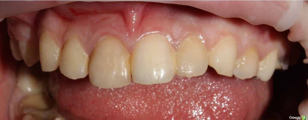
Рустам Опубликовано 4 ноября, 2016 Поделиться Опубликовано 4 ноября, 2016 Добрый вечер коллеги! Вчера обратилась пациентка (19 лет) с жалобой на подвижность коронки 1.1 зуба.Коронку убрал, скол достаточно глубоко (2-3мм ниже уровня десны), в зоне БШ. Удлинение во фронте не вариант на мой взгляд. Феррул не получить. Имплантолог ввиду возраста в имплантации отказывает.Пока сделал временный зуб на униметрике. КТ пока не делали. Записал на повторную консультацию. Как бы вы поступили в данной ситуации Ссылка на комментарий
chervoncevdaniil Опубликовано 4 ноября, 2016 Поделиться Опубликовано 4 ноября, 2016 А со скольки лет можно имплантацию? Ссылка на комментарий
krokomot Опубликовано 4 ноября, 2016 Поделиться Опубликовано 4 ноября, 2016 можно сделать экструзию или крутить имплантат, иначе резорбция грозит и зенит уйдет Ссылка на комментарий
229KAMA Опубликовано 4 ноября, 2016 Поделиться Опубликовано 4 ноября, 2016 Возможно вы не так выразились но коронки ни на одном из представленных снимков я неувидел.Теперь чтобы сделал я , учитывая гигиену по снимкам и количество зубов и качество пломб предположу как и уменя в госе я бы поработал "спасателем" как обычно за неимением финансовой возможности у больного , а может и особого желания заниматься зубами.1-подрезалбы десну по вестибулярке.2-времен.востан.коронк. часть зуба через анкерный штифт.(хорошо его зафиксир)чтобы попробовать немного вытянуть коронарно.(потреб времен.конечно и за свой счет ну хотябы частично.)3-после того как зуб перем корон.поработать с десной (может и с биологической шириной) по вестибулярке для того чтобы спрогнозировать минималный ферул. Ну тоже часть финанс нагр на мне.4-дальше если ферул получил то ВКВ и далее как обычно коронк.Да знаю нормальный врач сразу мне СКАЖЕТ что все это мартышкин труд надо ВСЕ как положенно , удалить может одномоментно винт и т.д.Но мне часто приходиться пахожие ситуации разруливать и зная как правильно НАДО , по обстоятельства разным приходиться становиться "спасателем" всегда заранее поциентам обьясняю что это не по протоколу. Только после этого пытаюсь оттянуть смертный приговор зуба. Некоторые возврашаются накопив средства чобы все сделать правильно и меня это радует , что кто то правильно понял мою информацию как надо правильно. Както так действую. 1 Ссылка на комментарий
Рустам Опубликовано 5 ноября, 2016 Автор Поделиться Опубликовано 5 ноября, 2016 А со скольки лет можно имплантацию?Имплантологи говорят после окончания роста лицевого скелета. Ссылка на комментарий
RuStom Опубликовано 5 ноября, 2016 Поделиться Опубликовано 5 ноября, 2016 Возможно вы не так выразились но коронки ни на одном из представленных снимков я неувидел. Вы не видите коронку зуба??? 1 Ссылка на комментарий
Рустам Опубликовано 6 ноября, 2016 Автор Поделиться Опубликовано 6 ноября, 2016 Коллеги, как считаете возможен такой вариант, закрыть корень зуба СИЦем, коронку 11 сделать либо на глашпане, либо мериленд приклеить на пару лет, потом в 21-22 года удаление корня с одномоментной имплантацией и немедленной нагрузкой. Ссылка на комментарий
DmitrySH Опубликовано 6 ноября, 2016 Поделиться Опубликовано 6 ноября, 2016 Коллеги, как считаете возможен такой вариант, закрыть корень зуба СИЦем, коронку 11 сделать либо на глашпане, либо мериленд приклеить на пару лет, потом в 21-22 года удаление корня с одномоментной имплантацией и немедленной нагрузкой.Не вижу смысла.Лучше поставить индивидуализированный СВШ, композитный билдап и качественная временная коронка. Далее или ортодонтическая экструзия до желаемого уровня или одномоментная имплантация через пару лет. 2 Ссылка на комментарий
voff Опубликовано 7 ноября, 2016 Поделиться Опубликовано 7 ноября, 2016 Я бы сделал временно-долговременно мк на вкв. И сказал, что рот весь в г...не, если не научитесь чистить зубы- импланта не видать. У меня таких пацев через одного. 4 Ссылка на комментарий
SanderS Опубликовано 7 ноября, 2016 Поделиться Опубликовано 7 ноября, 2016 (изменено) если денег нет -долговременно мк на вкв. И сказал, что рот весь в г...не, если не научитесь чистить зубы- импланта не видать если есть - индивидуализированный СВШ, композитный билдап и качественная временная коронка. Далее или ортодонтическая экструзия до желаемого уровня или одномоментная имплантация через пару лет. скорее всего первый вариант, бюджетный и повсеместно распространенный....в субботу дали почти такой же зуб (2.1) на консультацию, не так глубоко, но дентин мягкий,еще СВШ в к\к, сделаю вкв и МК, через временную. Изменено 7 ноября, 2016 пользователем SanderS Ссылка на комментарий
Паращук Роман Опубликовано 7 ноября, 2016 Поделиться Опубликовано 7 ноября, 2016 (изменено) У вас хороший вариант экструзии и коронки до возможности имплантироваться или пока не отвалиться.У меня был схожий случай,потяжелее правда,но увы родители не вняли и ушли (с времянкой на беззольнике) к коллегам. Там ему поставили вкв и тянут зуб. С вашего позволения покажу. Парню 16 лет,повторный удар.http://s018.radikal.ru/i524/1611/c4/7349c2ca709a.jpghttp://s019.radikal.ru/i627/1611/b9/2e30c136cfca.jpghttp://i013.radikal.ru/1611/10/01fc91a62e4c.jpghttp://s014.radikal.ru/i328/1611/85/8c2938c163a1.jpghttp://s017.radikal.ru/i442/1611/dd/fbc284b9687d.jpg Изменено 7 ноября, 2016 пользователем Паращук Роман 4 Ссылка на комментарий
dentikl Опубликовано 8 ноября, 2016 Поделиться Опубликовано 8 ноября, 2016 на беззольнике это как? Ссылка на комментарий
zubovolok Опубликовано 8 ноября, 2016 Поделиться Опубликовано 8 ноября, 2016 на беззольнике это как?наверное штифт который для изготовления вкладок используется. Коллега для изготовления временной штифтовой коронки использовал, но к следующему посещению сломался он в канале, выпиливали потом. Ссылка на комментарий
Паращук Роман Опубликовано 8 ноября, 2016 Поделиться Опубликовано 8 ноября, 2016 на беззольнике это как? наверное штифт который для изготовления вкладок используется. Коллега для изготовления временной штифтовой коронки использовал, но к следующему посещению сломался он в канале, выпиливали потом. Ссылка на комментарий
StomV Опубликовано 24 ноября, 2016 Поделиться Опубликовано 24 ноября, 2016 В данном случае я за экструзию,если вариает удаления и последующей имплантации пока не возможен. Ссылка на комментарий
Рекомендуемые сообщения
Для публикации сообщений создайте учётную запись или авторизуйтесь
Вы должны быть пользователем, чтобы оставить комментарий
Создать аккаунт
Зарегистрируйте новый аккаунт в нашем сообществе. Это очень просто!
Регистрация нового пользователяВойти
Уже есть аккаунт? Войти в систему.
Войти