Перейти к содержанию
Стоматология для всех

Рутинная имплантация


Рекомендуемые сообщения

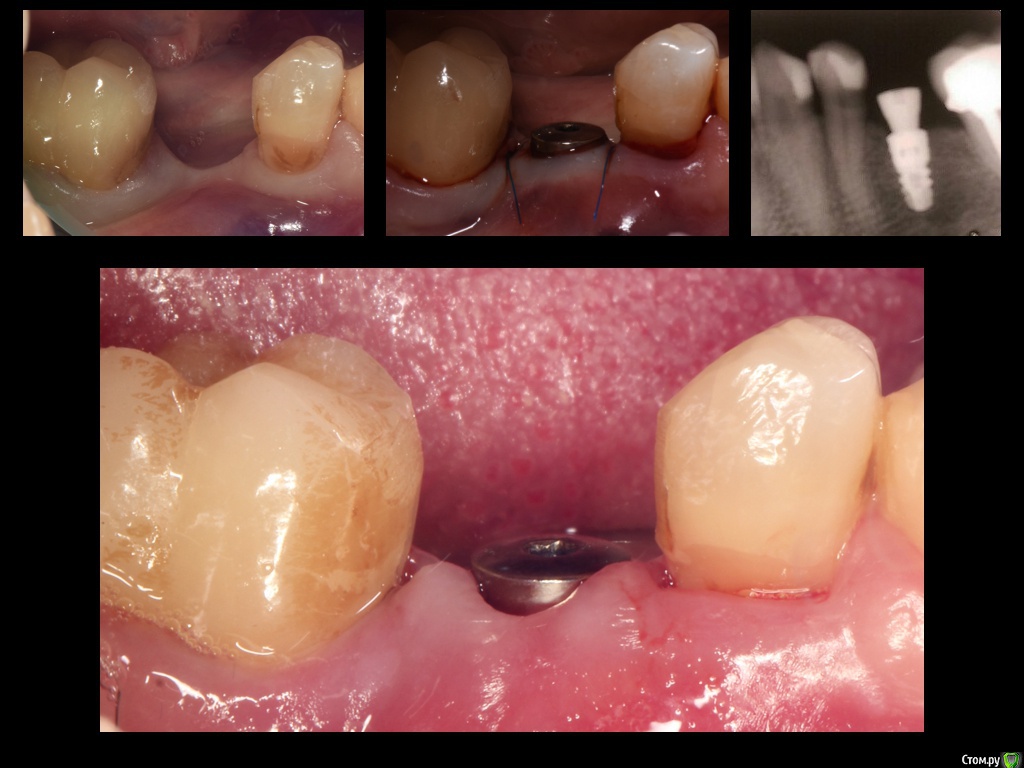
Проведена установка имплантата Impla 4,2*9,5 (отсутствует 35) в зоне выраженной атрофии мягких тканей. Торк получился около 45 Н/см. ССТ из зоны адентии в области отсутствующего 27 (бугра почти не было) взят в форме "бумеранга" для закрытия рецессии на 34.

Фото после снятия швов через 1 неделю 

post-43860-0-70386300-1477776258_thumb.png post-43860-0-80193500-1477776289_thumb.jpeg

Изменено пользователем aka_sol
  • Поддерживаю 9
Ссылка на комментарий

Для публикации сообщений создайте учётную запись или авторизуйтесь

Вы должны быть пользователем, чтобы оставить комментарий

Создать аккаунт

Зарегистрируйте новый аккаунт в нашем сообществе. Это очень просто!

Регистрация нового пользователя

Войти

Уже есть аккаунт? Войти в систему.

Войти
×
×
  • Создать...
Вверх