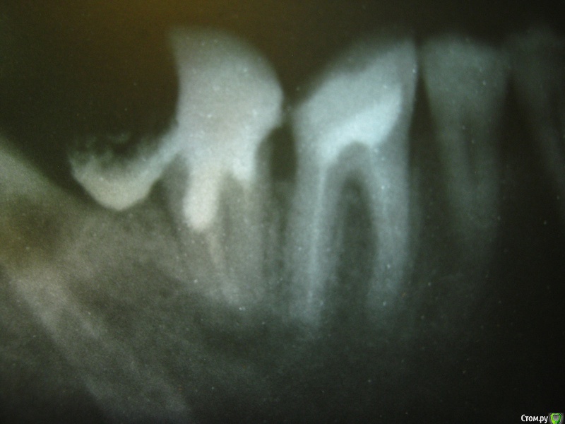
Katico Опубликовано 11 ноября, 2016 Поделиться Опубликовано 11 ноября, 2016 История началась с нижней лежачей восьмерки, которая упиралась в семерку. Семерка при этом не беспокоила. 8 сказали удалять, так как он уже был с кариесом и портил семерку. Удалила. Врач после удаления сказала, что 7 зуб надо переделать, так как он из-за 8 подгнил. (полтора года назад эта семерка была перелечена (не беспокоила, просто откололся маленький краешек ), пломбу поставили на штифты).После заживления лунки от 8 зуба я пошла переделывать 7. Там, где в него упирался 8 зуб была дыра и она затянулась десной. К сожалению не сделали снимок. Все это стали вскрывать, прижигали, долго сверлили, так как зуб сильно разрушился, искали видимо твердую ткань. Десна продолжала кровить, и врач сказала, что тут все плохо видно, что постоянную пломбу делать нет смысла, поставила временную и сказала, что скорее всего все заболит, щеку раздует и только на удаление. но если болеть не будет, то через неделю поставит постоянную.Я не хочу терять этот зуб и поэтому, когда он начал сильно болеть (через 2 дня) но щеку не раздуло, я не пошла на удаление. Сначала пила пенталгин, потом подключила доксициклин. антибиотик стал помогать. Я снова пришла к врачу стала требовать снимок, но она настаивала на удалении. снимок сделали. Она сказала, что киста и воспаление и нужно срочно удалять, прямо сейчас, убрала временную пломбу, но на удаление я не согласилась. Я ушла подумать. Пошла к другому врачу, которая мне ставила на него штифты, она тоже подтвердила удаление, но если после антибиотика успокоится, то может еще постоять, но переделывать, убирать штифты, лечить кисту, она не согласилась. по снимку вижу, что каналы пройдены не до конца, но она считает, что все правильно.Я поняла, что специалистов у нас нет, но зуб сохранить хочется. Подскажите, есть ли у него шансы? стоит ли искать специалиста в другом городе (ближе к нам Нижний Новгород)?И еще вопрос: что же так сильно болело? Неужели киста? или это просто воспаление, так как зуб побеспокоили и сверлили? и может ли антибиотик полностью воспаление убрать? и кроме этого еще возможно не все подгнившее убрали со стороны восьмерки, там же процесс продолжится, а сверху снова десной затянется. Как же тут быть?Очень переживаю за зуб, надеюсь на ваши советы. Ссылка на комментарий
red_butler Опубликовано 11 ноября, 2016 Поделиться Опубликовано 11 ноября, 2016 Я бы рекомендовал с зубом прощаться 1 Ссылка на комментарий
DmitrySH Опубликовано 11 ноября, 2016 Поделиться Опубликовано 11 ноября, 2016 7ой зуб останется ненадежным даже после успешного перелечивания. А вот 6-то зуб надо бы перелечить и покрыть коронкой 2 Ссылка на комментарий
Katico Опубликовано 13 ноября, 2016 Автор Поделиться Опубликовано 13 ноября, 2016 7ой зуб останется ненадежным даже после успешного перелечивания. А вот 6-то зуб надо бы перелечить и покрыть коронкойСпасибо за ответ. 7ой зуб останется ненадежным - это значит что с ним может случиться? Ссылка на комментарий
Петр Бриньковский Опубликовано 13 ноября, 2016 Поделиться Опубликовано 13 ноября, 2016 Здравствуйте! Ну во-первых, даже если удастся перелечить этот зубик(что займет достаточно долгое время и не факт , что все будет ок впоследствии), то корневые каналы Вам так распахали под штифты, что если перелечивать и устанавливать туда что-то по новому , то от стенок корня мало что останется(перелом стенок корня), да и потом Вы во все это вложете столько денег, что проще установить имплантант с прогнозируемым результатом Ссылка на комментарий
Рекомендуемые сообщения
Для публикации сообщений создайте учётную запись или авторизуйтесь
Вы должны быть пользователем, чтобы оставить комментарий
Создать аккаунт
Зарегистрируйте новый аккаунт в нашем сообществе. Это очень просто!
Регистрация нового пользователяВойти
Уже есть аккаунт? Войти в систему.
Войти