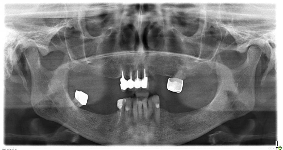
bombazook Опубликовано 8 ноября, 2016 Поделиться Опубликовано 8 ноября, 2016 (изменено) Здравствуйте. Ищем клинику и пытаемся определиться с направлением лечения у матери. Пациентке 67 лет.На верхней челюсти оставшиеся передние зубы болят, нижние передние из-за старого протеза сместились и шатаются.На посещении у имплантолога и ортопеда имплантолог отметил, что снимок плохой, определить по нему ничего невозможно и, соответственно, не дал понять предлагаемый план лечения и вообще удивился желанию пациентки за 60 получить в итоге не шатающиеся стабильные конструкции и имплантаты. Более того, почему-то всё время возникал вопрос "что вы сами хотите получить".Неужели тут всё так безнадёжно, что человек заслужил такое отношение?На полный рот astra-tech бюджета не хватит, да и не в цене проблема. Рассчитываем на средней цены имплантаты, устанавливаемые с соблюдением всех регламентов (шаблоны, рекомендации производителей и пр) и частичное протезирование.Никак не можем понять даже приблизительную нижнюю границу по травматичности, количеству хирургических манипуляций и разумные ожидания по цене и, самое главное, не можем найти клинику для подобного полного и разумного курса лечения.Очень хочется узнать экспертное мнение и получить совет по порядку действий. Спасибо. Изменено 8 ноября, 2016 пользователем bombazook Ссылка на комментарий
IvanK Опубликовано 9 ноября, 2016 Поделиться Опубликовано 9 ноября, 2016 Все возможно Нужно сделать кт с рг -шаблоном и , на совместной консультации с хирургом и ортопедом, все решить Ссылка на комментарий
M@estro Опубликовано 9 ноября, 2016 Поделиться Опубликовано 9 ноября, 2016 Вам просто нужна другая команда врачей, вот и всё. Ортопед составит план протезирования, хирург сделает свое дело - и спустя определенное количество времени и усилий Вы получите протезы ( Ваша мама) . Ситуация почти банальная, честное слово, не знаю, что могло вызвать трудности у доктора. 3 Ссылка на комментарий
Evikrol Опубликовано 9 ноября, 2016 Поделиться Опубликовано 9 ноября, 2016 Не пациент а подарок. Ссылка на комментарий
dok1 Опубликовано 10 ноября, 2016 Поделиться Опубликовано 10 ноября, 2016 По моему всё не дурно. Корейские импланты - золотая середина. Ссылка на комментарий
Nazim_NV86 Опубликовано 24 ноября, 2016 Поделиться Опубликовано 24 ноября, 2016 Ничего так для 67 лет. Некоторые в 40 такие панорамки приносят. Не забудьте подробно заполнить анкету. Ссылка на комментарий
Рекомендуемые сообщения
Для публикации сообщений создайте учётную запись или авторизуйтесь
Вы должны быть пользователем, чтобы оставить комментарий
Создать аккаунт
Зарегистрируйте новый аккаунт в нашем сообществе. Это очень просто!
Регистрация нового пользователяВойти
Уже есть аккаунт? Войти в систему.
Войти