Перейти к содержанию
Стоматология для всех

Прошу проконсультировать по плану лечения.


Рекомендуемые сообщения

Добрый день.

 

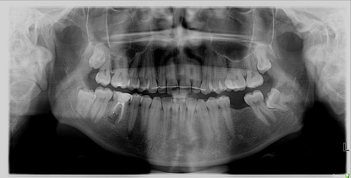
Что имею:

10 лет назад удален 6 нижний зуб слева (верхняя шестёрка за это время опустилась, снизу "лёг" восьмой зуб и "таранит" седьмой). Так же давно плохой 6 нижний зуб справа, долго лечила его, не вылечили. Сейчас под ним киста и его на удаление. В дальнейшем собираюсь поставить 2 импланта на обе шестёрки снизу.
Сначала боялась имплантации, потом подряд родила троих детей (всё время были противопоказания). Сейчас младшему 5 мес, кормлю (это тоже к вопросу о противопоказании).

 

Какой план лечения предложили:

За один день предлагается удалить 2 восьмых зуба слева, утром выпить «Амоксиклав» и пропить ещё 5 дней (при лактации можно).
Через 3-4 недели предлагается за один день удалить 6 зуб снизу справа, удалить под ним же кисту, сразу внедрить имплант. Наблюдать и ждать, пока приживётся, затем коронку. Следом надеваю брекет-систему (это наверное в тему к ортодонтам, но я допишу целиком уже клиническую картину), подтягиваю верхнюю просевшую шестёрку слева и заодно ставят пружину снизу, чтобы немного раздвинуть место под имплант между 7 и 5 зубами слева снизу. Попутно с брекет-системой через продолжительное время снизу слева на шестёрку ставится второй имплант. И последним этапом удалят 2 восьмёрки справа (обязательно?).

 

Читала про отторжение имплантов во время лактации, но врач сказал, что "это решается таким-то препаратом, и тогда всё отлично приживается и с сахарным диабетом и при лактации и при некоторых прочих противопоказаниях". Звучало неубедительно, но я могу ошибаться. В целом не велика ли нагрузка всё одно за другим делать или лучше подождать?

post-49636-0-40102400-1478855581_thumb.jpg

Ссылка на комментарий

Для публикации сообщений создайте учётную запись или авторизуйтесь

Вы должны быть пользователем, чтобы оставить комментарий

Создать аккаунт

Зарегистрируйте новый аккаунт в нашем сообществе. Это очень просто!

Регистрация нового пользователя

Войти

Уже есть аккаунт? Войти в систему.

Войти
×
×
  • Создать...
Вверх