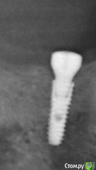
Dark Destroyer Опубликовано 7 ноября, 2016 Поделиться Опубликовано 7 ноября, 2016 Уважаемые форумчане,подскажите пожалуйста,это формирователи от Osstem стоят на имплантатах? Ссылка на комментарий
kamranchick Опубликовано 7 ноября, 2016 Поделиться Опубликовано 7 ноября, 2016 Уважаемые форумчане,подскажите пожалуйста,это формирователи от Osstem стоят на имплантатах?Неа.Не они. Ссылка на комментарий
Dark Destroyer Опубликовано 7 ноября, 2016 Автор Поделиться Опубликовано 7 ноября, 2016 Неа.Не они.А от какой системы стоят,не знаете? Ссылка на комментарий
sgeorge Опубликовано 7 ноября, 2016 Поделиться Опубликовано 7 ноября, 2016 А от какой системы стоят,не знаете?Похожи на Dentium 2 Ссылка на комментарий
Dark Destroyer Опубликовано 7 ноября, 2016 Автор Поделиться Опубликовано 7 ноября, 2016 Похожи на DentiumАаа,спасибо. Не критично если они будут стоять вместо родных осстемовских? Ссылка на комментарий
red_butler Опубликовано 7 ноября, 2016 Поделиться Опубликовано 7 ноября, 2016 +1 к дентиуму, покажите фото. Я бы перекрутил, на rg, формики перекошенные. Ссылка на комментарий
Dark Destroyer Опубликовано 7 ноября, 2016 Автор Поделиться Опубликовано 7 ноября, 2016 +1 к дентиуму, покажите фото. Я бы перекрутил, на rg, формики перекошенные.К сожалению перекрутить нет возможности, пациент в отъезде. Ну а то, что стоят формики от дентиума ничего же критичного? Ссылка на комментарий
Nazim_NV86 Опубликовано 7 ноября, 2016 Поделиться Опубликовано 7 ноября, 2016 Почему вы решили что они не осстем?Сфотографировали бы торцевую часть, я бы вам точно сказал.На осстемах последних 2-3 лет там должно быть написано (судя по размерам) 5 H5. Ссылка на комментарий
dok1 Опубликовано 8 ноября, 2016 Поделиться Опубликовано 8 ноября, 2016 На DIO похожи. Ссылка на комментарий
Nazim_NV86 Опубликовано 8 ноября, 2016 Поделиться Опубликовано 8 ноября, 2016 Видать все "корейцы" похожи Ссылка на комментарий
bullbull Опубликовано 8 ноября, 2016 Поделиться Опубликовано 8 ноября, 2016 Вы ставили формики?На осстеме шестигранник 1,2 мм, у дентиума и аналогов 1,25. Ссылка на комментарий
Dark Destroyer Опубликовано 9 ноября, 2016 Автор Поделиться Опубликовано 9 ноября, 2016 Вы ставили формики?На осстеме шестигранник 1,2 мм, у дентиума и аналогов 1,25.Нет,ставил не я. Снимок мне скинули и сомнения пошли насчёт того,что это осстемовские формики. Ссылка на комментарий
Dark Destroyer Опубликовано 9 ноября, 2016 Автор Поделиться Опубликовано 9 ноября, 2016 Всем спасибо за ответы. У меня ещё один вопрос. Это очень критично, что на осстем стоят формики от дентиума? Есть ли какой-нибудь вред от этого? Ссылка на комментарий
kamranchick Опубликовано 9 ноября, 2016 Поделиться Опубликовано 9 ноября, 2016 Всем спасибо за ответы. У меня ещё один вопрос. Это очень критично, что на осстем стоят формики от дентиума? Есть ли какой-нибудь вред от этого?Если недолго будут стоять то ничего страшного... постарайтесь или протезировать побыстрее либо поставить родной или аналог. Ссылка на комментарий
Рекомендуемые сообщения
Для публикации сообщений создайте учётную запись или авторизуйтесь
Вы должны быть пользователем, чтобы оставить комментарий
Создать аккаунт
Зарегистрируйте новый аккаунт в нашем сообществе. Это очень просто!
Регистрация нового пользователяВойти
Уже есть аккаунт? Войти в систему.
Войти