Evgeni76 Опубликовано 5 ноября, 2016 Поделиться Опубликовано 5 ноября, 2016 Здравствуйте подскажите варианты протезирования или имплантации верхней челюсти,в Рыбинске,Ярославле,Москве Ссылка на комментарий
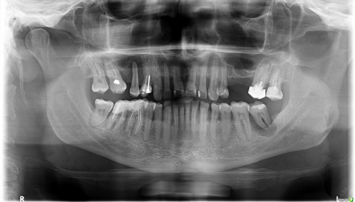
chervoncevdaniil Опубликовано 5 ноября, 2016 Поделиться Опубликовано 5 ноября, 2016 (изменено) 15,37 на удаление.27-перелечивание корневых каналов16-эндолечение14 и 16 нужно смотреть очно,можно ли их использовать под опорыВарианты протезирования:Синус-лифтинг и имплантация в области 25 и 26 либо мостовидный протез 24-27 Правая сторонаМостовидный протез 13-14-17(при условии адекватного количества твердых тканей 14 и 17 зубов),либо имплантация в проекции 15-16+синус лифтингТут панорамного снимка мало,нужно смотреть наличие места под коронки Изменено 5 ноября, 2016 пользователем chervoncevdaniil Ссылка на комментарий
M@estro Опубликовано 5 ноября, 2016 Поделиться Опубликовано 5 ноября, 2016 (изменено) 15,37 на удаление.27-перелечивание корневых каналов16-эндолечение14 и 16 нужно смотреть очно,можно ли их использовать под опорыВарианты протезирования:Синус-лифтинг и имплантация в области 25 и 26 либо мостовидный протез 24-27 Правая сторонаМостовидный протез 13-14-17(при условии адекватного количества твердых тканей 14 и 17 зубов),либо имплантация в проекции 15-16+синус лифтингТут панорамного снимка мало,нужно смотреть наличие места под коронки 17 - ый, 1.6 удален давно. Мой вариант : 1) удаление 1.5, 1.4, 2.8 ? 3.7 (!) ? 2) перелечивание 2.7, 4.7 ,4. 6, протезирование одиночными коронками.3) качественная пародонтологическая помощь и курация.4) протезирование Мостовидные протезы при такой убыли костной ткани? Если бюджет ограничен - то бюгельный протез с кламмерной фиксацией. Изменено 5 ноября, 2016 пользователем M@estro Ссылка на комментарий
chervoncevdaniil Опубликовано 5 ноября, 2016 Поделиться Опубликовано 5 ноября, 2016 17 - ый, 1.6 удален давно. Мой вариант : 1) удаление 1.5, 1.4, 2.8 ? 3.7 (!) ? 2) перелечивание 2.7, 4.7 ,4. 6, протезирование одиночными коронками.3) качественная пародонтологическая помощь и курация.4) протезирование Мостовидные протезы при такой убыли костной ткани? Если бюджет ограничен - то бюгельный протез с кламмерной фиксацией.Да,если вариант с имплантацией пациента не устроит,то бюгель кламмерный тоже очень хороший вариант 1 Ссылка на комментарий
Evgeni76 Опубликовано 7 ноября, 2016 Автор Поделиться Опубликовано 7 ноября, 2016 а базальная имплантация (за неделю ) вообще не вариант? Ссылка на комментарий
red_butler Опубликовано 7 ноября, 2016 Поделиться Опубликовано 7 ноября, 2016 а базальная имплантация (за неделю ) вообще не вариант?Отчего же, вариант. Но последствия... http://forum.stom.ru/topic/8794-boi-implantatciia-bazalnaia-implantatciia-toi-roott/ Ссылка на комментарий
chervoncevdaniil Опубликовано 7 ноября, 2016 Поделиться Опубликовано 7 ноября, 2016 а базальная имплантация (за неделю ) вообще не вариант?Лучше не стоит,как кто-то из врачей на форуме писал-"Зубы за час делаются на час" Ссылка на комментарий
Рекомендуемые сообщения
Для публикации сообщений создайте учётную запись или авторизуйтесь
Вы должны быть пользователем, чтобы оставить комментарий
Создать аккаунт
Зарегистрируйте новый аккаунт в нашем сообществе. Это очень просто!
Регистрация нового пользователяВойти
Уже есть аккаунт? Войти в систему.
Войти