Военный Врач Опубликовано 8 ноября, 2016 Поделиться Опубликовано 8 ноября, 2016 На ваш суд немного сст 3 1 Ссылка на комментарий
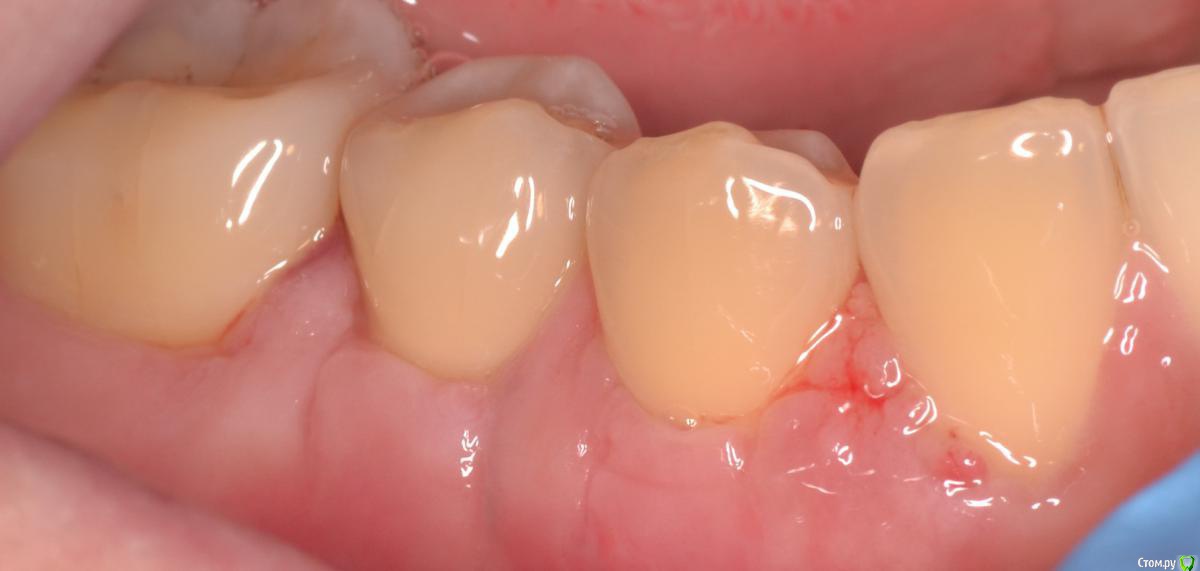
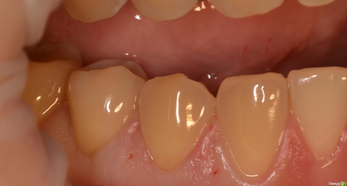
Популярный пост stommm Опубликовано 8 ноября, 2016 Популярный пост Поделиться Опубликовано 8 ноября, 2016 не понял по фото, а зачем это было нужно? биотип не тонкий, рецессии тоже не вижу на фото... 20 Ссылка на комментарий
IvanK Опубликовано 9 ноября, 2016 Поделиться Опубликовано 9 ноября, 2016 Может фото ДО нет? Ссылка на комментарий
Тимур86 Опубликовано 9 ноября, 2016 Поделиться Опубликовано 9 ноября, 2016 А что за швы на нёбе? Ссылка на комментарий
Macor Опубликовано 9 ноября, 2016 Поделиться Опубликовано 9 ноября, 2016 А что за швы на нёбе?Сст он от туда брал Ссылка на комментарий
kamranchick Опубликовано 9 ноября, 2016 Поделиться Опубликовано 9 ноября, 2016 Сст он от туда бралТимур наверное имел ввиду какой шовный)) 2 Ссылка на комментарий
Павел7809 Опубликовано 9 ноября, 2016 Поделиться Опубликовано 9 ноября, 2016 Операция ради операции...Меня всегда интересовало - а собственно как пациента на убеждают в необходимости этих манипуляций.... 4 Ссылка на комментарий
diesel87 Опубликовано 9 ноября, 2016 Поделиться Опубликовано 9 ноября, 2016 Может фото ДО нет?Фото ДО самое первое кмк Ссылка на комментарий
diesel87 Опубликовано 9 ноября, 2016 Поделиться Опубликовано 9 ноября, 2016 Саша, расскажи подробнее про манипуляции, зачем и почему так? Фото нёба на снятии швов есть? Ссылка на комментарий
zzkz Опубликовано 10 ноября, 2016 Поделиться Опубликовано 10 ноября, 2016 Тимур наверное имел ввиду какой шовный))Наверно он имел ввиду как делать этот шов или его название))Ваши ставки господа Ссылка на комментарий
IvanK Опубликовано 10 ноября, 2016 Поделиться Опубликовано 10 ноября, 2016 Фото ДО самое первое кмктогда, я бы не делал операцию Ссылка на комментарий
Евгений Ходыкин Опубликовано 10 ноября, 2016 Поделиться Опубликовано 10 ноября, 2016 Смею предположить, что там Супрамид 5-0. Забор по Цуру))) Ссылка на комментарий
Военный Врач Опубликовано 10 ноября, 2016 Автор Поделиться Опубликовано 10 ноября, 2016 Саша, расскажи подробнее про манипуляции, зачем и почему так? Фото нёба на снятии швов есть?небо обычное- не рубцов- ни ям. все красиво.небо не фотаю. рецесси на 45,44 похоже видел только я. ну да ладно. лоскут вводил тоннелем от 43 по 46 Ссылка на комментарий
Военный Врач Опубликовано 10 ноября, 2016 Автор Поделиться Опубликовано 10 ноября, 2016 Смею предположить, что там Супрамид 5-0. Забор по Цуру)))все верно Ссылка на комментарий
Тимур86 Опубликовано 10 ноября, 2016 Поделиться Опубликовано 10 ноября, 2016 Тимур имел ввиду методику наложения данного шва)) Ссылка на комментарий
red_butler Опубликовано 10 ноября, 2016 Поделиться Опубликовано 10 ноября, 2016 Тоже показаний не увидел Ссылка на комментарий
Рекомендуемые сообщения
Для публикации сообщений создайте учётную запись или авторизуйтесь
Вы должны быть пользователем, чтобы оставить комментарий
Создать аккаунт
Зарегистрируйте новый аккаунт в нашем сообществе. Это очень просто!
Регистрация нового пользователяВойти
Уже есть аккаунт? Войти в систему.
Войти