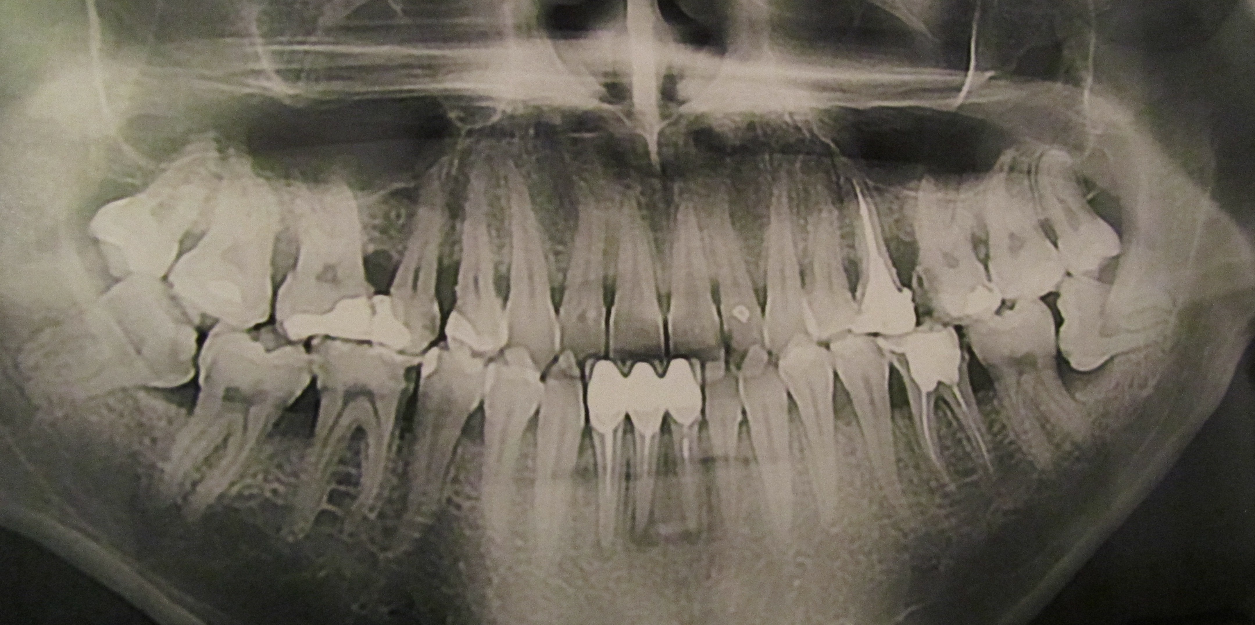
paradontit Опубликовано 12 ноября, 2016 Поделиться Опубликовано 12 ноября, 2016 Снимок в 2013 годуСнимок в этом году, лечения не было никакогоДорогие парадонтологи, посоветуйте метод лечегия в данной ситуации. Очень интересуют независимые мнения. Ссылка на комментарий
St. Опубликовано 12 ноября, 2016 Поделиться Опубликовано 12 ноября, 2016 Загрузите пожалуйста снимки в большем разрешении. 4 Ссылка на комментарий
paradontit Опубликовано 14 ноября, 2016 Автор Поделиться Опубликовано 14 ноября, 2016 (изменено) Прошу прощения, перезалил.https://www.upload.ee/image/6349031/2013.JPGhttps://www.upload.ee/image/6349033/2016.JPG Изменено 14 ноября, 2016 пользователем paradontit Ссылка на комментарий
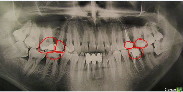
shishok Опубликовано 14 ноября, 2016 Поделиться Опубликовано 14 ноября, 2016 А восьмые почему не убираете? 2 Ссылка на комментарий
paradontit Опубликовано 14 ноября, 2016 Автор Поделиться Опубликовано 14 ноября, 2016 (изменено) Ничего не болит. А что они на свои места не станут? По снимку кажется, что даже |_8 потихоньку выравнивается.Уточните, какие 8-ки надо убирать, насколько это необходимо и почему. Изменено 14 ноября, 2016 пользователем paradontit Ссылка на комментарий
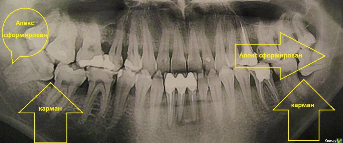
___49___ Опубликовано 14 ноября, 2016 Поделиться Опубликовано 14 ноября, 2016 Ваши нижние 8 ки не встанут в правильную позицию, неверное положение с упором в соседние зубы + их основной рост уже прекратился, между 8ками и 7ками сформирован карман который не возможно прочистить (принцип бутылки) - это приводит к возникновению кариеса (47 зуб уже необходимо осматривать по дистальной стенке ) или воспалению . Удаляйте. 1 Ссылка на комментарий
paradontit Опубликовано 14 ноября, 2016 Автор Поделиться Опубликовано 14 ноября, 2016 Что с парадонтитом делать? Ссылка на комментарий
Stomart Опубликовано 14 ноября, 2016 Поделиться Опубликовано 14 ноября, 2016 Что с парадонтитом делать?1) Снять назубные отложения (зубной камень) 2) Сделать нормальные межзубные контакты (поменять залипухи на нормальные пломбы или коронки) 2 Ссылка на комментарий
St. Опубликовано 14 ноября, 2016 Поделиться Опубликовано 14 ноября, 2016 Плюс к выше описанным рекомендациям обратите внимание на нижние центральные зубы под коронками. На них идет хроническое воспаление на корнях вследствие не идеально пролеченых каналов 2 Ссылка на комментарий
paradontit Опубликовано 15 ноября, 2016 Автор Поделиться Опубликовано 15 ноября, 2016 (изменено) поменять залипухи на нормальные пломбы или коронки Какие зубы имеете ввиду? Стоматолог говорит о невозможности пока делать межзубные контакты из-за парадонтита и сильной кровоточивости.Направляет на кюретаж к парадонтологу. Костные карманы мол большие, десна в ужасном состоянии, кость уходит. Какая стадия парадонтита? Возможно ли его вылечить? Или можно только остановить? Карманы же нужно чистить? Какой метод и для каких зубов подходит? Открытый/закрытый кюретаж, Вектор, фотодинамические процедуры? Нужно объективное мнение, чтоб не остаться без зубов и еще и без денег. Не представляю, что с воспалением на корнях можно делать? Коронки ношу чуть больше пяти лет. Неужели необходимо их сдалбливать, заново лечить каналы, делать новые коронки? Это нужно делать срочно или когда будет беспокоить? Изменено 15 ноября, 2016 пользователем paradontit Ссылка на комментарий
red_butler Опубликовано 15 ноября, 2016 Поделиться Опубликовано 15 ноября, 2016 Какая стадия парадонтита? Для определения степени, нужен очный осмотр и зондирование, только по ОПГ тянет на среднюю степень. Возможно ли его вылечить? можно стабилизировать Какой метод и для каких зубов подходит? Открытый/закрытый кюретаж, Вектор, фотодинамические процедуры? нужен очный осмотр Не представляю, что с воспалением на корнях можно делать? Коронки ношу чуть больше пяти лет. снять коронки и перелечивать. Ссылка на комментарий
paradontit Опубликовано 15 ноября, 2016 Автор Поделиться Опубликовано 15 ноября, 2016 только по ОПГ тянет на среднюю степень Почему же мне выше рекомендовали только чистку зубного камня? Какие методы лечения в принципе могут использоваться на средней степени? Ссылка на комментарий
red_butler Опубликовано 15 ноября, 2016 Поделиться Опубликовано 15 ноября, 2016 Почему же мне выше рекомендовали только чистку зубного камня? Какие методы лечения в принципе могут использоваться на средней степени?это тот минимум с которого Вы начнете, для начала нужно снять обострение Ссылка на комментарий
paradontit Опубликовано 15 ноября, 2016 Автор Поделиться Опубликовано 15 ноября, 2016 снять коронки и перелечивать. Это нужно делать срочно или когда будет беспокоить? Речь о всех трех зубах под коронкой? Ссылка на комментарий
red_butler Опубликовано 15 ноября, 2016 Поделиться Опубликовано 15 ноября, 2016 Это нужно делать срочно или когда будет беспокоить? Речь о всех трех зубах под коронкой?тянуть не стоит, но начинайте с пародонта Ссылка на комментарий
paradontit Опубликовано 15 ноября, 2016 Автор Поделиться Опубликовано 15 ноября, 2016 На них идет хроническое воспаление на корнях вследствие не идеально пролеченых каналов На всех трёх по коронкой? Еще с 2013 года? Ссылка на комментарий
paradontit Опубликовано 15 ноября, 2016 Автор Поделиться Опубликовано 15 ноября, 2016 (изменено) Удивляет, что никто из докторов, которым я показывался не говорил ни о восьмерках, ни о воспалении. Изменено 15 ноября, 2016 пользователем paradontit Ссылка на комментарий
red_butler Опубликовано 15 ноября, 2016 Поделиться Опубликовано 15 ноября, 2016 На всех трёх по коронкой? да Ссылка на комментарий
vrachevoprositel Опубликовано 15 ноября, 2016 Поделиться Опубликовано 15 ноября, 2016 (изменено) Столкнулся с тем, что если у врача нет возможности делать Вектор или фотодинамику, или кюретаж, то назначает, то, что ему доступно. Сколько врачей, столько и мнений, но можно же хотя бы отбросить ошибочные... Изменено 15 ноября, 2016 пользователем vrachevoprositel Ссылка на комментарий
IvanK Опубликовано 15 ноября, 2016 Поделиться Опубликовано 15 ноября, 2016 Удивляет, что никто из докторов, которым я показывался не говорил ни о восьмерках, ни о воспалении. тогда следует продолжить поиски Врача Ссылка на комментарий
paradontit Опубликовано 15 ноября, 2016 Автор Поделиться Опубликовано 15 ноября, 2016 (изменено) Вот состояние десен https://www.upload.ee/image/6352351/IMG_2734_.JPGМожет сможете посоветовать метод лечения?Судя по панорамным снимкам, как изменилось состояние? Изменено 15 ноября, 2016 пользователем paradontit Ссылка на комментарий
IvanK Опубликовано 15 ноября, 2016 Поделиться Опубликовано 15 ноября, 2016 Вам же уже советовали..1) Снять назубные отложения (зубной камень) 2) Сделать нормальные межзубные контакты (поменять залипухи на нормальные пломбы или коронки) Ссылка на комментарий
paradontit Опубликовано 15 ноября, 2016 Автор Поделиться Опубликовано 15 ноября, 2016 (изменено) Я, к сожалению, не узнал, в каких зубах у меня залипухи (кроме зубов под коронкой). И очень важно понять, что делать с костными карманами, чтобы карманы одежды не выворачивать зря. Снять камень - это само собой, но применим ли здесь Вектор или какой нужен кюретаж - не ясно. Не зная этого, как я смогу найти Врача? Еще слышал, что если костные карманы не вычистить полностью, то будет еще хуже. Изменено 15 ноября, 2016 пользователем paradontit Ссылка на комментарий
St. Опубликовано 15 ноября, 2016 Поделиться Опубликовано 15 ноября, 2016 Я, к сожалению, не узнал, в каких зубах у меня залипухи (кроме зубов под коронкой). На первый взгляд, как минимум эти. Ссылка на комментарий
St. Опубликовано 15 ноября, 2016 Поделиться Опубликовано 15 ноября, 2016 Снять камень - это само собой, но применим ли здесь Вектор или какой нужен кюретаж - не ясно. Лучше кюретаж (какой контретно можно решить только после очного осмотра ) 2 Ссылка на комментарий
Рекомендуемые сообщения
Для публикации сообщений создайте учётную запись или авторизуйтесь
Вы должны быть пользователем, чтобы оставить комментарий
Создать аккаунт
Зарегистрируйте новый аккаунт в нашем сообществе. Это очень просто!
Регистрация нового пользователяВойти
Уже есть аккаунт? Войти в систему.
Войти