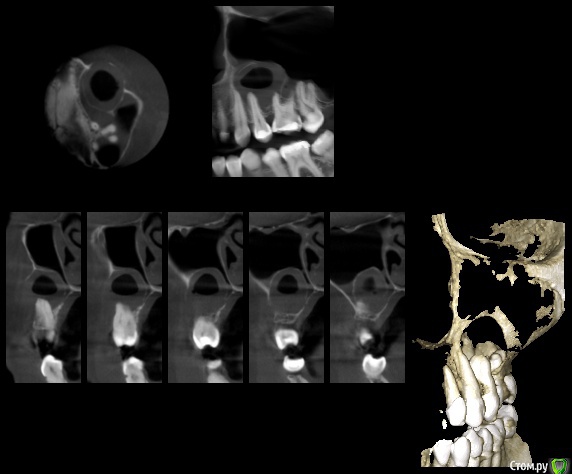
gum Опубликовано 6 ноября, 2016 Поделиться Опубликовано 6 ноября, 2016 Здравствуйте. Пациента еще не видел, клиники не знаю. Судя по КТ, четкие контуры, сохранение костного ободка и отсутствию 25 зуба, думаю что это резидуальная киста.Так ли это? Ссылка на комментарий
gum Опубликовано 7 ноября, 2016 Автор Поделиться Опубликовано 7 ноября, 2016 Коллеги есть варианты ответов или просто убрать да на гистологию Ссылка на комментарий
TIGER Опубликовано 7 ноября, 2016 Поделиться Опубликовано 7 ноября, 2016 радикулярная?предположу Ссылка на комментарий
___49___ Опубликовано 7 ноября, 2016 Поделиться Опубликовано 7 ноября, 2016 (изменено) Кортикальная пластинка над 6 и 4 ыми зубами лизирована ? Биопсию не хотите предварительно взять ? Изменено 7 ноября, 2016 пользователем ___49___ Ссылка на комментарий
gum Опубликовано 8 ноября, 2016 Автор Поделиться Опубликовано 8 ноября, 2016 Кортикальной пластинки нет с вестибулярной стороны. Лечащий врач пациента сказал, что было обострение раскрыт 24 и получено гнойное отделяемое. 10.11 увижу пациентку, думаю без биопсии решить вопрос. Ссылка на комментарий
___49___ Опубликовано 8 ноября, 2016 Поделиться Опубликовано 8 ноября, 2016 Отпишитесь пожалуйста после оперативного вмешательства . Будите замещать дефект стенки верхнечелюстной пазухи ? если да то чем планируете это произвести ? и как - одномоментно или в два этапа ? Да похоже на разрастание оставшейся кисты от ранее удаленного 5 ого зуба . Интересна так же клиника и анамнез . Ссылка на комментарий
gum Опубликовано 9 ноября, 2016 Автор Поделиться Опубликовано 9 ноября, 2016 Думаю в 2 этапа, завтра с пациента увижу и решим что дальше. Ссылка на комментарий
Рекомендуемые сообщения
Для публикации сообщений создайте учётную запись или авторизуйтесь
Вы должны быть пользователем, чтобы оставить комментарий
Создать аккаунт
Зарегистрируйте новый аккаунт в нашем сообществе. Это очень просто!
Регистрация нового пользователяВойти
Уже есть аккаунт? Войти в систему.
Войти