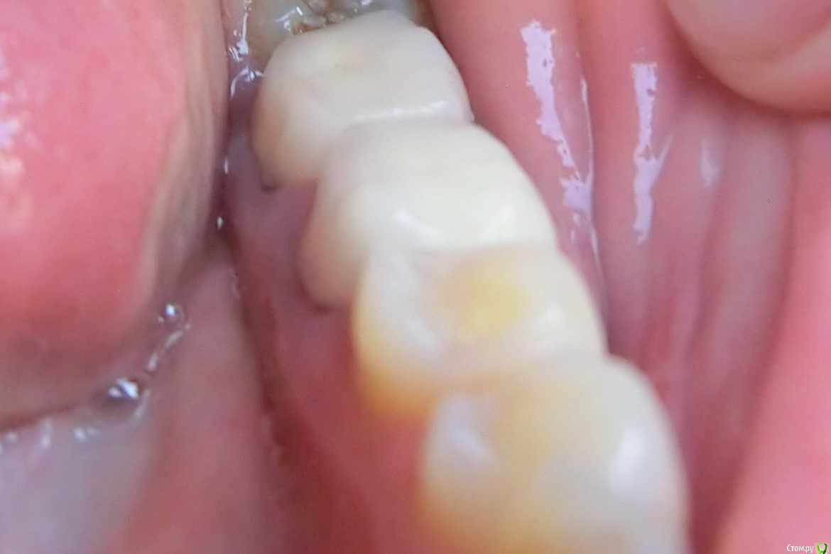
911 Опубликовано 3 ноября, 2016 Поделиться Опубликовано 3 ноября, 2016 Добрый вечер!Прошу вашего совета, уважаемые консультанты!В прошлом году были установлены металлокерамические коронки на 6 и 7 зуб. Но хочу поменять эти коронки так как не нравится вид - у коронок нет нормальных бугров. Или не стоит их менять? Зубы ведь жевательные и их не видно - есть ли смысл гоняться за эстетикой? Или лучше заменить?И почему то у обоих зубов на основании какие то "ободки" тёмные - как будто протез не до конца "сел"? 1 Ссылка на комментарий
anvladd Опубликовано 3 ноября, 2016 Поделиться Опубликовано 3 ноября, 2016 покажите фото жевательных поверхностей верхних зубов,возможно невыраженные бугры на коронках сделаны под верхние. Ссылка на комментарий
anvladd Опубликовано 3 ноября, 2016 Поделиться Опубликовано 3 ноября, 2016 ободки это либо зуб темный либо металлическая гирлянда Ссылка на комментарий
M@estro Опубликовано 3 ноября, 2016 Поделиться Опубликовано 3 ноября, 2016 передлывать. 2 1 Ссылка на комментарий
IvanK Опубликовано 9 ноября, 2016 Поделиться Опубликовано 9 ноября, 2016 Выложите панорамный снимок (ОПТГ) Ссылка на комментарий
Рекомендуемые сообщения
Для публикации сообщений создайте учётную запись или авторизуйтесь
Вы должны быть пользователем, чтобы оставить комментарий
Создать аккаунт
Зарегистрируйте новый аккаунт в нашем сообществе. Это очень просто!
Регистрация нового пользователяВойти
Уже есть аккаунт? Войти в систему.
Войти