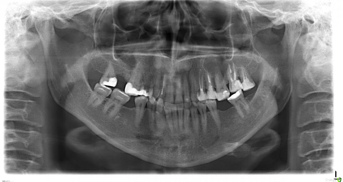
c2406 Опубликовано 29 октября, 2016 Поделиться Опубликовано 29 октября, 2016 Здравствуйте. Прошу помочь понять и оценить масштабы необходимого лечения. Месяц назад занялась зубами. В планах вылечить что можно и поставить импланты там, где зубы отсутствуют. На данный момент вылечено 2 зуба (пульпит). Проведена консультация с имплантологом, возможна установка 2-х имплантов (верхний с закрытым синуслифтингом). Терапевт и имплантолог между собой не связаны, я живу в небольшом городке, тут провожу только лечение.Есть ли у меня зубы, на которые стоит обратить первоочередное внимание или перелечить? Жалобы перед началом лечения у меня были только на 1 зуб - верхняя полуразвалившаяся 7-ка (2.7?), её залечили. Второй вылеченный зуб (верхняя 2-ка, 1.2?) не беспокоил, даже не подозревала что там проблемы. Со слов терапевта, осталось лечить только кариес разной степени. Но снимок в клинике не делали, тот что я прикладываю я делала для консультации с имплантологом. Очень хочется сделать всё по максимуму, пока есть такая возможность.Заранее большое спасибо откликнувшимся (изображение по ссылке увеличивается по клику). http://images.vfl.ru/ii/1477754283/9ea96e4a/14723320_s.jpg Ссылка на комментарий
shishok Опубликовано 29 октября, 2016 Поделиться Опубликовано 29 октября, 2016 28 убирать планируют? Ссылка на комментарий
c2406 Опубликовано 29 октября, 2016 Автор Поделиться Опубликовано 29 октября, 2016 28 убирать планируют?Нет, про удаление никакой из врачей не говорил. Ссылка на комментарий
DmitrySH Опубликовано 29 октября, 2016 Поделиться Опубликовано 29 октября, 2016 Нужна очная консультация ортодонта с ортопедом. Ссылка на комментарий
c2406 Опубликовано 29 октября, 2016 Автор Поделиться Опубликовано 29 октября, 2016 Нужна очная консультация ортодонта с ортопедом.Это по поводу сместившихся (вокруг удалённого) зубов нижней челюсти? Удаление было 20 лет назад если что. Ссылка на комментарий
DmitrySH Опубликовано 29 октября, 2016 Поделиться Опубликовано 29 октября, 2016 18, 47 сдвинулись к центру16,26 вниз + снижение высоты из-за обширных пломб. Ссылка на комментарий
c2406 Опубликовано 6 апреля, 2017 Автор Поделиться Опубликовано 6 апреля, 2017 Большое спасибо ответившим. Уже удалены 8-ки, ортопед посещён, сейчас в процессе ортодонтическое лечение (только нижние). Ссылка на комментарий
Рекомендуемые сообщения
Для публикации сообщений создайте учётную запись или авторизуйтесь
Вы должны быть пользователем, чтобы оставить комментарий
Создать аккаунт
Зарегистрируйте новый аккаунт в нашем сообществе. Это очень просто!
Регистрация нового пользователяВойти
Уже есть аккаунт? Войти в систему.
Войти